Introducción
El cáncer vesical representa el motivo más común de neoplasia del tracto urinario en adultos, siendo la cuarta causa más frecuente de cáncer en el hombre y la novena en mujeres1. Sin embargo su incidencia en la infancia es muy baja2.
El estudio de los casos revisados nos habla de una localización prácticamente constante cercana a los orificios ureterales. Parece ser debido a la presencia de una inflamación crónica a ese nivel, por diversos factores entre los que se postula infecciones urinarias recurrentes, tóxicos como la ciclofosfamida o incluso el paso de cálculos renales3.
No ha sido por el momento estudiada una posible predisposición genética ni la asociación familiar.
El espectro del cáncer vesical incluye formas superficiales, invasivas y metastásicas, cada una de ellas con su propio comportamiento clínico, pronóstico y tratamiento. La estadificación de la enfermedad será un punto diagnóstico muy importante, pues determina la elección de la terapia adecuada. Actualmente se distingue entre neoplasias de alto y bajo grado4,5, atendiendo a conceptos de gradación histológica (según la similitud con la arquitectura histológica normal del urotelio) y el grado de invasión. Esto reemplaza al sistema previo de clasificación en el que las lesiones eran designadas como de bajo (G1), medio (G2) y alto (G3) grado.
El estadio determinado supone la variable más importante para determinar el pronóstico de la enfermedad (progresión, supervivencia). En nuestro caso hemos utilizado la sexta edición de TNM revisada de la AJCC (tabla 1)6.
Es la invasión del músculo detrusor, que determina el paso de T1 a T2, el que tiene mayores consecuencias desde el punto de vista pronóstico, con un aumento importante del riego de invasión nodal y de metástasis a distancia. Igualmente, la existencia de ganglios afectados o de metástasis a distancia determinará resultados más pobres y una disminución importante de la esperanza de vida7,8.
Las formas más frecuentes en adultos son aquellas en estadio Ta. También lo son en niños, y aunque los datos son escasos se describe en una última revisión de la literatura especializada de los últimos 25 años una serie de 13 casos.
La presentación clínica más común es la hematuria, que es típicamente macroscópica, intermitente y asintomática, pero que puede presentar también otras formas. Ocasionalmente los pacientes pueden presentar disuria, urgencia miccional y poliaquiuria, conjunto de síntomas altamente sugestivo de afectación por Tis.
Presentamos el caso de una niña de 12 años de edad, revisada y tratada en nuestro servicio, con diagnóstico final de neoplasia urotelial papilar vesical.
Observación clínica
Una niña de 12 años de edad es remitida a la consulta de cirugía pediátrica por hematuria macroscópica recurrente sin filiación clara de aproximadamente un año de evolución. Durante este tiempo refiere episodios de macrohematuria confirmados por sedimento urinario que coinciden en ocasiones con bacteriuria y síntomas miccionales, por lo que son diagnosticados como infección urinaria y tratados con antibioterapia. Se alterna con períodos de orinas claras y otros episodios de macrohematuria aislada, autolimitada y sin relación con la menstruación. La paciente no presenta ningún antecedente familiar ni personal de interés, salvo neoplasia linfoide en el padre. La exploración física y analíticas realizadas en este período evolutivo no presentan alteraciones.
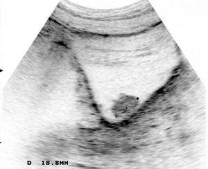
A su llegada a nuestro servicio se realiza analítica general y de marcadores tumorales, sin hallazgos patológicos. Se considera necesaria una ecografía renal y vesical (fig. 1) que muestra una lesión ocupante de espacio, exofítica, en la pared vesical derecha, de unos 4 cm de diámetro. La TC pélvica (fig. 2) confirma una masa parietal intravesical, aunque sin evidencia de afectación ganglionar perivesical ni retroperitoneal.
Figura 1. Ecografía vesical: lesión ocupante de espacio, exofítica, en la pared vesical derecha, de unos 4 cm de diámetro.
Figura 2.TC pélvica: masa parietal intravesical, sin evidencia de afectación ganglionar perivesical ni retroperitoneal.
En la cistoscopia realizada bajo anestesia general se observa una masa vegetante de base pediculada, en la pared retrotrigonal y laterotrigonal derecha del cuerpo vesical, bien vascularizada. No infiltra el orificio ureteral ipsolateral, aunque se encuentra en sus proximidades. No presenta signos de hematoma o sangrado local reciente.
En el mismo procedimiento anestésico cistoscópico se realizó, a través de incisión suprapúbica, exéresis abierta de la lesión, resecándose en su totalidad. Se revisaron ganglios perivesicales y pélvicos, sin evidencia de infiltración neoplásica o inflamatoria.
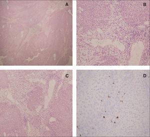
En el estudio anatomopatológico (fig. 3) la pieza quirúrgica es informada de neoplasia urotelial papilar de bajo grado de malignidad (T1 N0 M0), con bordes libres de resección.
Figura 3.Imágenes AP:A)Disposición papilar de la lesión, constituida por varias hileras desordenadas de células uroteliales en torno a un eje fibroconectivo vascularizado (hematoxilina-eosina, x4).B)Se observan pequeños nidos sólidos de células transicionales invadiendo la lámina propia (hematoxilina-eosina, x20).C)Nido sólido de células neoplásicas aislado en la lámina propia, con núcleos discretamente anisocarióticos, con escaso hipercromatismo y disposición irregular de las células. Infiltrado inflamatorio linfocitario acompañante (hematoxilina-eosina, x20).D)La actividad proliferativa de la lesión medida con Ki-67 fue menor al 5 %. No hay expresión de proteínas Her2/neu y p53 (Ki-67, x40).
Se realiza estudio inmunofenotípico, siendo negativa la expresión de las proteínas p53 y C-erb-2 en las células neoplásicas.
El índice de proliferación celular era menor del 5 %, medido con Ki 67 (MIB1).
La evolución postoperatoria al año es favorable, sin evidencia de recurrencia de la lesión, con ecografía renal y vesical que no encuentra anomalías, y citología urinaria negativa en sucesivas ocasiones.
Discusión
El papiloma de células de transición es considerado, según lo referido, como una tumoración de bajo grado de malignidad, órgano confinado y sin tendencia a la invasión de estructuras adyacentes.
Existen ciertas diferencias en la nomenclatura, que muestran la confusión histórica que existe respecto a la auténtica naturaleza de la lesión. Algunos autores aun sostienen la existencia de una entidad, el papiloma de células transicionales, diferenciandolo del resto de tumores uroteliales para destacar su benignidad9,10. Actualmente la tendencia habitual es considerarlo un estadio temprano en la clasificación de las neoplasias uroteliales, de bajo grado, pero con potencial para la recurrencia y/o malignización. Esta diferencia de concepto es particularmente importante por sus implicaciones en la actitud terapéutica y seguimiento.
El diagnóstico del cáncer vesical está muy a menudo retrasado por la similitud de los síntomas presentado en otras patologías de carácter benigno (infección del tracto urinario, cistitis intersticial, cálculo renal). Lo dificulta además su carácter generalmente intermitente, con períodos más o menos largos sin síntomas ni signos, que desacelera la investigación clínica. Y así como en un adulto la hematuria hace pensar en cáncer urotelial en un primer momento, en niños esta posibilidad queda claramente en un plano posterior. La ecografía se perfila como la herramienta más útil para ser usada como cribado en niños11.
La escisión total de la lesión es considerada curativa en niños. Sin embargo se describe una alta tasa de recurrencia en la literatura médica, siendo la más temprana a los 3 meses tras la extirpación. La causa es desconocida, y son barajadas teorías acerca de la falta de exéresis completa, y de la presencia de focos ocultos que aparecerían con el tiempo. Por tanto, aunque los tumores son histológicamente benignos, los casos presentados han de ser cuidadosamente seguidos por la posibilidad de recidivas, en ocasiones de un tipo tumoral más agresivo que el original. Nosotros recomendamos la realización de ecografía y cistoscopia anual (siendo este último el método más preciso), con realización de citología urinaria al menos bimensual.
En conclusión, el diagnóstico y tratamiento precoz en las neoplasias vesicales determinará el pronóstico del enfermo, por lo que la rareza de la etiología tumoral en la infancia no debe ser impedimento para sospecharla en una hematuria macroscópica sin filiación clara.
 Correspondencia: Dra. C. Paredes Mercado.
 Departamento de Pediatría. Hospital Clínico Universitario San Carlos.
 Calcografía, 5, Bajo 2. 28007 Madrid. España.
 Correo electrónico:  Ceciliaannpm@yahoo.es
Recibido en septiembre de 2006.
 Aceptado para su publicación en diciembre de 2006.
 
										
				









