Sr. Editor:
La rifampicina es uno de los fármacos de elección en el tratamiento de la tuberculosis en gestantes, aunque ha sido asociada a hemorragia en la madre y en el recién nacido 1-3. La enfermedad hemorrágica del recién nacido o hemorragia dependiente de vitamina K se clasifica en 3 formas: precoz, clásica y tardía. La forma precoz se presenta en las primeras 24 h y está relacionada con el consumo materno de medicamentos que interfieren con el almacenamiento o la función de la vitamina K 1.
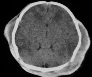
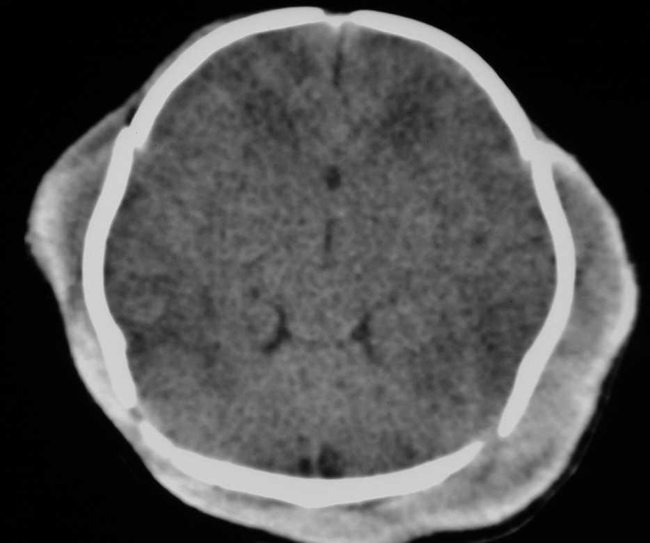
Presentamos un caso de shock hipovolémico hemorrágico en un neonato hijo de madre afectada de tuberculosis, en tratamiento durante la gestación con rifampicina, isoniazida y etambutol. Recién nacido de sexo femenino, fruto de una segunda gestación, cuya madre fue diagnosticada de una pleuritis tuberculosa a las 13 semanas de gestación. Recibió tratamiento con isoniazida, rifampicina y etambutol (I + R + E) durante los primeros 2 meses, manteniendo doble terapia con I + R durante el resto del embarazo, con evolución clínica y radiológica favorable. Los controles ecográficos prenatales fueron normales y las serologías a lúes, HBsAg y VIH negativas, toxoplasma y rubéola inmunes. Parto eutócico, no instrumentado, a las 40 2 semanas. El test de Apgar (al minuto y a los 5 min) fue de 7/9. Se administró profilaxis con vitamina K intramuscular. En la exploración física inicial, en sala de partos, destacaba un distrés respiratorio leve y un caput succedaneum de pequeño tamaño, por lo que ingresó en observación. Presentó deterioro clínico progresivo con taquipnea, taquicardia, quejido e inestabilidad hemodinámica, observando un aumento del tamaño del caput (fig. 1), con acidosis metabólica y anemia. Las pruebas de coagulación demostraron alargamiento del tiempo de Quick y TTPA (tabla 1). Para su estabilización clínica precisó tratamiento con expansores de volumen, bicarbonato, transfusión de hemoderivados (precisando un total de plasma 40 ml/kg y concentrado de hematíes 60 ml/kg), vitamina K y soporte inotrópico con dopamina. La ecografía y TC cerebrales evidenciaron un gran hematoma subgaleal, sin presencia de fracturas ni sangrado intracerebral. El estudio de hemostasia inicial mostró un déficit grave de los factores del complejo protrombínico y vitamina K dependientes (tabla 1). El EEG fue normal y la ecografía abdominal descartó sangrado intraabdominal. El Mantoux fue negativo. La evolución de la paciente fue favorable con normalización de las pruebas de coagulación siendo dada de alta a los 14 días.
Figura 1. TC craneal: se observa importante aumento de tejidos blandos extracraneales compatible con hematoma subgaleal, sin signos de fractura ni sangrado intracerebral.
La gravedad y precocidad de la hemorragia que presentó este neonato y la reversión de las anomalías de la coagulación con el tratamiento con vitamina K y plasma, sugirieron la posibilidad de un déficit de vitamina K precoz asociado al tratamiento tuberculostático recibido por la madre durante el embarazo.
En 1976 se publicaron 3 casos de recién nacidos expuestos a rifampicina e isoniazida durante la gestación que presentaron alteraciones de la hemostasia 2. Posteriormente se han publicado otros casos de hemorragia en pacientes tratados con rifampicina que a su vez estaban afectados de patologías que favorecen el déficit de vitamina K 3-5. También hay estudios en animales en los que se ha descrito una hipoprotrombinemia con la exposición a rifampicina, relacionada con la dosis y el tiempo de administración, y que revertía con la administración de vitamina K 5,6. La ficha técnica de la rifampicina y distintos textos consultados reflejan este posible efecto indeseado 7,8. Se han propuesto posibles mecanismos como son la inducción de enzimas microsomales hepáticas, que podría favorecer la degradación oxidativa de la vitamina K o la inhibición de la enzima epóxido vitamina K reductasa 5.
Para reducir el riesgo de sangrado, hay autores que proponen la administración de vitamina K al final de la gestación en mujeres tratadas con tuberculostáticos 7,8, lo que contrasta con el hecho de no haber advertencias al respecto en las guías clínicas para el tratamiento de la tuberculosis 9,10. El paso transplacentario de vitamina K es muy escaso por lo que es dudosa su eficacia. Las indicaciones para las que está aprobada actualmente la vitamina K son la hipoprotrombinemia grave y la profilaxis y tratamiento de la enfermedad hemorrágica del recién nacido.
Hemos considerado de interés este caso debido a su gravedad, con potencial riesgo vital para el recién nacido, en una época en la que estamos observando un incremento en el número de gestantes afectadas de tuberculosis en nuestro medio. Como conclusión, creemos aconsejable la evaluación del estado de coagulación de los recién nacidos hijos de madres tratadas con rifampicina, a la vez que su vigilancia clínica inicial para la detección precoz de posibles signos de hemorragia, que como en este caso pueden ser de riesgo vital.
Correspondencia: Dra. C. Ribes Bautista.
Pl. Josep Pallach, 5. 3.º-1. 08035 Barcelona. España.
Correo electrónico: ribesca@yahoo.es




