Caso 1: paciente de sexo femenino de 15 años de edad, que acude a su centro de salud por irregularidades menstruales. Sin antecedentes personales ni familiares de interés, ni toma de fármacos. Menarquia a los 11 años y medio.
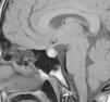
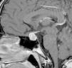
La paciente es remitida a endocrinología pediátrica tras el hallazgo de una cifra elevada de prolactina (198ng/ml, rango de normalidad: 8,5-26,5ng/ml). A la entrevista dirigida, la paciente refiere un año de visión borrosa intermitente y cefalea frontal de 3 meses de duración, acompañado de galactorrea unilateral de escasa cuantía. A la exploración física: talla 169,5cm (DE:+1,1), peso 53,3kg, IMC 19,29kg/m2 (DE:−0,79). Estadio puberal V de Tanner y fenotipo armónico. Ausencia de galactorrea, hirsutismo o acné. El hemograma y la bioquímica general fueron normales, destacando la determinación de prolactina (205,6ng/ml). La resonancia magnética (RM) (fig. 1) evidenció una glándula hipofisaria aumentada de tamaño, con borde superior convexo hacia línea media y aumento de señal sugestivo de cambios hemorrágicos subagudos. La glándula hipofisaria, impronta y oblitera la cisterna supraselar con efecto masa sobre el quiasma óptico. En el estudio oftalmológico se constató una hipermetropía leve, con normalidad en la campimetría y en el fondo de ojo. Con los datos obtenidos se estableció el diagnóstico de prolactinoma con apoplejía subclínica, iniciando tratamiento con cabergolina a dosis de 0,25mg la primera semana y 0,50mg/semana de mantenimiento. Al mes de iniciar el tratamiento, se aprecia en la RM de control (fig. 2), el adenoma con unas medidas de 10×8mm, probablemente sobreestimadas por los signos de sangrado, con una cifra de prolactina de 12,6ng/ml. En la actualidad la paciente presenta ciclos menstruales regulares, visión normal sin cefalea y ausencia de galactorrea.
Caso 2: paciente de sexo masculino de 14 años de edad, en seguimiento por obesidad y talla alta con edad ósea avanzada. En el contexto del estudio de cefaleas, se realiza RM evidenciándose nódulo de 10×10mm en región izquierda de hipófisis, con remodelación del ángulo de la silla turca sin extensión a seno cavernoso, compatible con adenoma (límite entre micro/macroadenoma). Clínicamente no presentaba alteraciones visuales, ni galactorrea. A la exploración clínica: talla 173,6cm (DE:+1,16), peso 85,6kg, IMC 28,4kg/m2 (DE:+3,3). Obesidad de predominio abdominal, adipomastia. Analíticamente solo destacaba una hiperprolactinemia de 118ng/ml. Se inició tratamiento con agonistas dopaminérgicos 0,50mg/semana en 2 dosis, con buena respuesta (prolactina 11,5mg/ml).
La hiperprolactinemia como expresión de un adenoma hipofisario es un trastorno poco frecuente en la población pediátrica. Los prolactinomas presentan una prevalencia de 100/millón de habitantes, representando menos del 2% de la totalidad de los tumores intracraneales1. Las manifestaciones clínicas son muy heterogéneas y varían según sexo, tamaño tumoral y edad de comienzo2,3. Se presentan 2 casos de prolactinoma en ambos sexos, con una edad de presentación similar y clínica prácticamente opuesta. En el caso 1, la paciente presenta cefalea y alteraciones visuales con una imagen compatible de adenoma hemorrágico. La apoplejía hipofisaria subclínica en la edad pediátrica y adolescencia es una entidad muy poco referida encontrándose únicamente descritos en la literatura casos aislados4. Los pacientes se pueden mantener asintomáticos o con una clínica muy larvada en comparación con la apoplejía hipofisaria. No existe correlación entre los niveles de prolactina y la duración o severidad de los síntomas. Tampoco se ha evidenciado relación entre el tamaño tumoral y la existencia de procesos hemorrágicos4. En niños es más frecuente la aparición de apoplejía hipofisaria subclínica por la menor susceptibilidad tumoral al infarto y mayor resistencia a la hemorragia que en los adultos, unido a un probable infradiagnóstico5.
Con respecto al tratamiento, en el caso de la apoplejía subclínica especialmente en los adenomas secretores de prolactina, se puede optar por una opción conservadora. La terapia con agonistas dopaminérgicos es capaz de controlar la concentración de prolactina pudiendo reducir significativamente el tamaño tumoral4,5.
En el caso de una hiperprolactinemia secundaria a prolactinoma, el tratamiento médico se encuentra recomendado como primera línea de actuación, tanto en microadenomas como en macroadenomas con independencia de la edad6. El objetivo primario de la terapia con agonistas dopaminérgicos es mejorar la función gonadal y neurológica. El seguimiento incluye una estrecha revisión clínica y bioquímica del paciente, con la posibilidad de suspender el tratamiento tras 2 años del inicio, en ausencia de elevación de los niveles de prolactina y sin remanente tumoral objetivable en RM2,6. En tal caso, se debe repetir la determinación de prolactina cada 3 meses durante el primer año y de forma anual, posteriormente. La RM se debe realizar si se produce elevación de la prolactina por encima de los rangos de normalidad6.




