Introducción
El mutismo cerebeloso es una complicación que puede presentarse tras la cirugía de tumores de fosa posterior y que raramente se informa a los padres, antes de la intervención, de su posible aparición. Fue descrito por primera vez en 1985 por Rekate et al, y Yonemasu, después de cirugías de fosa posterior. Su incidencia está aumentando, debido en parte a la mejoría en su diagnóstico y por la utilización de técnicas neuroquirúrgicas de resección más agresivas. Sus síntomas más frecuentes son una disminución o abolición del habla, irritabilidad, hipotonía, ataxia e incapacidad de coordinación de movimientos. Sin embargo, y aunque el mutismo normalmente mejora, en algunos casos se pueden observar alteraciones cognitivas intensas, que precisan un rápido diagnóstico para una intervención neuropsicológica precoz 1-6. Presentamos el caso clínico de un niño de 5 años intervenido de un ependimoma vermiano que presentó un mutismo cerebeloso como complicación posterior a la resección quirúrgica total del tumor y discutimos los aspectos fisiopatológicos de dicho síndrome recogidos en la literatura médica.
Observación clínica
Varón de 5 años, sin antecedentes personales de interés, que ingresó desde el servicio de urgencias por un cuadro de un mes de evolución consistente en deterioro del estado general, apatía y anorexia con pérdida de 7 kg de peso. En las últimas 2 semanas se añadió cefalea holocraneal de predominio vespertino, resistente al tratamiento analgésico pautado (paracetamol e ibuprofeno), y vómitos proyectivos.
En la exploración física destacaba ligera ataxia troncular sin dismetría ni disdiadococinesia, con Romberg negativo. No existían alteraciones del lenguaje ni del habla, ni tampoco déficit de pares craneales ni de vías sensitivomotoras largas.
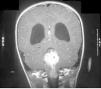
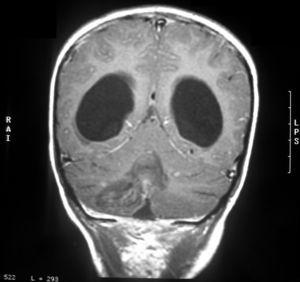
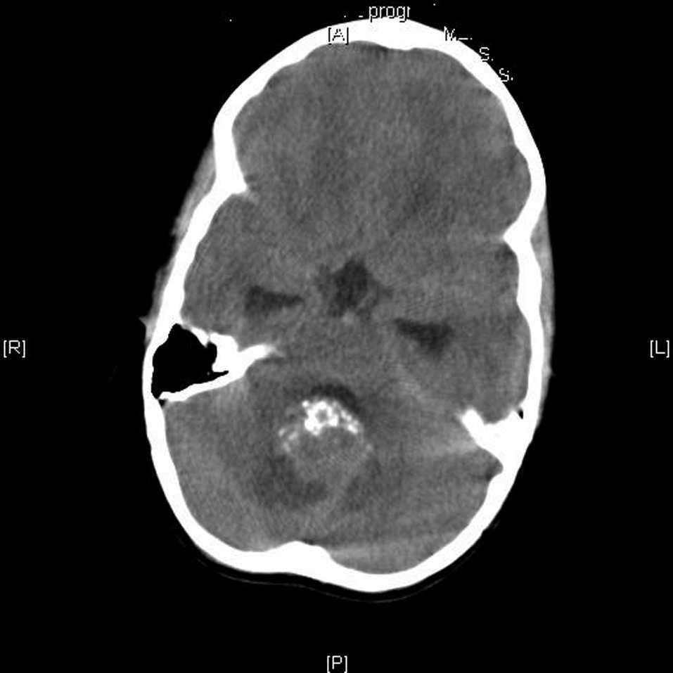
La tomografía computarizada (TC) cerebral con contraste mostraba una tumoración en el techo del cuarto ventrículo con calcificaciones, edema perilesional e hidrocefalia triventricular (fig. 1). Las resonancias magnéticas (RM) cerebral y de neuroeje con gadolinio confirma la presencia de la tumoración con una alta sospecha de ependimoma (fig. 2).
Figura 1.TC craneal con contraste al diagnóstico. Tumoración en el techo del cuarto ventrículo con calcificaciones, edema perilesional e hidrocefalia triventricular.
Figura 2.RM craneal coronal con gadolinio al diagnóstico. Tumoración de 3 cm de diámetro mayor, localizada en el cuarto ventrículo que desciende a través del agujero de Majendi, y que provoca una hidrocefalia obstructiva activa. Sospecha de ependimoma.
Se intervino 3 días después del ingreso, colocándose un drenaje ventricular externo (DVE) por trépano frontal derecho y craniectomía suboccipital medial con exéresis tumoral completa macroscópicamente. No se abrió el vermis. Durante la operación se observaron cambios hemodinámicos (hipertensión arterial y bradicardia) presumiblemente por manipulación de adherencias próximas al suelo del cuarto ventrículo. El diagnóstico anatomopatológico fue de ependimoma de bajo grado (grado II de la Organización Mundial de la Salud [OMS]).
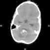
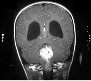
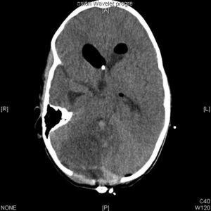
En el postoperatorio inmediato, al iniciar la retirada del soporte ventilatorio, se objetiva una importante agitación psicomotriz que obligan a mantener la sedación. A las 24 h se realiza RM que presentaba un pequeño hematoma (1,5 cm) en la pared del cuarto ventrículo sin evidencia de restos tumorales. Se extubó a las 48 h de la intervención, siendo capaz de obedecer órdenes simples, con lenguaje y habla normal. En los días sucesivos presentó un deterioro neurológico con agitación e irritabilidad, respondiendo al dolor bilateralmente, pero sin apertura ocular ni respuesta verbal. En ese momento la TC mostraba cambios posquirúrgicos en la fosa posterior, colapso parcial del cuarto ventrículo con pequeños restos de sangre y moderada dilatación del resto de los ventrículos (fig. 3), por lo que se instauró tratamiento antiedema y se comprobó la permeabilidad del DVE para controlar la hidrocefalia. Durante la siguiente semana persistió la hidrocefalia ante los intentos de cierre del drenaje y se observó una pleocitosis junto a una moderada hiperproteinorraquia en controles seriados de líquido cefalorraquídeo (LCR), por lo que recibió antibioterapia empírica con cefotaxima y vancomicina. Los cultivos fueron repetidamente negativos y el LCR se normalizó con el paso de los días. Su situación neurológica no se modificó sustancialmente, permaneciendo consciente, pero sin conexión aparente con el medio, muy irritable, anártrico, sin apertura espontánea de los ojos con desviación conjugada de los mismos hacia la derecha y con episodios de nistagmo rotatorio, paresia del VI par derecho, extremidades en flexión y movimientos estereotipados oromandibulares. No era posible la alimentación oral por alteración de la masticación y de la deglución, por lo que se instauró nutrición enteral por sonda nasogástrica tolerada de forma satisfactoria. Al mes de la intervención, una nueva RM cerebral mostró la persistencia de la hidrocefalia y un infarto cerebeloso derecho (fig. 4). Se colocó entonces una válvula de derivación ventriculoperitoneal (VDVP). Una semana después de su colocación, comenzó a abrir los ojos espontáneamente y a obedecer órdenes, aunque persistiendo el mutismo, consiguiendo mantener la sedestación; pero con lateralización troncular y cefálica derechas. En ese momento inició progresivamente alimentación oral de forma favorable. Posteriormente comenzó a emitir palabras sueltas y aunque lograba construir frases cortas, se evidenciaba una alteración del lenguaje consistente en pérdida de iniciativa, lenguaje pobre, lento y monótono, con deficiente organización, y con repetición y nominación conservadas. Se inicia tratamiento rehabilitador con una evolución satisfactoria. Recibió el alta hospitalaria 2 meses tras la resección tumoral, con una menor alteración del lenguaje, disartria y marcha asistida con inestabilidad, habiendo desaparecido la paresia del VI par. El paciente continuó con el tratamiento rehabilitador y neuropsicológico de forma ambulatoria. Tres meses después del alta, se encuentra asintomático desde el punto de vista de las funciones motoras, con gran mejoría del habla, y sin evidencia de recaída tumoral.
Figura 3.TC craneal coincidiendo con el principio del deterioro neurológico. Edema en el lecho quirúrgico con pequeños restos de sangre y ligera dilatación ventricular. Sospecha de infarto cerebeloso derecho.
Figura 4.RM craneal coronal con gadolinio al mes de la resección tumoral. Dilatación ventricular activa y presencia de un infarto cerebeloso derecho.
Discusión
El mutismo cerebeloso es una complicación de la cirugía de fosa posterior con una incidencia de hasta el 11 % 1. Aunque se han descrito casos en adultos, existe una incidencia mayor en la edad pediátrica, posiblemente por su mayor prevalencia de tumores en fosa posterior y una menor madurez del sistema nervioso 2,3. Este síndrome ha sido recogido ampliamente en la literatura especializada, englobando una sintomatología variada y de diferente gravedad. En los casos leves, se ha descrito como una forma de mutismo acinético, con incapacidad para moverse o hablar en un paciente despierto 4,5. En casos más graves, se observan cuadros similares al síndrome de fosa posterior, con ausencia del habla, ataxia, disminución de los movimientos voluntarios, pobre o nula ingesta oral, ausencia de apertura ocular espontánea, alteraciones del lenguaje similares a la afasia frontal y alteraciones del comportamiento, que van desde irritabilidad a verdaderas respuestas autistas, acompañadas de labilidad emocional 6-8. La aparición del mutismo puede observarse ya en la primera exploración posquirúrgica o retrasarse varios días, siendo hasta entonces la exploración neurológica del niño normal. Ante la presencia de un deterioro neurológico, en un niño operado de la fosa posterior, también deberán descartarse otras complicaciones tales como infecciones, sangrado posquirúrgico e hidrocefalia. Esta última puede persistir, pese a la extirpación tumoral, hasta en un 20 % de los casos 9.
Pese a que la mayoría de la bibliografía existente describe el mutismo cerebeloso como complicación de la resección de tumores de fosa posterior de localización medial o vermiana, sobre todo meduloblastomas 2,4,5,10,11, también se han descrito casos secundarios a síndrome hemolítico-urémico y cerebelitis, sangrado por malformación arteriovenosa en tronco cerebral y traumatismo craneoencefálico 5,7,12,13.
La heterogeneidad de síntomas y su gravedad pueden explicarse por su fisiopatología. Han sido involucrados daños cerebelosos globales como el edema cerebeloso posquirúrgico 8, y también por la afectación exclusiva del núcleo dentado o de las vías dentatotalamocorticales 14, responsables de la conexión del cerebelo con estructuras pontinas, talámicas y del córtex motor suplementario 4,8,10,11,15,16. Conceptos fisiopatológicos recientes describen la importancia del cerebelo en el aprendizaje, lenguaje y habilidades sociales 3,6,7. Pero, ¿por qué hay ciertos pacientes que presentan sólo un mutismo por apraxia oromandibular, y en cambio otros exhiben irritabilidad, deterioro cognitivo, cambios de la personalidad y alteraciones del lenguaje? Diversos estudios resaltan la importancia de la lesión quirúrgica del vermis en la aparición de alteraciones del comportamiento afectivo y social, y en el desarrollo de mutismo por apraxia fonatoria (fallo de la programación y ejecución motora del habla) 6,11,17. Esta apraxia motora orofaríngea podría ser también la responsable de la dificultad que presentan estos pacientes para masticar y deglutir 8,18. En otros casos más graves, como en el nuestro, se describen daños directos o secundarios en el hemisferio cerebeloso derecho, responsables de una alteración real del lenguaje. Esto puede deberse a que los hemisferios cerebelosos tienen vías de conexión con áreas asociativas de los lóbulos frontales y parietales, produciéndose por el daño de los mismos, graves alteraciones conductuales, con desinhibición y coprolalia, además de defectos en la organización del lenguaje complejo cuando se afecta únicamente el hemisferio derecho y/o una disminución del procesamiento de órdenes no verbales con pérdida de la entonación prosódica cuando el afectado es el izquierdo 7,17. Durante los últimos años, varios autores han resaltado la importancia del fenómeno de la diasquisis (alteración de áreas conectadas a aquélla directamente lesionada, que conlleva a una pérdida transitoria de su función) y que explicaría el porqué un daño focal cerebeloso produciría una interrupción de las conexiones recíprocas entre las regiones talamocorticales y el cerebelo, afectándose funciones cognitivas superiores 4,12,15,17,19.
En la mayoría de los casos se produce una mejoría del mutismo, pudiendo ser total o parcial en función de factores como la edad, las complicaciones intercurrentes, el uso de radioterapia adyuvante y del grado de severidad del mismo 4,6,7,20. En los mutismos leves, tras un período de tiempo variable (desde unos pocos días a incluso meses) el niño recupera el habla, siendo evidente una disartria de diferente grado de severidad, que en muchos casos desaparece 6,10,11,15,16. Los casos más graves, presentan signos de disfunción cerebelosa (ataxia, dismetría) teniendo riesgo de alteraciones cognitivas con disminución de la inteligencia verbal y de funciones manuales a largo plazo 4,7,11.
Nuestro paciente presentó clínica sugestiva de mutismo cerebeloso grave. No se abrió el vermis durante la intervención, como posible factor desencadenante de mutismo descrito por otros autores; pero sí desarrolló un edema cerebeloso importante y un infarto hemisférico derecho en el contexto de una hidrocefalia activa. El tratamiento definitivo de la hidrocefalia, con la implantación de una VDVP, no mejoró el cuadro. La mejoría fue espontánea, comenzando con apertura ocular, y disminución de la irritabilidad y de la apraxia oromandibular. Sin embargo, y pese a que comenzó a hablar, se hizo patente una disartria importante y una alteración del lenguaje en forma de una disfasia motora, traduciendo la afectación de funciones cerebrales superiores, no explicables en principio por un daño cerebeloso directo.
En resumen, es importante conocer el mutismo cerebeloso como posible causa de un cuadro de sintomatología y gravedad variable, que principalmente puede aparecer como complicación de la cirugía de fosa posterior, aunque no de forma exclusiva. Debe hacerse un diagnóstico diferencial con otras causas intercurrentes más frecuentes de deterioro neurológico en un paciente recientemente intervenido de fosa posterior, como la hidrocefalia. Es importante informar a la familia, antes de la intervención, de su posible aparición y cuando se presenta, explicar su evolución y pronóstico, habitualmente transitoria y favorable, teniendo en cuenta que el cerebelo no actúa sólo como coordinador de las actividades motoras, sino que es una parte importante de los circuitos neuronales que sustentan funciones cognitivas superiores, y que su lesión puede afectar a la capacidad intelectual de los niños a largo plazo. El mutismo cerebeloso precisa un manejo multidisciplinar adecuado (pediatra, neurocirujano, rehabilitador, etc.), siendo fundamental un tratamiento neuropsicológico y rehabilitador intenso.
Correspondencia: Dr. M. García Conde.
Servicio de Neurocirugía. Hospital Universitario de Canarias.
Ctra. Ofra, s/n. La Cuesta. 38320 La Laguna. Santa Cruz de Tenerife. España.
Correo electrónico: mgconde_huc@yahoo.es
Recibido en diciembre de 2005.
Aceptado para su publicación en agosto de 2006.






