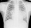
Varón de 8 años, procedente del medio rural marroquí, con accesos de tos crónica, productiva y hemoptisis ocasional de 6 meses de evolución. Afebril y sin otra sintomatología, presenta buen estado general, ausencia de dificultad respiratoria y buena ventilación pulmonar generalizada. Se desconocen tratamientos y estudios previos. En la radiografía de tórax (PA y lateral) (figs. 1 y 2) se aprecia condensación homogénea redondeada de contornos definidos, borrando silueta cardiaca en língula. Sin broncograma aéreo asociado. Perfil general y reactantes de fase aguda, normales. Leucocitos 4.400/ml3. Serologías de neumonía y Mantoux, negativos. Plantea diagnóstico diferencial con malformación pulmonar congénita (quiste broncógeno) y, considerando la procedencia del paciente, quiste hidatídico1. Se solicita TC torácica y serología a Echinococcus granulosus. Se evidencian en la ventana pulmonar (fig. 3) dos masas ovoideas bien definidas, con hipoatenuación central y sin participación pleural. La primera, de 32mm de diámetro (segmento 6 de LID), contacta con cisura mayor. La segunda era de 44mm, en la língula (segmento 4). Resto del parénquima pulmonar, sin otras masas ni nódulos. Mediastino sin adenopatías. La IgE específica a E. granulosus (8,38 KU/l), confirmada mediante hemaglutinación a hidatidosis2 (1/10.240), sugiere que las masas sean quistes hidatídicos. Ecografía abdominal sin afectación hepática. Se traslada al centro de referencia de cirugía infantil para tratamiento quirúrgico y confirmación anatomopatológica.
ComentarioLa incidencia de hidatidosis en nuestro medio ha disminuido gracias a las medidas preventivas para interrumpir la transmisión del parásito; sin embargo, la hidatidosis pulmonar debe incluirse en el diagnóstico diferencial de masa pulmonar3 en niños inmigrantes.





