Sr. Editor:
La enfermedad de Kawasaki (EK) es excepcional en período neonatal, y se han comunicado, según nuestro conocimiento, tan sólo 10 casos en la literatura médica. Suele cursar de forma atípica y con afectación cardíaca muy severa.
Presentamos un nuevo caso diagnosticado a los 19 días de vida que curso con extraordinaria gravedad.
Recién nacido varón de 3.000 g, producto único de segunda gestación de 38 semanas, bien tolerada, nacido mediante cesárea electiva por cesárea anterior, con desproporción pélvico-cefálica y sospecha de colapso pulmonar izquierdo. Test de Apgar al minuto: 7, a los 5: 3. Presentaba derrame pleural izquierdo masivo, cuyo análisis fue compatible con quilotórax. Fue resuelto en 6 días tras ventilación mecánica iniciada a los 5 min de vida y drenaje pleural. Con 6 días se efectuó una ecocardiografía, que fue normal. Se extubó a la semana de vida y se normalizó la función respiratoria completamente.
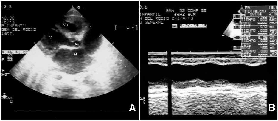
A los 10 días de vida presentó bruscamente disnea por edema pulmonar, cardiomegalia, hipotensión arterial y oliguria. En sus electrocardiogramas (ECG) se apreciaban voltajes muy atenuados de los complejos, y en la ecocardiografía, una gran dilatación de cavidades izquierdas (DdVI: 38 mm) con insuficiencia mitral moderada y gravísima afectación de la contractilidad (fig. 1). El cuadro era compatible con miocarditis aguda grave.
Figura 1. Dilatación de cavidades izquierdas (10 días de vida): A) Ecocardiografía 2D, proyección paraesternal de eje largo: enorme dilatación de la aurícula izquierda: relación AI/Ao 3.B) Ecocardiografía modo M del ventrículo izquierdo (10 días): dilatación del ventrículo izquierdo con importante afectación de su contractilidad; AF: 18,5; FE: 35,5 %.
Entre las pruebas analíticas realizadas destacaban una reacción en cadena de la polimerasa (PCR) de 14 g/dl y una creatinfosfocinasa (CPK) de 326 U/l (17-125 U/l).
Los hemocultivos seriados y la detección de enterovirus, adenovirus y herpes simple mediante la PCR fueron negativos. Asimismo, la serología TORCH (toxoplasmosis, rubéola, citomegalovirus, herpes), virus de Epstein-Barr (VEB) y parvovirus B19, anticuerpos antinucleares materno-infantiles, anticuerpos citoplásmicos antineutrófilos (ANCAS) y antiHBsAg fueron negativos. También fueron normales las concentraciones sanguíneas de lípidos, carnitina, electrólitos, aminoácidos, amoníaco y ácidos láctico y pirúvico. La función renal inicialmente fue normal, pero se vio afectada tras instaurarse el shock cardiogénico.
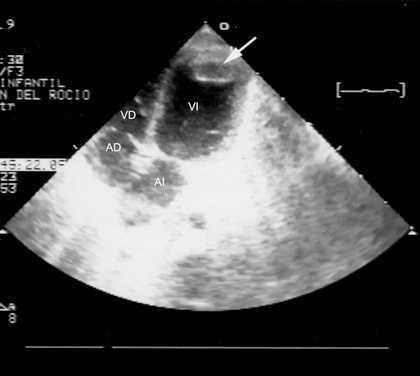
Fue tratado mediante ventilación mecánica, diuréticos e inotrópicos (dopamina, dobutamina y noradrenalina), y se añadió heparina tres días después, por aparición de un trombo apical en el ventrículo izquierdo (fig. 2), con lo que el paciente permanecía en situación crítica.
Figura 2. Trombo en el ápex del ventrículo izquierdo (13 días de vida): ecocardiografía 2D, proyección apical 4C. El trombo alojado en la región apical del ventrículo izquierdo tiene un diámetro de 1 cm.
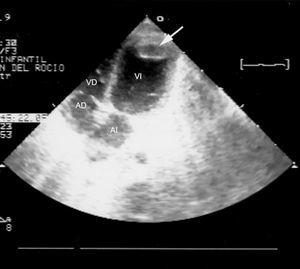
Con 19 días de vida se objetivó una ectasia coronaria izquierda cuyo calibre era de 4 mm (> 3 DS; fig. 3) instaurándose tratamiento con gammaglobulina i.v. (2 g/kg/24 h), repetida en un segundo ciclo a la semana del primero, y aspirina (40 mg/kg/día 2 semanas, pasando a 5 mg/kg/día durante 3 meses).
Figura 3. Dilatación de la arteria coronaria izquierda (19 días de vida): ecocardiografía 2D, proyección paraesternal del eje corto inmediatamente por encima de la válvula aórtica. Obsérvese que la dilatación es exclusiva del tronco común de la arteria coronaria izquierda después de su bifurcación, el calibre de la arteria descendente anterior y circunfleja es normal.
La función ventricular mejoró progresivamente desde la semana siguiente al segundo ciclo de gammaglobulinas y se objetivó su completa normalización (a pesar de sufrir una sepsis intercurrente por Pseudomona aeruginosa a los 60 días de vida), en el estudio ecocardiográfico efectuado a los tres meses. El trombo se reabsorbió completamente. Asimismo, la ectasia coronaria izquierda había desaparecido también en la referida ecocardiografía.
Pudo abandonar el hospital a los 3 meses de vida, tratado con digoxina y enalapril inicialmente. El seguimiento ha sido de 33 meses, se suspendió la medicación al año de vida y su situación clínica, función ventricular y arterias coronarias permanecen normales en la actualidad.
La EK como etiología del fallo cardíaco agudo neonatal no es un diagnóstico completamente establecido, ya que su incidencia en el primer mes de vida es muy rara: tan sólo siete casos de 105.755 enfermos censados en el registro japonés hasta 1997 y alrededor de una decena de casos hasta la fecha recogidos en la literatura médica1-3, motivo por el que hemos creído interesante la publicación de nuestro caso.
Aunque puede presentarse de forma clásica, la EK neonatal suele ser incompleta, pero con afectación cardíaca muy grave4. El diagnóstico se efectúa por necropsia o por la detección de las anomalías cardíacas típicas (ectasia coronaria, regurgitación mitral, afectación de la contractilidad, etc.)5, como ocurrió en nuestro caso, lo que permitió instaurar precozmente el tratamiento con gammaglobulina para disminuir la inflamación y el riesgo de desarrollar aneurismas coronarios6,7.
No hemos encontrado referencias bibliográficas que relacionen un quilotórax congénito con la posterior aparición de una miocarditis extremadamente grave y ectasia coronaria.
Se descartaron tanto la dilatación congénita de las arterias coronarias como otras causas de arteritis coronaria neonatal, principalmente la poliarteritis nudosa juvenil sistémica, la cual suele cursar con una afectación multiorgánica, generalmente con participación renal e hipertensión8, hechos que no ocurrieron en nuestro caso.
Creemos que, a pesar de su rareza, EK debería ser considerada como causa de miocarditis aguda neonatal, sobre todo si se observan anomalías coronarias.
La presentación en este período de la vida es incompleta, pero la afectación cardíaca suele ser muy grave, por lo que un retraso en el diagnóstico e instauración del tratamiento ocasiona una morbimortalidad muy elevada.
Correspondencia: Dr. A. Moruno Tirado.
Cardiología Pediátrica. Hospital Infantil Virgen del Rocío.
Avda. Manuel Siurot, s/n. 41013 Sevilla. España.
Correo electrónico: aamoruno@supercable.es





