Sr. Editor:
La apendicitis de muñón apendicular es una entidad poco frecuente que se caracteriza por la inflamación del remanente apendicular tras una apendicectomía incompleta. Constituye una reconocida causa de dolor en FID; aunque normalmente se trata de una complicación precoz, el cuadro puede aparecer hasta 50 años después de la apendicectomía1.
La inflamación del muñón se ha asociado a la longitud del remanente apendicular, así como a la utilización de la técnica laparoscópica1,2. La apendicectomía laparoscópica es una técnica ampliamente aceptada por múltiples motivos, como pueden ser una menor estancia hospitalaria y una rápida recuperación postoperatoria. El creciente uso de esta técnica podría haber aumentado la frecuencia de las apendicitis de muñón, no sólo por el menor campo de visión que permite dicha técnica sino también por la imposibilidad de invertir digitalmente el muñón hacia el ciego3. No obstante, y a pesar de que muchos autores la consideren como el factor etiológico más importante, aún no se ha establecido una correlación inequívoca1,4.
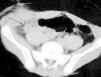
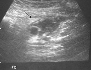
Se presenta el caso de un niño de 13 años que acude a urgencias con un cuadro de dolor en fosa ilíaca derecha y fiebre en las últimas 36 h. Como antecedente de interés destaca una intervención de apendicitis aguda mediante laparotomía hace un año. La ecografía abdominal muestra una estructura quística alargada en fosa ilíaca derecha, de aproximadamente 10 mm de diámetro, junto con una mínima cantidad de líquido libre (fig. 1). En la TC se apreciaban importantes cambios inflamatorios a nivel de fosa ilíaca derecha que se extendían hasta la pared abdominal anterior (fig. 2).
Figura 1. Ecografía de la fosa ilíaca derecha donde se observa una imagen quística tubular.
Figura 2.TC que muestra importantes cambios inflamatorios en fosa ilíaca derecha.
Ante la evolución clínica y los hallazgos radiológicos se decidió intervenir quirúrgicamente al niño confirmándose así el cuadro de apendicitis de muñón apendicular.
A pesar de que los síntomas y signos no difieren de la apendicitis aguda, el diagnóstico no suele ser tenido en consideración debido a los antecedentes de apendicectomía, y por ello, el diagnóstico definitivo suele realizarse en cuadros evolucionados, tras la perforación del muñón apendicular.
Muchas veces, los hallazgos radiológicos pueden no ser tan claros como en el caso presentado, por lo que la sospecha clínica y el incluir la apendicitis de muñón como posibilidad diagnóstica cobran gran relevancia.
Correspondencia: Dr. A. Nogués Pérez.
Servicio de Radiodiagnóstico.
Avda. Dr. Beguiristain, s/n. 20014 San Sebastián. España.
Correo electrónico: anogues@chdo.osakidetza.net




