Introducción
Los avances técnicos en el campo de la ecocardiografía permiten estudiar la anatomía cardíaca cada vez con mayor precisión. Mediante esta técnica es posible visualizar el origen de las arterias coronarias y su trayecto proximal, pero la valoración de los trayectos medios y distales de estos vasos es limitada.
La angiografía coronaria invasiva sigue siendo en la actualidad el procedimiento de elección para la evaluación de la anatomía coronaria y la identificación de las lesiones que ocasionan disminución de su calibre. El carácter invasivo del procedimiento, no exento de complicaciones, y su elevado coste limitan sus indicaciones 1.
Recientemente han surgido nuevas técnicas de imagen que permiten la visualización de la anatomía cardíaca entre las que destaca la tomografía computarizada multicorte o multidetector (TCM) 2. La TCM consiste en una serie de detectores de rayos X en un sistema de rotación axial que obtiene numerosos cortes axiales simultáneos según va avanzando la camilla. Estos cortes forman un volumen anatómico que puede ser reconstruido y analizado desde cualquier eje mediante un posprocesado en una estación de trabajo. Los avances técnicos recientes de la TCM están permitiendo la valoración de las arterias coronarias 3 en adultos. En la TCM, a diferencia de la angiografía convencional, no se visualiza el relleno progresivo de los vasos en forma dinámica, sino que ofrece una imagen estática de la distribución final del contraste en el árbol vascular.
A propósito de un paciente en el que se planteó el diagnóstico diferencial entre miopericarditis e isquemia miocárdica se presenta una angiografía coronaria mediante TCM.
Observación clínica
Paciente varón de 13 años con episodios de dolor opresivo precordial intenso sin cortejo vegetativo ni relación con el esfuerzo, no modificado por la respiración o la postura y de duración aproximada de 15 min. El electrocardiograma (ECG) mostró una alteración difusa de la repolarización y elevación del segmento ST y hubo elevación plasmática de creatinfosfocinasa (cifra máxima 3.357 U/l, valores normales 22-170 U/l) y troponina I (cifra máxima 97 ng/ml, valores normales 0-0,2 ng/ml). La ecocardiografía mostró cavidades de dimensiones normales, mínima hipocinesia inferolateral basal con fracción de eyección conservada y origen normal de ambas arterias coronarias. El paciente recibió tratamiento con ácido acetilsalicílico, antiinflamatorios no esteroideos e inmunoglobulinas. El cuadro clínico evolucionó con episodios de dolor precordial diarios, alteración progresiva del ECG con ascenso del segmento ST y alteraciones de la repolarización, así como elevación progresiva de enzimas durante 3 días. Posteriormente presentó mejoría clínica con descenso del segmento ST y disminución de las enzimas hasta la normalización, persistiendo alteraciones de la repolarización en el ECG. El cuadro se interpretó como miopericarditis pero se decidió realizar TCM para valorar las coronarias al no poder excluirse por ecografía anomalías en los trayectos distales de estas.
El equipo empleado fue una TCM de 16 cortes (light Speed 16, GE). Se administraron 80 ml de contraste yodado por vía intravenosa a 5 ml/s mediante bomba en vía periférica antecubital. Se utilizó un espesor de corte de 1,25 mm con tiempo de rotación de 500 ms. Se realizó una reconstrucción retrospectiva de las imágenes en diástole entre las fases del 40 y del 80 % del ciclo cardíaco obteniendo cinco grupos de datos. Tras seleccionar las fases con menos artefactos de movimiento se analizaron las imágenes utilizando reconstrucciones multiplanares, proyecciones de máxima intensidad y volume rendering en la estación de trabajo (Advantage 4.1 GE).
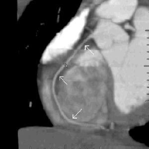
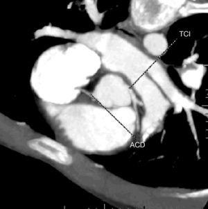
Se muestran las imágenes del árbol coronario que permiten descartar anomalías en esta localización. La figura 1 muestra una proyección axial de máxima intensidad (MIP) de la salida de las arterias coronarias. La figura 2 es una proyección coronal de máxima intensidad (MIP) de la arteria coronaria derecha similar a la proyección oblicua anterior derecha de la angiografía. Las figuras 3 y 4 son reconstrucciones en volume rendering en proyección oblicua anterior izquierda del tronco coronario izquierdo y su bifurcación y de la base del corazón, en la que se visualiza la salida del tronco coronario izquierdo. Se han retirado las venas pulmonares izquierdas. En la estación de trabajo, mediante el análisis avanzado de vasos se puede visualizar un vaso tortuoso o de trayecto curvo en un solo plano tomográfico permitiendo una cuantificación de la lesiones estenóticas. El estudio no detectó anomalía en la anatomía ni estenosis coronaria significativa en el paciente.
Figura 1. Proyección axial de máxima intensidad de la salida de las arterias coronarias. ADA: arteria coronaria derecha; TCI: tronco coronario izquierdo.
Figura 2. Proyección coronal de máxima intensidad de la arteria coronaria derecha similar a la proyección oblicua anterior derecha de la angiografía.
Figura 3. Reconstrucción en volume rendering en proyección lateral izquierda del tronco coronario izquierdo y su bifurcación. ADA: arteria coronaria derecha; TCI: tronco coronario izquierdo; ACX: arteria circunfleja.
Figura 4. Reconstrucción en volume rendering de la base del corazón visualizándose la salida del tronco coronario izquierdo. Se han retirado las venas pulmonares izquierdas.
Discusión
En la TCM se combinan a la vez el movimiento rotatorio del tubo de rayos X, el movimiento de desplazamiento de la mesa durante el barrido, así como múltiples filas de detectores. De esta forma se pueden generar hasta 32 imágenes/s mediante rotaciones completas del gantry de 0,5 s.
En los estudios cardíacos la adquisición de imágenes se hace sincronizada con el ECG de forma retrospectiva. La adquisición de datos es continua durante todo el ciclo cardíaco, pero los datos correspondientes a la fase de mínimo movimiento cardíaco se extraen retrospectivamente para disminuir los artefactos de movimiento. La fase de menor movimiento es la diástole y por lo general la diástole tardía (fase del 70 %) cuando las imágenes son óptimas para valorar las arterias coronarias. Las imágenes pueden ser reconstruidas de forma retrospectiva en cualquier fase del ciclo y esto es recomendable ya que, en ocasiones, cada vaso se ve mejor en fases diferentes.
En un reciente estudio en adultos 4 la coronariografía mediante TCM consiguió evaluar el 88,4 % de los segmentos analizados por coronariografía convencional, y resultó especialmente útil en la evaluación de las lesiones proximales y medias de los principales troncos coronarios. La sensibilidad y la especificidad global de la coronariografía no invasiva para la detección de lesiones coronarias significativas fueron del 75 y del 91 %, respectivamente. En algunos centros, la TCM está llegando a ser una prueba sistemática en la evaluación de la vascularización pulmonar y sistémica y del árbol bronquial en niños 5.
Las principales limitaciones de la angiografía mediante TCM en niños son la frecuencia cardíaca elevada que puede imposibilitar la obtención de imágenes de calidad en niños pequeños. No obstante, se están desarrollando procedimientos de reconstrucción de imágenes que integran los datos de varios ciclos, aumentando así la resolución temporal 6. En pacientes seleccionados puede estar indicado el uso de bloqueadores b para disminuir la frecuencia cardíaca mejorando la imagen de vasos pequeños como las coronarias. Otro inconveniente es la necesidad de permanecer en apnea durante el tiempo de adquisición de las imágenes para disminuir los artefactos causados por el movimiento. El tiempo de apnea necesario para la obtención de la imágenes de calidad que permita valorar las arterias coronarias es de aproximadamente 15 s. Esta condición limita la realización de la prueba a una edad en la que el niño sea capaz de colaborar en el procedimiento a partir de los 5 o 6 años. Estas limitaciones son más importantes en la obtención de imágenes de vasos de pequeño calibre y no en la valoración de estructuras de mayor diámetro como el cayado aórtico o las venas y arterias pulmonares en las que se pueden obtener imágenes de buena calidad con el niño respirando de forma tranquila 5.
Un inconveniente del TCM es la irradiación que, aunque menor que en una angiografía convencional debe tenerse siempre en cuenta dada la mayor susceptibilidad del niño a la misma, intentando administrar la mínima posible en función de las características del estudio 7. El empleo de contrate yodado con sus limitaciones en pacientes alérgicos o en casos de insuficiencia renal es otro de los inconvenientes de esta técnica. Aunque la aplicación de la TCM en la población infantil para valorar las arterias coronarias tiene, por el momento, importantes limitaciones, puede resultar útil en niños seleccionados con sospecha de anomalías congénitas, aneurismas o fístulas coronarias y que no se consideren candidatos para la práctica de una angiografía coronaria invasiva convencional.






