Introducción
Las hemorragias no traumáticas dentro del sistema ventricular suelen ser debidas generalmente a la extensión desde un foco hemorrágico inicialmente de localización intraparenquimatosa (núcleo caudado o tálamo) o, con menos frecuencia, subaracnoidea 1. La hemorragia intraventricular primaria (HIP), esto es, no asociada con un componente de hemorragia intraparenquimatosa, es rara, y constituye el 3 % de todas las hemorragias cerebrales en pacientes adultos. En niños y adolescentes es todavía más infrecuente 1. Debe descartarse la presencia de una lesión subyacente, que puede ser de varios tipos, entre los cuales están las malformaciones arteriovenosas 1. El tratamiento de estos enfermos es el habitual de cualquier hemorragia cerebral y el tratamiento de la lesión subyacente si existe 1. En el caso de las malformaciones arteriovenosas existen varias opciones con resultados diversos que incluyen la microcirugía, la embolización o la radiocirugía solas o en combinación 2,3.
Observación clínica
Paciente de 15 años de edad que acudió al hospital por cefalea intensa de inicio súbito, sensación de mareo, vómitos y febrícula. No presentaba antecedentes de interés. La paciente había nacido de un parto normal a término. Padres sanos no consanguíneos. La enferma estaba consciente y orientada. Presentaba marcada rigidez de nuca. El examen de los pares craneales, al igual que el de la fuerza y la sensibilidad, fue normal. Los reflejos plantares eran flexores y la marcha era normal, al igual que las pruebas de coordinación cerebelosa. La exploración sistémica fue anodina.
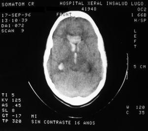
Una analítica, que incluía hemograma, estudio de coagulación y perfil bioquímico no mostró alteraciones. El electrocardiograma estaba en ritmo sinusal. La radiografía de tórax no evidenció alteraciones agudas. Se realizó TC cerebral (fig. 1) que mostró la presencia de sangre en el sistema ventricular sin sangre intraparenquimatosa. La niña fue ingresada con analgesia y sueroterapia, presentando una buena evolución clínica.
Figura 1.TC cerebral realizada en el momento del ingreso en la que se observa la presencia de sangre en el interior del sistema ventricular.
Se realizó una angiorresonancia cerebral en la que se observó una malformación arteriovenosa alimentada por ramas de la arteria cerebral anterior derecha (fig. 2). La angiografía cerebral convencional confirmó los hallazgos de la angiorresonancia. Se desestimaron tanto la embolización selectiva como la cirugía de la malformación arteriovenosa y se realizó radiocirugía. Tres meses más tarde, en una nueva RM se observó un área de hiperseñal en T2 localizada en la región del cuerpo calloso compatible con edema probablemente posradiocirugía (fig. 3). Ante la ausencia de síntomas se adoptó una actitud expectante y se repitió la RM en 3 meses. Esta última fue normal, al igual que los controles realizados cada 6 meses. En una nueva angiografía cerebral convencional realizada 18 meses después de la radiocirugía había desaparecido la malformación arteriovenosa y la paciente se encontraba asintomática.
Figura 2. Angiorresonancia cerebral en la que se observa la presencia de una malformación arteriovenosa alimentada por ramas de la arteria cerebral anterior derecha.
Figura 3. Resonancia cerebral realizada 3 meses después de la radiocirugía en la que observa área de hiperseñal en T2 indicativa de edema.
Discusión
La presencia de sangre en el interior del sistema ventricular es un hallazgo frecuente en las hemorragias localizadas en el caudado o en las hemorragias talámicas 1,3. La HIP, sin estar asociada a hemorragia intraparenquimatosa, es rara 1,3 y, sobre todo, en la infancia y adolescencia.
La HIP en la infancia/adolescencia obliga a descartar una serie de entidades: malformaciones arteriovenosas, tumores, aneurismas, trastornos de la coagulación, enfermedad de Moya-Moya, etc. 3. Las malformaciones arteriovenosas son anomalías en el desarrollo de los vasos sanguíneos en las que permanecen abiertas una o más comunicaciones directas primitivas entre arterias y venas. Suelen dar síntomas en la segunda o tercera décadas de la vida que pueden ser secundarias a la hemorragia de la malformación arteriovenosa, convulsiones, déficits focales, trastornos cognitivos, cefaleas o soplos 2,3.
La presentación clínica habitual de la HIP es la aparición súbita de cefalea intensa, náuseas, vómitos, crisis comiciales (a veces) y disminución del nivel de conciencia. La exploración física suele mostrar rigidez de nuca y signos meníngeos con poca o nula focalidad neurológica 4. La HIP se diagnostica habitualmente en urgencias mediante la realización de una TC cerebral. En el caso de pacientes jóvenes estaría indicada la realización de una angiorresonancia para descartar la presencia de una lesión subyacente 4-6. En ocasiones es necesario completar el estudio con una angiografía cerebral convencional, sobre todo si se va a optar por la embolización como terapia de la lesión subyacente 1.
El tratamiento de la HIP es similar al de la hemorragia intraparenquimatosa, vigilando las complicaciones asociadas que puedan requerir tratamiento neuroquirúrgico como la hidrocefalia 1-3. En el caso de que aparezca una lesión subyacente debe tratarse la misma de la manera más adecuada. Si la lesión que se encuentra en las exploraciones complementarias es una malformación arteriovenosa las opciones terapéuticas son varias e incluyen cirugía convencional, embolización o radiocirugía, que son compatibles entre sí e incluso complementarias 7.
En el caso del tratamiento quirúrgico existen diversos factores que determinan su elección, que son: el tamaño de la lesión, el número de arterias nutrientes, la cantidad de flujo de la malformación, el grado de "robo" sobre el tejido cerebral, la localización de la lesión, la importancia funcional del cerebro circundante y el patrón de drenaje venoso 1,8. Algunas de estas variables están interrelacionadas y se han creado escalas para valorar el riesgo quirúrgico y de hemorragia de los pacientes con malformaciones arteriovenosas como la de Spetzler-Martin en la que se recogen distintos ítems (tamaño, localización y presencia de drenaje venoso profundo) y que parece tener bastante correlación con el riesgo quirúrgico 9. La gran ventaja de la cirugía es que, si tiene éxito, elimina de manera inmediata el riesgo de hemorragia y la desventaja es que, si es muy agresiva, puede ocasionar déficits neurológicos que pueden ser permanentes 1-3,8-13. En el caso de nuestra paciente se desechó la cirugía por la localización de la lesión y por el alto flujo y vascularización de esta.
La embolización constituye también una buena opción terapéutica en manos de equipos experimentados y con un bajo índice de complicaciones 7,13-15. Su utilidad depende sobre todo de las dificultades técnicas, de la localización de la lesión y del tamaño de la misma. Sus ventajas son: reducción inmediata e incluso desaparición de la malformación anteriovenosa, cierre inmediato de los aneurismas intranidales, ausencia de utilización de anestesia general y hospitalización corta del enfermo 1,2,7,10,13,14. En el momento actual tiene también un papel como adyuvante en el tratamiento de lesiones consideradas como irresecables por su tamaño. Estas pueden tratarse realizando en una primera fase una embolización parcial para posteriormente realizar una intervención quirúrgica programada 14. Por último, la radiocirugía se ha convertido en una opción interesante en el tratamiento de esta patología. Parece que es más efectiva en la obliteración de malformaciones vasculares de pequeño tamaño. Es un tratamiento no invasivo y la hospitalización suele durar poco tiempo 1,2,10,13,14,16. Debido a su acción diferida sobre los vasos sanguíneos el paciente sigue corriendo riesgo de hemorragia hasta que la malformación no se trombosa en su totalidad. También debe tenerse en cuenta que puede no conseguirse un cierre total de la lesión y que hay un riesgo de daños cerebrales inducidos por la radiación, que pueden ser, en ocasiones, muy diferidos en el tiempo. A veces puede aparecer edema inmediatamente después de la radiocirugía, sobre todo si el cierre de la malformación es rápido 1-3,13,14,16.
El pronóstico de la HIP depende de la intensidad de los síntomas iniciales. Si el paciente está en coma desde un inicio el pronóstico es malo, sobre todo si aparecen signos tempranos de afectación del tronco cerebral (oftalmoplejía, pérdida de los reflejos pupilares, rigidez de descerebración, etc.) 1,4. Si el paciente está alerta desde un inicio o sólo mínimamente obnubilado sin datos de focalidad neurológica el pronóstico es mejor y la recuperación suele ser total, aunque algunos enfermos presentan pequeños déficits de memoria 4.





