Introducción
El absceso cerebral se define como una colección purulenta intracerebral. Se considera una enfermedad infrecuente en la edad pediátrica; dicha entidad clínica tiene una incidencia global de 4 casos por millón de habitantes y año 1. Según algunos autores son más frecuentes en el sexo masculino 2-9 y entre los 4 y los 8 años 1,9.
Aunque con la introducción de los antibióticos y las pruebas de imagen ha disminuido notablemente la mortalidad, actualmente fallecen hasta el 5-10 % de los casos 1-4,7-9. Además presentan una elevada morbilidad con secuelas neurológicas hasta en el 50 % 2,5,7,9.
Se presenta una revisión de los pacientes en edad pediátrica con abscesos cerebrales vistos en el hospital Universitario Gregorio Marañón de Madrid desde enero de 1996 hasta septiembre del 2003 (6 casos).
Observaciones
Caso 1
Niña de 10 años que presenta alteraciones del habla y de la marcha, adormecimiento, un vómito y fiebre. En tratamiento con amoxicilina-ácido clavulánico por amigdalitis diagnosticada hace 4 días. En la exploración se observan signos meníngeos, y en las exploraciones complementarias un líquido cefalorraquídeo (LCR) con 2.840 leucocitos/μl (60 % polimorfonucleares); hemograma con 21.300 leucocitos/μl (77 % granulocitos) y velocidad de sedimentación globular (VSG), 35 mm/h. Se diagnostica de meningitis bacteriana y se inicia tratamiento con penicilina intravenosa. Al quinto día presenta deterioro del nivel de conciencia con estupor y cuadro de descerebración, y se realiza una tomografía computarizada (TC) craneal que pone de manifiesto abscesos cerebrales múltiples periventriculares en hemisferio cerebral izquierdo y ventriculitis. Se obtiene LCR purulento y, hemograma con 26.300 leucocitos (85 % granulocitos). Se realiza el drenaje de los abscesos y se instaura tratamiento con cefotaxima, vancomicina y metronidazol. En la evolución se realiza TC de control apareciendo nuevos abscesos que son evacuados y se cambia la cefotaxima por ceftazidima. Presenta un cuadro de urticaria por el que se sospecha una reacción alérgica al tratamiento antibiótico, que tras desensibilización en la unidad de cuidados intensivos pediátricos (UCIP) se continúa el mismo tratamiento hasta completar 4 semanas. Como secuelas presenta actualmente discreta pérdida de fuerza en hemicuerpo derecho de predominio braquial, que no le impide la deambulación ni la realización de actitudes sencillas.
Caso 2
Niño de 12 años con fiebre de 24 h y episodio de hipertonía generalizada con movimientos clónicos generalizados, revulsión ocular y pérdida de conciencia de 5 min, que recidiva a los 10 min y queda posteriormente hipotónico. Presentaba temperatura de 38 °C, abundante moco verde en cavum, discreta obnubilación y desconexión intermitente del medio. En la analítica: 19.200 leucocitos/μl (69 % granulocitos) y VSG de 29 mm/h; LCR con 202 cél./μl (24 % granulocitos), glucosa, 69, y proteínas, 88; TC craneal con sinusitis frontoetmoidal izquierda y parénquima cerebral normal. Sospechando meningoencefalitis se trata con aciclovir, presentando a las 24 h un empeoramiento neurológico. En nueva punción lumbar presenta un LCR con 1.000 hematíes/μl, 128 leucocitos/μl (60 % granulocitos), y en la analítica sanguínea, 23.600 leucocitos/μl (92 % granulocitos) y VSG de 64 mm/h, tras lo que se decide asociar cefotaxima al tratamiento previo. A las 48 h presenta somnolencia, afasia nominal y hemiparesia derecha. En nueva TC se objetiva hipodensidad cerebral del lóbulo frontal izquierdo con desviación de línea media y pequeña colección subdural en región frontal izquierda. La resonancia magnética (RM) muestra una imagen de empiema subdural frontoparietal. Se asocia metronidazol y vancomicina, además de fenitoína, dexametasona y manitol. Es intervenido quirúrgicamente a los 4 días de su ingreso por empeoramiento neurológico, evacuándose el material purulento. Tras 3 semanas de tratamiento presenta leucopenia, exantema pruriginoso, fiebre, dolor abdominal con vómitos y aumento de las transaminasas, sospechándose reacción alérgica a antibióticos que se resuelve tras su retirada.
Caso 3
Niño de 15 años que presenta 2 episodios de alteración de conciencia, ataxia, vómitos, sudoración y cianosis. Está en tratamiento con amoxicilina-ácido clavulánico por un diagnóstico de sinusitis. Presentaba fiebre desde hace 3 días y cuadro catarral. A la exploración destacaba un edema palpebral izquierdo, derrame del ojo izquierdo, petequias en tronco y brazo izquierdo, faringe hiperémica y temperatura de 38,5 °C. En la analítica: 13.100 leucocitos/μl (79 % granulocitos) y VSG de 100 mm/h. En radiografía de senos se observa pansinusitis izquierda; sufrimiento frontal izquierdo en electroencefalograma (EEG) y TC craneal con aumento de tamaño de partes blandas en cavum y ocupación inflamatoria del seno maxilar izquierdo y celdas etmoidales del mismo lado. RM craneal: pansinusitis izquierda, tres colecciones loculadas de menos de 1 cm subdurales frontales izquierdas y cerebritis frontal izquierdo. Se pauta dexametasona, cefotaxima y vancomicina, además de realizar punción-aspiración de seno maxilar izquierdo. Presenta mejoría clínica, analítica y radiológica, recayendo al décimo tercer día con picos de fiebre de 38,2 °C, cefalea frontal intensa, irritabilidad, anisocoria con midriasis izquierda con pupilas normorreactivas. Analítica: 10.200 leucocitos/μl (90 % granulocitos) y RM con cambios inflamatorios en seno frontal, celdillas etmoidales anteriores y seno maxilar izquierdo además de imagen indicativa de empiema subdural frontal izquierdo y cerebritis extensa frontal izquierda. Se realiza drenaje seno frontal izquierdo, etmoidectomía transnasal, apertura del seno maxilar izquierdo y evacuación de empiemas subdurales. Se continúa tratamiento con cefotaxima, vancomicina y, además, metronidazol durante 4 semanas.
Caso 4
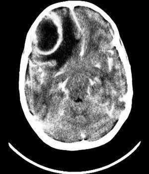
Niña de 8 años con cefalea frontal de 10 días y vómitos y decaimiento en los últimos 2 días. En otro hospital se realiza TC craneal que muestra tumoración frontal derecha con edema y efecto masa, con desplazamiento de línea media y compresión parcial del sistema ventricular izquierdo (fig. 1). Se traslada a nuestro hospital presentando a las 3 h del ingreso disminución de conciencia con hipertonía generalizada en opistótonos, cianosis acra y perioral. Como antecedentes presenta una comunicación interventricular membranosa con hipertensión pulmonar suprasistémica e insuficiencia tricuspídea leve en tratamiento con ácido acetilsalicílico, dipiridamol y captopril. A la exploración destaca una subcianosis perioral, soplo sistólico II/VI, midriasis izquierda, aftas orales con piezas dentarias cariadas y un hígado a 3 cm de reborde costal. Presenta una analítica con 13.600 leucocitos/μl (85 % granulocitos) y proteína C reactiva (PCR) 1,26 mg/dl. Se instaura tratamiento con dexametasona y valproato. Se realiza craneotomía y drenaje, extrayéndose material purulento en la región frontal derecha. Es tratado con cefotaxima y metronidazol durante 3 semanas y posteriormente 2 semanas más con amoxicilina-ácido clavulánico. También posteriormente se procede a la extracción de las piezas dentarias cariadas. Como secuelas presenta crisis comiciales secundarias a cicatriz cortical.
Figura 1.TC craneal: absceso frontal derecho con gran desplazamiento de línea media. Caso 4.
Caso 5
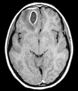
Niña de 11 años que presenta episodio de desviación de la cabeza y comisura bucal a la izquierda con movimientos clónicos del brazo derecho y revulsión ocular de pocos minutos. Asocia cefalea holocraneal. Había sido diagnosticada 10 días antes de sinusitis maxilar tratada con amoxicilina-ácido clavulánico. Esa mañana había ido al otorrino que le trata con metilprednisolona y le cambia la antibioterapia a ciprofloxacino. En la exploración destaca un enrojecimiento y edema de párpado derecho. En la analítica presenta 9.700 leucocitos/μl (granulocitos 61 %); PCR, 8,2 mg/dl; VSG, 76 mm/h. Se realiza TC craneal encontrándose sinusitis frontoetmoidal maxilar derecha. Es ingresada con amoxicilina-ácido clavulánico i.v. Al día siguiente se realiza RM: sinusitis frontoetmoidal maxilar derecha, engrosamiento dural frontal derecho y absceso incipiente frontal derecho. El EEG muestra actividad de ondas lentas irregulares en región frontal derecha. Se cambia tratamiento antibiótico a: cefotaxima, vancomicina y metronidazol, instaurándose medicación antiepiléptica con valproato. A los 16 días de ingreso comienza con cefalea, vómitos y deterioro del estado general por lo que se realiza TC que demuestra un aumento del tamaño del absceso frontal derecho con edema y efecto masa. En la RM presenta absceso frontal derecho de 2,5 cm (fig. 2). Se realiza drenaje del absceso. A las 4 semanas presenta, coincidiendo con administración de cefotaxima, una reacción urticarial, sustituyéndose por ciprofloxacino.
Figura 2.RM craneal: absceso frontal derecho (captación en anillo). Caso 5.
Caso 6
Varón de 15 años de edad con un cuadro de fiebre de hasta 39,5 °C de 10 días de evolución con congestión nasal, adenopatías cervicales y edema palpebral a los que se asocian vómitos en las últimas 48 h desde las que por detección de antígeno estreptocócico en faringe se viene efectuando tratamiento con penicilina oral. Ingresa por presentar alteración del estado de conciencia con somnolencia, cefalea y discreta rigidez de nuca. En la analítica de sangre periférica presenta 13.100 leucocitos/μl (75 % granulocitos); GOT, 69 U/l; GPT, 98 U/l; LCR, 200 leucocitos/μl (40 % polimorfonucleares); 40 hematíes/μl. TC: seno frontal y etmoidal derechos ocupados y empiema frontal derecho. Se instaura tratamiento con cefotaxima, metronidazol y vancomicina y se realiza drenaje de meato medio saliendo abundante contenido purulento.
Discusión
En nuestra serie encontramos unas edades comprendidas entre los 8 y 15 años que son un poco más elevadas que lo publicado por otros autores que encuentran un pico de incidencia a edades entre 4 y 7 años; ello probablemente sea debido a que en la mayoría de nuestros pacientes tenemos como enfermedad asociada una infección de senos paranasales (cuatro de ellos) que son más frecuentes en niños mayores 1-12.
Los factores predisponentes asociados a abscesos cerebrales son las cardiopatías congénitas y los procesos infecciosos otorrinolaringológicos. Otros son: infecciones de tejidos blandos de cabeza y cuello, focos dentarios, meningitis, estados de inmunodeficiencia, heridas craneales penetrantes y procedimientos neuroquirúrgicos 1-3,7,9,13. En nuestros casos encontramos 4 pacientes con antecedente de sinusitis, uno con meningitis, y otro con antecedente de cardiopatía congénita y foco dentario. Pueden no encontrarse factores predisponentes hasta en el 30 % de los casos.
En nuestra serie la localización de los abscesos se encuentra en 5 pacientes en la región frontal y en el otro caso múltiples periventriculares y en la región occipital. Esto se debe a la localización de la infección primaria 1-10.
Es difícil realizar un diagnóstico etiológico microbiológico en general, debido al inicio de tratamiento antibiótico precoz anterior al momento de recogida de muestra del absceso. Nosotros hemos obtenido cultivos estériles en 3 pacientes y, en los otros dos han crecido Streptococcus viridans y anaerobios (tabla 1), siendo similar a lo publicado por otros autores 1-3,5,7,9,14. Cuando el absceso se debe a un foco odontógeno o a una sinusitis suelen ser frontales y de etiología debida a estreptococos aerobios y anaerobios, enterobacterias y Staphylococcus aureus y anaerobios. Cuando es secundario a un foco ótico la localización suele ser temporal o cerebelosa con flora mixta que incluye estreptococos aerobios y anaerobios, enterobacterias y Pseudomonas aeruginosa. Los abscesos postraumáticos se deben a S. aureus, estreptococos o enterobacterias y los originados de un foco hematógeno suelen ser monomicrobianos con una distribución que sigue la arteria cerebral media. Haemophilus aphrophilus es frecuente en las cardiopatías congénitas mientras que S. aureus o estreptococo se encuentran en las endocarditis o en las bacteriemias prolongadas.
La sintomatología característica de fiebre, cefalea y vómitos únicamente se ha encontrado en un paciente. Tenemos que tener en cuenta que esta tríada aparece en el 60-70 % de los casos según lo publicado en la literatura médica 1-9,12. La tríada de convulsiones, alteración del nivel de conciencia y signos focales ocurre en el 25-50 % y la tríada de fiebre, cefalea y déficit focales en menos del 30 %, con signos meníngeos en menos del 25 %. El dato de fiebre únicamente se ha constatado en 3 pacientes. Sin embargo, hay un dato clínico orientativo que se ha observado en casi todos los pacientes, 5 de los 6 casos, que es la alteración en el nivel de conciencia. Este dato, junto con alguna alteración en la exploración neurológica, existe en todos nuestros pacientes.
Para el diagnóstico es fundamental, además de la sospecha clínica, las pruebas de imagen. Es bien conocido como la utilización de la TC craneal con contraste ha disminuido notablemente la mortalidad de estos procesos 1-4,7-9. Sin embargo, aunque la TC es una prueba muy útil, diversos autores propugnan en la actualidad la necesidad de utilizar la RM para un diagnóstico precoz en fases iniciales, como así sucede en uno de los pacientes 14,15. Si se excluye la existencia de un absceso cerebral debe realizarse el diagnóstico diferencial con una meningitis, en cuyo caso habrá que efectuar una punción lumbar.
En el tratamiento se ha utilizado la pauta clásica de tres antibióticos (cefalosporina de tercera generación, metronidazol y vancomicina) 1,5,9,10 durante 4-6 semanas. Es muy importante conocer la capacidad de penetración de los antibióticos a nivel de parénquima cerebral, ya que de ello, junto con el abordaje quirúrgico si es necesario, va a depender el éxito del tratamiento 1-4,8,10. En el caso de los abscesos asociados a sinusitis, mastoiditis, otitis o cardiopatías congénitas debe emplearse una cefalosporina de tercera generación más metronidazol. Ampicilina/sulbactam, meropenem o ciprofloxacino son alternativas razonables. Con el aumento de la prevalencia de S. aureus resistente a meticilina y S. epidermidis, debe asociarse vancomicina a la cefalosporina de tercera generación y el metronidazol ante heridas penetrantes por traumatismos, shunts ventriculoperitoneales o endocarditis. También debe asociarse vancomicina a la cefalosporina de tercera generación en el caso de meningitis para cubrir S. pneumoniae. En los abscesos cerebrales donde Listeria monocytogenes puede ser la responsable debe añadirse ampicilina a la cefalosporina de tercera generación. La duración debe ser de 4 a 6 semanas por vía parenteral. Este tratamiento largo originó reacciones de hipersensibilidad en 3 de nuestros 6 pacientes, que se deben tener en cuenta. Se puede reducir la duración a 3-4 semanas si no es necesario el tratamiento quirúrgico.
El empleo de corticoides para disminuir la presión intracraneal también disminuye la penetración del antibiótico en el parénquima cerebral, por lo que deberá evitarse en lo posible.
Cuando el proceso no tiene buena evolución, los abscesos son mayores de 2,5 cm o presentan síntomas de hipertensión intracraneal se debe asociar tratamiento quirúrgico, que en nuestros pacientes tuvo que efectuarse en cinco. Hay varios métodos quirúrgicos (drenaje-aspiración, escisión, marsupialización y drenaje estereotáxico), siendo el más frecuentemente utilizado el drenaje-aspiración 1-10,13,14.
En nuestra serie no encontramos mortalidad alguna, aunque 3 pacientes presentan concomitantemente empiema subdural, que está relacionado con aumento de mortalidad 5,7. Y en cuanto a las secuelas, únicamente un paciente presenta crisis comiciales secundarias a cicatriz cortical y otro una discreta pérdida de fuerza en un hemicuerpo de predominio braquial. No obstante, 5 de los 6 pacientes reciben tratamiento con antiepilépticos 8. Nos cuestionamos la necesidad de tratamiento anticomicial de por vida en función del daño cerebral ocasionado.
En conclusión, sigue siendo muy importante tener sospecha clínica de un posible absceso cerebral para así poder realizar un diagnóstico y tratamiento precoz a la hora de mejorar la supervivencia y disminuir secuelas. En el diagnóstico sigue siendo muy importante la TC con contraste, aunque algunos autores propugnan utilizar la RM como prueba de primera elección. Para el tratamiento lo fundamental es realizar una amplia cobertura antibiótica y en algunos casos es necesario tratamiento quirúrgico asociado.





