El síndrome de Lemierre (SL) es una complicación rara pero potencialmente grave de las infecciones del área otorrinolaringológica (ORL). La tríada clásica consiste en: tromboflebitis de la vena yugular interna (TVYI), bacteriemia y embolismos sépticos1. Cuando se asocia a mastoiditis, puede causar una variante otogénica donde aparecen tromboflebitis ipsilateral de la VYI, seno lateral o cavernoso, síndrome meníngeo y más raramente metástasis sépticas o extensión al hueso temporal2,3. En los últimos años se ha observado un aumento de su incidencia atribuido al menor empleo de antibióticos betalactámicos para el tratamiento de las infecciones ORL4. Presentamos dos casos pediátricos con variante otogénica de SL.
Caso 1: niña de 2 años sin patologías previas de interés, que presenta fiebre elevada de 48h de evolución junto con otalgia, otorrea y vómitos. No refiere antibioterapia previa. En la exploración se observa afectación del estado general con hipotensión, palidez, somnolencia y otorrea derecha. La paciente ingresa en UCIP, realizándose terapia de soporte e iniciando antibioterapia con cefotaxima y clindamicina. En la analítica destacan 13.500/mm3 neutrófilos y PCR de 340mg/L. En la TC craneocervical se identifica mastoiditis derecha junto con TVYI, por lo que se añade heparina intravenosa. En el hemocultivo se aísla Fusobacterium nucleatum sensible a penicilina. Se realiza estudio de extensión que incluía radiografía de tórax y ecografía abdominal, sin observar alteraciones. Se ajusta la antibioterapia a penicilina, la cual se mantiene hasta un total de 42 días con evolución satisfactoria.
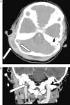
Caso 2: niña de 3 años sin antecedentes de interés, que presenta fiebre y otalgia de 14 días de evolución. Recibe en este tiempo tratamiento con cefixima y amoxicilina oral sin mejoría. En las 48h previas al ingreso inicia tortícolis, otorrea derecha y masa fluctuante retroauricular. En la analítica destacan 11.950/μl neutrófilos y PCR 117,9mg/L. En la TC craneocervical se observa mastoiditis aguda derecha complicada con absceso subperióstico y tromboflebitis del seno sigmoideo y de VYI (fig. 1A y B). Se realiza mastoidectomía y drenaje del absceso en las primeras 24h, donde se aísla Fusobacterium necrophorum resistente a clindamicina. El estudio de extensión no muestra embolismos. Se administran 7 semanas de tratamiento con amoxicilina-clavulánico. A los 8 días tras la finalización del tratamiento reaparece fiebre y elevación de reactantes de fase aguda. Se realiza nueva TC craneocervical identificándose lesiones compatibles con osteomielitis del hueso temporal. Se administra cefotaxima más metronidazol intravenoso con posterior terapia secuencial oral con metronidazol hasta cumplimentar 3 meses, con buena evolución sin secuelas.
La variante otogénica del SL es una forma de presentación infrecuente y está causada principalmente por bacterias anaerobias del género Fusobacterium y ocasionalmente por Streptococcus, Bacteroides, Peptostreptococcus, Eikenella corrodens y Staphylococcus aureus3,5. La infección primaria ocurre más frecuentemente en orofaringe y afecta predominantemente a adolescentes y adultos jóvenes inmunocompetentes6. Cuando es secundaria a otitis media es más común en niños7,8. En pacientes pediátricos precisa de un alto nivel de sospecha, puesto que los signos clásicos de TVYI como la inflamación local y el dolor pueden estar ausentes. Si bien los émbolos sépticos forman parte de la tríada clásica de SL, recientemente se ha observado una reducción de esta complicación posiblemente por el inicio precoz de la antibioterapia y la alta capacidad de trombolisis en pacientes pediátricos3,9. En nuestros casos el diagnóstico de TVYI y de seno sigmoideo se realizó mediante TAC craneocervical con contraste. Realizamos estudio de extensión que incluía radiografía de tórax y ecografía abdominal, sin hallar embolismos sépticos. Se recomienda la búsqueda de metástasis sépticas en las infecciones causadas por Fusobacterium sp. En función de la sospecha clínica puede realizarse radiografía de tórax, ecografía doppler o TAC con contraste torácica y/o abdominal. El tratamiento de la variante otogénica de SL no está bien establecido debido al número reducido de pacientes comunicados. Se recomienda emplear dos antibióticos con actividad anaerobicida, así como la cobertura de posibles patógenos asociados. Se describen buenos resultados con amoxicilina-clavulánico, clindamicina y metronidazol, teniendo este último especial interés por su buena difusión en SNC, tejidos blandos y hueso. La duración óptima del tratamiento antibiótico varía desde 3 semanas hasta varios meses en las formas severas. El abordaje quirúrgico se considera una parte fundamental del tratamiento. En cuanto a la necesidad de anticoagulación, existe controversia, empleándose habitualmente si existen embolismos sépticos o trombosis extensa a nivel intracraneal9,10. Subrayamos la necesidad de mantener un elevado índice de sospecha para la variante otogénica de SL dado que el diagnóstico precoz y la adecuada antibioterapia, junto con un posible abordaje quirúrgico y/o anticoagulación, son factores críticos para obtener resultados satisfactorios.
Al Dr. Manuel Fajardo (Radiología Infantil, Hospital Virgen del Rocío, Sevilla).



