Se presenta el caso de un adolescente de 16 años de sexo masculino y raza caucásica. En sus antecedentes destaca el síndrome de moyamoya, diagnosticado a los 2 años de edad, con múltiples accidentes vasculares cerebrales en la infancia y consecuente déficit cognitivo grave. Seguido en consulta de neuropediatría y medicado diariamente con risperidona. Buena evolución estaturo-ponderal. Sin otros antecedentes de interés.
Acudió de urgencias en julio del 2010, a otra institución, por episodio de atragantamiento unos 15 días antes, seguido en los días siguientes de episodios de epistaxis y un episodio de hemoptisis. Sin otros síntomas. Sin historia de contacto con tuberculosis pulmonar. El hemograma con leucograma y proteína C reactiva fueron normales, y la prueba tuberculínica con 0mm La radiografía de tórax no mostró alteraciones, pero en la tomografía computarizada (TC) torácica se observa un foco de condensación con broncograma aéreo en el lóbulo superior izquierdo y también focos de condensación en los lóbulos superior derecho e inferior izquierdo, y la língula. Fue trasladado a nuestro hospital para la realización de una fibrobroncoscopia por sospecha de neumonía aspirativa. En la exploración clínica en este instituto se visualizó una hemorragia reciente en la mucosa nasal, sin otras alteraciones. Fue sometido a fibrobroncoscopia con visualización de secreciones serohemáticas en el lóbulo superior izquierdo, la língula y el lóbulo inferior derecho, sin evidencia de cuerpo extraño. Se realizó un lavado broncoalveolar (LBA), con resultados de cultivo, examen directo y cultivos para micobacterias negativos. Se repitió el estudio analítico, con estudio de la coagulación y dosificación del factor von Willebrand, que se mantenía sin alteraciones. El estudio inmunológico, las subpoblaciones linfocitarias, el factor reumatoide, los anticuerpos antinucleares y el anticuerpo anticitoplasma de neutrófilo no revelaron alteraciones, excepto inmunoglobulina E (IgE) 70,9 IKU/l. Los virus de la inmunodeficiencia humana 1 y 2 fueron negativos.
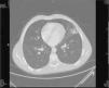
Dos meses después, debido a nuevos episodios de hemoptisis, se realizaron una radiografía de tórax (fig. 1) y angio-TC torácica (fig. 2), en donde se observó una imagen de cavitación de 35mm de diámetro, periférica, en el segmento inferior de la língula, comunicante con la estructura bronquial, asociándose a un nódulo sólido intralesional de 26mm de diámetro, móvil, compatible con aspergiloma. Sometido nuevamente a fibrobroncoscopia, el examen citológico mostró macrófagos cargados con hemosiderina, y el cultivo y el análisis micológico del LBA fueron negativos. El estudio analítico se mantuvo sin alteraciones, incluyendo IgE específicas para aeroalérgenos y para Aspergillus fumigatus. La serología de IgG fue positiva para Aspergillus fumigatus (61,30mg/l; N≤40mg/l). Realizada resección quirúrgica de la cavitación, sin complicaciones, el informe anatomopatológico confirmó que se trataba de un aglomerado de estructuras levaduriformes con características de Aspergillus. Desde entonces se encuentra asintomático.
El aspergiloma es una entidad rara, siendo su verdadera incidencia desconocida y su historia natural mal documentada1-3. Resulta de la colonización de una cavidad pulmonar preexistente, generalmente situada en los lóbulos superiores, por Aspergillus1-7, siendo el Aspergillus fumigatus el más frecuente2,4. El principal factor de riesgo para el desarrollo de esta enfermedad son las cavitaciones por tuberculosis1,5 pero en el 1-18% de los casos puede ocurrir sin enfermedad pulmonar de base2,4. Sus síntomas varían desde «hallazgos» incidentales en radiografías de rutina hasta hemoptisis graves que ponen en peligro la vida del paciente2,3,5,7. El «signo del aire en luna creciente» visible en la radiografía o la TC torácica es una característica radiológica frecuente pero no patognomónica, pudiendo ocurrir en otras afecciones, como absceso pulmonar o carcinoma pulmonar3,4,6. En este caso, podríamos enunciar la hipótesis de aspergilosis broncopulmonar alérgica (ABPA), existiendo casos descritos en la literatura de ocurrencia en simultáneo de las 2 afecciones8,9. En este caso, utilizando los criterios de Greenberger y Patterson3, nos parece poco probable el diagnóstico de ABPA por la ausencia de criterios esenciales, como asma y IgE total > 1.000 ng/ml, y de criterios no esenciales, como esosinofilia periférica, aumento de la IgE específica para Aspergillus fumigatus y de bronquiectasias centrales en la TC de alta resolución torácica.
El tratamiento ideal es controvertido. En cerca del 10% de los casos el aspergiloma puede disminuir de tamaño o resolverse espontáneamente3. El tratamiento médico con antimicóticos, expresamente anfotericina B y itraconazol, es referido en varios estudios, pero sin resultados o con resultados variables, respectivamente2,3,10, una vez que la cavitación pulmonar crea un espacio muerto donde los agentes antimicóticos sistémicos raramente penetran, por lo que no existe evidencia científica consistente que soporte el tratamiento médico en esta afección2,7,10. La cirugía es el procedimiento de elección ante la presencia de hemoptisis recurrentes, presentando bajo riesgo de complicaciones en los enfermos asintomáticos y sin enfermedad pulmonar subyacente1-7,10.
En este caso no fue posible determinar el factor de riesgo para el desarrollo de la afección, pudiendo la neumonía aspirativa ser un factor facilitante.




