Sr. Editor:
La seudocoartación aórtica es una anomalía congénita infrecuente, producida por una elongación y tortuosidad del arco aórtico en la región del ligamento arterioso. Un hallazgo característico de esta entidad es la posición del arco aórtico más alta de lo habitual que simula una tumoración mediastínica superior.
La asociación de seudocoartación de aorta y vena innominada retroaórtica es excepcional. Es importante conocer esta asociación ante posibles intervenciones quirúrgicas cardiovasculares y procedimientos intervencionistas vasculares por vía percutánea.
Varón de 3 años de edad con antecedentes de bronquitis leves al que se le practica una radiografía de tórax para el control de una neumonía localizada en el lóbulo inferior derecho.
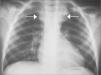
La radiografía de tórax mostró un ensanchamiento mediastínico, de contornos lisos, con un mínimo desplazamiento lateral izquierdo traqueal (fig. 1). La tomografía computarizada torácica reveló un arco aórtico elongado y tortuoso cuya porción más craneal se situaba por encima de la clavícula izquierda. También se observó un aumento de la distancia entre la arteria carótida izquierda, con origen ligeramente a la derecha de la línea media y la arteria subclavia izquierda, con origen en la aorta torácica descendente. No se identificó ninguna alteración de la secuencia y configuración de los troncos supraaórticos. La aorta descendente se situaba a la izquierda de la línea media.
Asociada a esta malformación aórtica se observó la presencia de una vena innominada izquierda que seguía un trayecto anómalo, cruzando el mediastino de izquierda a derecha por delante de la carina y posterior a la aorta torácica ascendente, para alcanzar la vena cava superior (fig. 2).
Clínicamente, el único hallazgo que cabe destacar fue la auscultación de un soplo sistólico 2/6 en focos aórtico, pulmonar y carotídeo derechos. El electrocardiograma fue normal. En el ecocardiograma destacó un flujo turbulento en la porción tortuosa del arco aórtico. Dado que el paciente estaba asintomático y no existían signos clínicos de compromiso hemodinámico, se decidió detener el estudio con el diagnóstico de seudocoartación aórtica no complicada.
La seudocoartación aórtica es una malformación congénita infrecuente. Fue descrita por primera vez en 1951 por Dotter y Steinber, y desde entonces sólo se han publicado unos 150 casos1,2.
La seudocoartación aórtica es una entidad de etiología desconocida y su embriogénesis no queda clara. La teoría más aceptada es que la falta de compresión de algunos segmentos de las raíces aórticas dorsales produce un arco aórtico elongado, que se eleva hasta el mediastino superior y adopta una morfología tortuosa (kinking) en la región del ligamento arterioso. Se acompaña, asimismo, de un aumento de la distancia entre la arteria carótida y la arteria subclavia izquierdas1–4.
El diagnóstico diferencial debe hacerse con la coartación aórtica y el arco aórtico cervical.
A diferencia de la coartación aórtica, la seudocoartación cursa con un arco aórtico elevado y no presenta un gradiente de presión significativo (25mmHg) entre las extremidades superiores e inferiores, por lo que no se encontrarán los signos clásicos de la coartación (hipertensión arterial, hipotensión de extremidades inferiores, escotaduras costales)1–3,5.
El arco aórtico cervical se presenta como una masa cervical pulsátil. Los criterios diagnósticos son una posición cervical del arco aórtico, una alteración del origen de los troncos supraaórticos y una disposición anómala, retroesofágica, de la aorta torácica descendente4.
Se han descrito diversas anomalías cardiovasculares asociadas a la seudocoartación de la aorta, como estenosis aórtica, válvula aórtica bicúspide, etc.1–3.
La vena innominada izquierda anómala o retroaórtica es una rara anomalía congénita. Desde que Kerschner la describió por primera vez en 1888 se han publicado menos de 100 casos5.
El curso normal de la vena innominada izquierda es oblicuo y descendente hacia la derecha, anterior al arco aórtico y a sus ramas principales para unirse a la vena innominada derecha y formar la vena cava superior. En cambio, la vena innominada retroaórtica sigue un trayecto por debajo del arco aórtico y por detrás de la aorta ascendente.
La asociación de seudocoartación de aorta y vena innominada retroaórtica es excepcional. Una posible explicación embriológica de la aparición conjunta de ambas malformaciones se basa en la teoría de que la compresión que produce el arco aórtico, anormalmente elevado, sobre la porción ventral superior del plexo venoso en desarrollo impide el crecimiento de la vena innominada izquierda normal. Este hecho favorece la hipertrofia de la porción dorsal inferior de dicho plexo, dando lugar a una vena innominada de trayecto anómalo que cruza el mediastino, posterior a la aorta ascendente y anterior a la tráquea5–8.
Pese a que clínicamente los pacientes con seudocoartación aórtica suelen estar asintomáticos, se recomienda realizar controles periódicos por el riesgo de desarrollar aneurismas saculares en la porción aórtica situada en el origen de la tortuosidad1–3. Asimismo, es importante conocer la asociación de un arco aórtico anormalmente alto con la vena innominada retroaórtica, sobre todo ante posibles intervenciones de cirugía cardíaca, o técnicas de intervencionismo vascular7–9.




