Sr. Editor:
La pubertad precoz central en niñas se define como el inicio de los caracteres sexuales antes de los 8 años, a de una activación precoz del eje hipotálamo-hipofisario-gonadal. La mayoría de estos casos de pubertad en niñas son definidos como idiopáticos1, mientras que en los niños es común la presencia de lesiones intracraneales. En los últimos años, en coincidencia con la mayor utilización de la resonancia magnética (RM), se ha encontrado un aumento de la incidencia de dichas lesiones en las niñas.
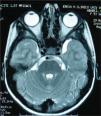
Se presenta el caso de una niña de 5 años y medio, de origen rumano, que en los últimos 4 meses presenta telarquia progresiva y aceleración marcada del crecimiento (velocidad de crecimiento anual de 8cm). La menarquia de la madre tuvo lugar a los 11 años. A la exploración clínica se aprecia un aspecto macrosómico, peso de 30kg (muy por encima de p97) y talla de 126cm (muy por encima de p97). Se objetivan telarquia y pubarquia en estadio 2. El estudio del desarrollo esquelético muestra una aceleración del mismo (edad ósea de 7 años) y la ecografía abdominal, unos ovarios grandes con folículos en su interior; sin embargo, el útero parece prepuberal. Los resultados hormonales basales estarían dentro de la normalidad para la edad: hormona foliculoestimulante (FSH), 2,82 mUI/ml; hormona luteinizante (LH), 0,1 mUI/ml; estradiol, 5pg/ml, y progesterona, 0,23ng/ml. En la RM cerebral se observa un pequeño quiste aracnoideo en la fosa cerebral media izquierda de unos 2cm de diámetro y ningún otro hallazgo patológico (fig. 1).
Los quistes aracnoideos constituyen el 1 % de las masas intracraneales; generalmente son anomalías congénitas causadas por la acumulación de líquido cefalorraquídeo en estructuras quísticas formadas entre dos capas de aracnoides2. La mayoría son clínicamente silentes y se identifican de forma incidental. No obstante, los de localización supraselar se han relacionado, en una frecuencia variable, con la aparición de disfunciones endocrinas múltiples, entre las que figuraría la pubertad precoz en el 2,5% de casos1–6. Varias hipótesis han pretendido explicar el mecanismo de aparición de esta alteración, probablemente en los de mayor tamaño, la compresión del hipotálamo posterior, dejando el anterior intacto, libre de influencias inhibitorias, daría lugar a una activación precoz del eje hipotálamo-hipofisario-gonadal2,4. La región preóptica tendría un papel importante en la regulación de la liberación de hormonas gonadotrópicas desde el lóbulo anterior de la hipófisis4. La evolución de los quistes aracnoideos es incierta y su seguimiento o tratamiento quirúrgico dependerá de su localización, de su tamaño, de los síntomas neurológicos y de la existencia de anomalías asociadas.
En nuestro caso, el comprobar la progresión de la clínica, con un aumento marcado de la velocidad de crecimiento como primer escalón de una clara pubertad, la persistencia de la telarquia y la presencia del quiste aracnoideo son factores que pueden ayudar en la decisión del tratamiento. La ausencia de sintomatología neurológica y el pequeño tamaño del quiste justifican tomar una actitud conservadora por el momento; se inicia tratamiento con análogos de la hormona liberadora de gonadotropinas. Tras un año de tratamiento persisten el aumento de la velocidad de crecimiento y la pubarquia, pero ha desaparecido la telarquia.
La realización sistemática de RM cerebral en todos los niños con pubertad precoz está claramente aceptada; sin embargo, sigue siendo controvertida la realización de ésta en todas las niñas afectadas. Se discute si la sola presencia de unos determinados datos clínicos son predictores o no de posible lesión orgánica, por lo que el uso de RM sería innecesario salvo en casos específicos (menor edad, mayor talla, alteraciones hormonales, edad ósea muy avanzada o hallazgos patológicos en la ecografía abdominal)1,5. En nuestro caso no se cumplía claramente ningún factor de riesgo, a pesar de lo cual la RM permitió objetivar la presencia de un quiste aracnoideo. Un caso aislado no justifica la recomendación de realizar RM en todas las niñas, pero su interés radica en la importancia de un diagnóstico y una vigilancia que de otro modo podría haber resultado insuficiente. Consideramos de interés la publicación de este caso, que puede contribuir a favor de la realización de RM en niñas con pubertad precoz.



