Sr. Editor:
La pubertad precoz se define como la aparición de caracteres sexuales secundarios antes de los 9 años en niños y de los 8 años en niñas, y es de origen central cuando existe activación del eje hipotálamo-hipofisario-gonadal. En la mayoría de ocasiones, la pubertad precoz central (PPC) en niñas es de origen idiopático; sin embargo, hasta en el 27 % de los casos se detecta alguna lesión orgánica del sistema nervioso central1. En este sentido, la existencia de quistes de glándula pineal en niñas con PPC ha sido escasamente publicada2–4. Por ello, presentamos una niña afectada de PPC y portadora de un quiste de la glándula pineal.
Se trata de una niña de 2 años y 10 meses que acude a la consulta por telarquia desde los 6 meses de vida con aumento llamativo en los últimos 3 meses, junto a la aparición de pubarquia en el último mes y aceleración de la velocidad de crecimiento (5cm en los últimos 3 meses). La paciente no presentaba síntomas de hipertensión intracraneal. No existían antecedentes personales ni familiares de interés.
El examen físico mostraba los siguientes datos: peso: 19,7kg (p > 97; desviación estándar [DE]: +2,5), talla 100,5cm (p > 97; DE: +2,5), índice de masa corporal 19,7 (p > 97; DE: +2,2) con genitales femeninos externos normales, estadio puberal Tanner II (telarquia grado 2, pubarquia grado 2 y axilarquia grado b). El resto de la exploración no mostraba ninguna alteración.
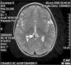
Con la sospecha de pubertad precoz se realiza radiografía de la mano-muñeca izquierda, que muestra una edad ósea de 5 años. Asimismo, se realizó una ecografía pélvica en la que se evidenció un útero de 35mm con línea endometrial visible y ovarios sin quistes ni tumores. Finalmente, la realización de un test de estimulación con hormona liberadora de hormona luteinizante (test LHRH) confirmó el origen central de la pubertad: pico de LH de 50,9 mUI/ml y pico de hormona foliculoestimulante (FSH) de 19,4 mUI/ml. Con el diagnóstico de PPC y con el fin de descartar patología orgánica cerebral, se solicitó una resonancia magnética (RM) craneal en la que se visualizó un quiste de la glándula pineal de 0,8 × 0,6cm (fig. 1), sin evidenciar signos de hipertensión intracraneal. El estudio de marcadores tumorales en sangre (α -fetoproteína y β -HCG) fue negativo. Tras 3 meses de seguimiento bajo terapia con triptolerina en dosis de 100μg/kg, la velocidad de crecimiento se había estabilizado, así como el grado de telarquia, sin presentar clínica neurológica alguna.
Las lesiones de la glándula pineal constituyen el 0,4-1,0 % de todos los tumores intracraneales (en niños, 3-11 %) y pueden clasificarse en: tumores de células germinales, tumores del parénquima pineal, tumores de células intersticiales pineales y quistes. Se ha comunicado una prevalencia de quistes de glándula pineal de hasta el 25-41 % en estudios de necropsias, incluyendo los quistes mayores de 2mm. En estudios de RM, la tasa de incidencia es mucho más baja, desde el 0,6 % en niños hasta el 2,6 % en adultos. La mayoría son hallazgos casuales en pacientes asintomáticos, por lo que son considerados variantes de la normalidad. Aquéllos mayores de 1cm sí se han asociado con la presencia de clínica neurológica como cefalea (crónica o paroxística), alteraciones visuales (síndrome de Parynaud), vértigo, hemiparesia, epilepsia e hidrocefalia5. La mayoría de autores recomienda un seguimiento periódico (cada 6-12 meses) en quistes menores de 1cm asintomáticos, mientras que aquéllos mayores de 1cm o sintomáticos deben ser extirpados5,6.
La asociación entre quiste de la glándula pineal y PPC ha sido comunicada únicamente en tres pacientes, aunque hay diferentes hipótesis que tratan de explicar esta posible relación: a) por un fenómeno de presión que ejerce el tumor sobre el eje hipotálamo-hipofisario, pudiendo desactivar la inhibición de los pulsos de hormona liberadora de gonadotropinas; b) otros autores argumentan que pueda existir una alteración de la secreción de melatonina y, secundariamente, un aumento en la secreción de gonadotropinas, y c) finalmente, se especula que el quiste pineal pueda secretar sustancias con acción similar a las gonadotropinas y, así, activar la pubertad4.
En conclusión, puede existir una relación causal entre el quiste de la glándula pineal y la PPC. Sin embargo, son necesarios más estudios que aclaren los mecanismos exactos de esta posible interrelación.



