Sr. Editor:
Presentamos el caso de un recién nacido pretérmino de muy bajo peso que a las 14 h de vida desarrolló un neumomediastino sin neumotórax. Al nacer, fue intubado y recibió una dosis de surfactante exógeno. Un esofagograma confirmó la presencia de una perforación de esófago, cuyo tratamiento fue conservador, presentando una evolución favorable. Un neumomediastino, si bien generalmente se origina por una perforación de la vía aérea (intubación traumática) o por roturas alveolares, hay que recordar que puede originarse también por una perforación esofágica causada por el paso de una sonda nasogástrica u orogástrica.
Recién nacido pretérmino, varón, de 27 semanas de edad gestacional y 850 g de peso que nació por cesárea por presentación podálica. El test de Apgar fue de 7 y 9 al minuto 1 y 5 de vida. Fue intubado al nacer y recibió una dosis de agente tensiactivo exógeno por vía intratraqueal. Al ingreso recibió ventilación mecánica convencional (VMC), y presentó en la radiografía de tórax una imagen reticulonodular difusa con broncogramas aéreos, compatible con síndrome de dificultad respiratoria. Progresivamente, fueron aumentando las necesidades de oxígeno, por lo que recibió una segunda dosis de tensiactivo. A las 14 h de vida, en una radiografía de tórax se observó la presencia de aire extrapulmonar, compatible con un neumomediastino, pero no se apreció neumotórax.
En los días siguientes, el cuadro respiratorio empeoró, apareció un enfisema subcutáneo con aparición de un enfisema intersticial en la radiografía de tórax (fig. 1), y se instauró ventilación de alta frecuencia. Posteriormente, pudo pasar de nuevo a VMC, y fue extubado 24 h después, aplicándose presión positiva continua en la vía aérea por vía nasal (n-CPAP). El neumomediastino persistió sin neumotórax asociado.
Figura 1. Radiografía de tórax y abdomen. Se observa la existencia de un neumomediastino con enfisema intersticial y enfisema subcutáneo en la faringe.
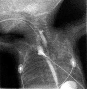
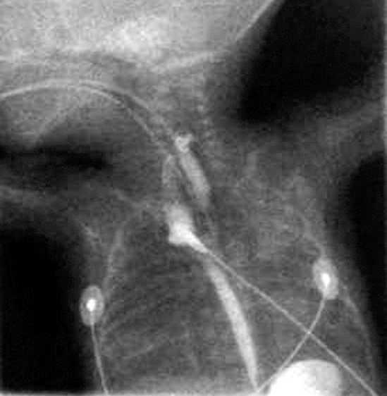
Se realizó un esofagograma que mostró la presencia de una perforación esofágica en la unión proximal del esófago con la faringe, con formación de un seudodivertículo cuyo extremo distal se situó aproximadamente a la altura de la cuarta vértebra dorsal (fig. 2).
Figura 2. Esofagograma con localización ectópica del contraste en la unión proximal del esófago con la faringe.
Se realizó un tratamiento conservador con antibióticos, interrupción de alimentación enteral e instauración de nutrición parenteral. Se colocó una nueva sonda nasogástrica bajo control radiológico para tutorización de la zona de la perforación, por la que 48 h más tarde se reinició la alimentación enteral. Para evitar que la presión de la vía aérea se aplicara al nivel de la perforación, se interrumpió la n-CPAP, y se procedió a la reintubación y reinstauración de VMC. El paciente mejoró y a las 72 h había desaparecido el neumomediastino, por lo que pudo ser definitivamente extubado. Posteriormente, no presentó ninguna complicación. Cinco semanas después se realizó un nuevo esofagograma que confirmó el cierre de la perforación, y se inició de nuevo la alimentación oral.
En el recién nacido, sobre todo en el pretérmino de muy o extremado bajo peso, un neumomediastino puede ser causado por ruptura de la vía aérea, pero por lo general se acompaña de neumotórax, o por rotura de una víscera mediastínica, frecuentemente por una perforación esofágica1,2. Puede presentarse como un cuadro de dificultad respiratoria con aumento de las secreciones orales, dificultad de alimentación e imposibilidad de pasar una sonda nasogástrica, y cabe que simula una atresia de esófago3,4. En la radiografía de tórax puede observarse neumomediastino, neumotórax, enfisema cervical, y confirmarse la localización ectópica del catéter de alimentación en el espacio pleural5.
La perforación esofágica puede producirse por sondas rígidas de polivinilo, utilizadas para aspiración o alimentación enteral, o más raramente durante la intubación, por lesiones debidas a la pala del laringoscopio, por el uso de un estilete o guía rígida o por el mismo tubo endotraqueal6. El lugar más frecuente de la perforación iatrogénica es el tercio superior del esófago. El diagnóstico de confirmación se realiza por medio de un esofagograma7.
De todas formas, cuando hay un neumomediastino espontáneo de causa poco clara, sobre todo si no se acompaña de neumotórax, debe sospecharse siempre una perforación esofágica, aunque las pruebas de imagen no lo confirmen8. El tratamiento conservador es efectivo en la mayoría de casos, y es importante realizar una cobertura antibiótica para evitar la mediastinitis. Sólo debe plantearse un tratamiento quirúrgico en casos muy seleccionados y cuando fracase el tratamiento conservador9. Las complicaciones asociadas más graves son la mediastinitis y la sepsis6.
Es importante que en las unidades neonatales se implanten sistemas de notificación anónima de este u otro tipo de incidentes, para poder evitarlos en el futuro10.
Correspondencia: Dra. A. Rodríguez Serna.
Iturburu, 9, 3.º izquierda. 48003 Bilbao. España.
Correo electrónico: amayars@gmail.com




