Introducción
La otitis media aguda es una infección común en el niño que afecta al menos en una ocasión hasta al 85 % de la población infantil1,2. La mastoiditis, o diseminación de la infección a la estructura trabecular ósea de la apófisis mastoides, que era una complicación relativamente frecuente en la era preantibiótica, ha llegado a ser una eventualidad rara tras la utilización corriente de antibióticos en la práctica pediátrica.
La mastoiditis aguda como complicación de una otitis media aguda es más frecuente en lactantes y niños menores de tres años3,4 y los agentes causales son los mismos que originan la otitis (Streptococcus pneumoniae, Haemophilus influenzae y Moraxella catarrhalis), y son más infrecuentes otros agentes como Streptococcus pyogenes y bacilos gramnegativos5,6.
La mastoiditis crónica se produce por invasión de las celdas mastoideas como consecuencia de la extensión del proceso osteítico que ocurre en toda otitis media crónica. Los agentes causales son los mismos, con una mayor presencia de gramnegativos y anaerobios.
En ambos tipos de mastoiditis, las complicaciones descritas clásicamente, tanto intracraneales como extracraneales, son excepcionales en la actualidad7.
La presentación de un caso de otomastoiditis crónica colesteatomatosa con fistulización espontánea en un niño de 8 años causada por estreptococo de grupo F se considera de interés porque este agente ha sido excepcionalmente implicado en esta patología y por la rareza en la época actual de la fistulización espontánea de la infección.
Observación clínica
Niño de 8 años de origen subsahariano que ingresa por cuadro de otorrea de larga evolución con secreción purulenta en el conducto auditivo externo (CAE) izquierdo y mastoides del mismo lado.
Es llevado al hospital por la familia de acogida el mismo día de su recepción, al observar que presenta supuración ótica y retroauricular izquierda. Se ignoran inicialmente otros datos anamnésicos. Tras las averiguaciones pertinentes, los tutores refieren que la otorrea es de varios años de evolución y la fístula cutánea, desde hace unos 6-8 meses.
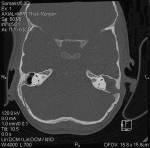
El examen físico revela buen estado general y apirexia. Presenta un aceptable estado de desarrollo y nutrición (peso: 21 kg [P10], talla: 121 cm [P50]). Destaca otorrea izquierda abundante con supuración abierta en la región mastoidea a través de fístula retroauricular (fig. 1), pero no hay signos de tumefacción mastoidea ni adenopatías regionales.
Figura 1.TC craneal: ocupación de todo el oído medio por masa de partes blandas. Las flechas señalan la ruptura de pared mastoidea interna y externa.
Otoscopia: el tímpano izquierdo presenta abundante secreción purulenta en CAE, y se visualiza pólipo inflamatorio sangrante que ocupa todo el conducto. Las amígdalas son normotróficas, con faringe normal. El resto del examen físico no presenta hallazgos.
Los estudios complementarios muestran: hemograma: leucocitos: 8.400/ μl (57 % N, 26 % L, 9 % M, 5 % E, 1 % B, 2 % C). Hematíes: 4.300.000 μl; hemoglobina: 11,7 g/dl; hematócrito:33,1 %; volumen corpuscular medio: 77 fl; hemoglobina corpuscular media: 27 pg; concentración de hemoglobina corpuscular media: 35,3 g/dl. Plaquetas: 334.000/μl. Estudio de coagulación normal. Bioquímica sérica (urea, glucemia, iones): normal. Proteína C reactiva: 0,08 mg/dl.
Tomografía computarizada (TC) craneal sin contraste con cortes en plano axial a nivel de oído medio con posterior reconstrucción en coronal: oído derecho, normal. Oído izquierdo con masa de partes blandas que ocupa caja, ático, antro y mastoides, con erosión de la cadena osicular. Oído interno, normal. Esclerosis mastoidea con defecto óseo por rotura en la pared externa de la mastoides correspondiente a fistulización retroauricular, y en la pared interna con comunicación a fosa posterior (fig. 1).
Cultivo de exudado ótico izquierdo y cultivo de supuración mastoidea: se aísla en ambas muestras Streptococcus betahemolítico de grupo F.
Durante su estancia hospitalaria, es tratado con cefotaxima por vía i.v. y gotas óticas de gentamicina y dexametasona durante 10 días. Posteriormente es sometido a tratamiento quirúrgico.
En la intervención se encontró un gran colesteatoma que ocupaba caja, ático, antro y mastoides con erosión ósea y fistulización a piel, dehiscencia a fosa posterior y varias dehiscencias en tegmen antri. El colesteatoma progresaba en profundidad por la parte superior del bloque laberíntico hasta el conducto semicircular superior y producía, asimismo, una fístula ósea amplia en el conducto semicircular (CS) lateral. Facial dehiscente en toda la segunda porción. Hay ausencia de cadena osicular y membrana timpánica, y aflora el colesteatoma con tejido polipoideo en el CAE. Se realiza antrotomía y mastoidectomía amplia con exéresis de todo el colesteatoma. La evolución posoperatoria fue favorable.
Discusión
La mastoiditis es la infección de la estructura trabecular ósea de la apófisis mastoides originada por una otitis.
La mastoiditis aguda se produce en mastoides bien neumatizadas por la extensión de la infección desde una otitis aguda, y es la forma más frecuente en la infancia, y en especial en niños menores de dos o tres años de edad. Se trata de una inflamación propagada desde la caja del tímpano al sistema neumático del temporal.
La mastoiditis crónica se produce en mastoides compactas por invasión de las celdas óseas mastoideas de tejido de granulación originado en la caja del tímpano por una otitis media crónica con o sin colesteatoma, y es menos frecuente en niños; realmente, más que una complicación es una extensión del proceso osteítico que ocurre en las otitis medias crónicas.
En los casos de otitis media crónica colesteatomatosa, el colesteatoma es generalmente el resultado de la migración de epitelio queratinizado del CAE a través de una perforación timpánica marginal en la pars flaccida, con crecimiento del mismo en la cavidad timpánica, destrucción de la cadena osicular y de las paredes del oído medio con posibilidad de invasión de estructuras vecinas.
En ambos tipos de mastoiditis se produce una osteítis con destrucción de la estructura trabecular y formación de empiema; la colección puede drenar espontáneamente a través del aditus ad antrum y de la perforación timpánica o a través de una mastoidectomía terapéutica. En ausencia de resolución, la cortical mastoidea termina por destruirse, con drenaje de la colección purulenta hacia el exterior o hacia la cavidad craneal.
La exteriorización produce un absceso subperióstico retroauricular que puede drenar con fistulización a nivel de la propia mastoides, de la pared posterior del CAE (absceso de Gellé), extenderse a las celdas de la escama del temporal y región cigomática (absceso cigomático) o a las fibras musculares del esternocleidomastoideo (absceso de Bezold). La interiorización puede originar complicaciones endocraneanas como laberintitis, petrositis, trombosis del seno lateral o absceso subdural8,9.
Al comienzo del siglo xx, en la era preantibiótica, la mastoiditis aguda estaba presente en el 50 % de las otitis medias; de ellas, el 20 % se presentaba con absceso retroauricular subperióstico, y de este subgrupo, el 2,3 % desarrollaba complicaciones intracraneales10. La introducción del tratamiento antibiótico ha reducido notablemente la incidencia de mastoiditis aguda; la tasa comunicada en los últimos 20 años es del 0,24 % de las otitis, aunque la cifra de complicaciones intracraneales varía entre el 4 y el 16 % según los autores8,10, pero en cualquier caso es excepcional la fistulización exterior espontánea.
Los patógenos bacterianos de la mastoiditis son los mismos que originan la otitis. En la primera mitad del siglo xx, el Streptococcus pyogenes (o Streptococcus betahemolítico de grupo A) era el agente causal más frecuente de otitis y mastoiditis, especialmente en los casos complicativos de escarlatina y sarampión. Sin embargo, desde la década de 1950, ha sido reemplazado por Streptococcus pneumoniae, Haemophilus influenzae y Moraxella catarrhalis. Actualmente ocupa el cuarto lugar entre los patógenos causantes de otomastoiditis, con menos del 10 % de los casos11,12.
Las características de la otitis por Streptococcus pyogenes son diferentes de las originadas por otros patógenos y han sido bien establecidas12,13. La otitis estreptocócica afecta en general a niños de más edad, suele ser unilateral, muchas veces afebril y con menos frecuencia se asocia a infección del tracto respiratorio superior. En las series revisadas, los episodios de otitis estreptocócica se asocian menos frecuentemente con tratamiento antibiótico en los meses previos y con otitis anteriores. Ello sugiere que el estreptococo puede ser localmente más agresivo que otros patógenos y que muchas veces no requiere la existencia de una infección viral previa o concomitante.
En el presente caso, el agente aislado tanto en exudado ótico como en el foco supurativo mastoideo fue Streptococcus betahemolítico de grupo F. Este germen ha sido implicado como causante de infecciones orales y maxilofaciales14-16, meningitis14, bacteriemia14,16,17, miocarditis15 y enfermedad inflamatoria pélvica18. En la revisión efectuada de la literatura médica tan sólo se ha hallado una referencia a este agente como causante excepcional de absceso cerebral secundario a patología ótica en regiones en desarrollo19, lo que constituye otra de las razones por las cuales se ha considerado de interés su descripción.
Correspondencia: Dr. F. Álvarez Caro.
Departamento de Pediatría. Hospital Universitario Central de Asturias.
Celestino Villamil, s/n. 33006 Oviedo. España.
Correo electrónico: franciscoalvarez130@msn.com
Recibido en noviembre de 2006.
Aceptado para su publicación en julio de 2007.



