Niña de 10 años, que presentaba opresión torácica de 24 h de evolución y tos persistente. Afebril. Antecedentes de broncoespasmos. No traumatismo previo. Destacaba enfisema subcutáneo con crepitación a la palpación en el área supraclavicular derecha y la zona preesternal. No distrés. Buenas saturaciones de oxígeno. Auscultación compatible con broncoespasmo leve, con espiración alargada y sibilancias. Auscultación cardiaca rítmica, no tonos apagados ni crujido pericárdico (signo de Hamman ausente).
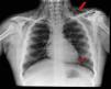
La radiografía de tórax demostró enfisema subcutáneo y neumomediastino (fig. 1). Al completar el estudio con TAC torácica para descartar alteraciones parenquimatosas, se detectó aire en el canal raquídeo limitado al espacio epidural (fig. 2).
Durante el ingreso, la paciente presentó buena evolución del cuadro respiratorio sin requerir oxígeno. Neurológicamente asintomática en todo momento. Tras 4 días de reposo se resolvieron los hallazgos radiológicos.
El neumomediastino espontáneo es raro en la población general (1/33.000 casos) y aún más en pediatría. Excepcional es su asociación con neumorraquis1. La neumatosis espinal es generalmente secundaria a traumatismos y procedimientos invasivos, aunque otra causa poco frecuente es el asma. Cualquier patología que origine un incremento de gradiente de presión alveolar transmural puede causar neumomediastino con posterior escape de aire a través del espacio paravertebral2,3. Destacan las crisis asmáticas, incluso leves como nuestro caso. Siempre que el aire se limite al espacio epidural y no al subaracnoideo, el pronóstico es excelente sin síntomas neurológicos y reabsorción completa. Se debe evitar un innecesario exceso de medidas diagnósticas (estudios endoscópicos o radiológicos con contrastes orales) y terapéuticas, que prolonguen el ingreso.




