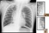
Niña de 3 años con antecedentes de broncoespasmos severos, que acude a urgencias por crisis asmática grave. Presenta regular estado general, gran trabajo respiratorio, sibilancias audibles sin fonendo e hipoventilación generalizada. Se administra oxigenoterapia, salbutamol, bromuro de ipratropio, corticoterapia oral e intravenosa (iv) y sulfato de magnesio iv. Se realiza una radiografía de tórax (fig. 1). Debido a la no mejoría ingresa en la Unidad de Cuidados Intensivos Pediátricos añadiéndose oxigenoterapia de alto flujo, seguida de ventilación no invasiva y antibioterapia iv. Finalmente, requiere el inicio de ventilación mecánica invasiva para su estabilización.
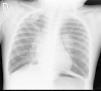
Dada la mala respuesta al tratamiento, se revisa el diagnóstico de presunción. Así tras analizar la radiografía ya citada (fig. 2) se indica fibrobroncoscopia, primero flexible y posteriormente rígida, en la que se extraen 2 piedras de 4mm de diámetro en ambos lóbulos inferiores.
La aspiración de cuerpo extraño (ACE) es una patología frecuente y potencialmente grave (mortalidad del 0,9%)1. Su diagnóstico es complejo, sobre todo si no se refiere un episodio de aspiración o existe una enfermedad de base que asocie clínica respiratoria2. La localización habitual es el bronquio derecho, siendo excepcional la bilateralidad (2% de los casos), que origina en ocasiones una auscultación e imagen radiológica simétricas, lo que dificulta su identificación. Se considerará así la posibilidad de ACE en casos en los que a pesar de un tratamiento óptimo no se objetiva la respuesta esperada. Será necesario el uso de fibrobroncoscopia para identificar el cuerpo extraño y liberar la vía aérea3.




