Introducción
La nefronía focal aguda bacteriana (NA) es una infección bacteriana aguda localizada en el riñón. Se presenta como una masa inflamatoria sin licuefacción 1. Es un estado intermedio entre la pielonefritis aguda (PNA) no complicada y el absceso renal 1-5.
El germen más frecuentemente aislado como responsable de la lesión es Escherichia coli. La patogénesis de la NA es por vía ascendente a través del tracto urinario en los niños, sobre todo si existe reflujo vesicoureteral (RVU), pudiendo ser también por vía hematógena 1,5.
El hallazgo ecográfico característico de la NA es la lesión focal, hipoecoica, de márgenes irregulares y pobremente definidos 2,5, asociado o no a nefromegalia significativa. La tomografía computarizada (TC) es la prueba más sensible y específica para el diagnóstico de NA. Muestra áreas mal definidas, con forma de cuña, sin realce tras la administración de contraste 2,5. Su uso se reserva para casos en los que la ecografía es dudosa y no hay respuesta adecuada al tratamiento antibiótico 5.
Revisamos los ingresos por PNA y presentamos nuestra experiencia de 4 casos de NA.
Pacientes y resultados
En las ecografías renales realizadas rutinariamente a 77 pacientes ingresados por PNA, se detectó aumento del tamaño renal sugerente de inflamación aguda con zonas focales hipoecoicas sugestivas de NA en 2 pacientes. Detectamos alteraciones ecográficas similares en un paciente con un síndrome febril sin foco con dolor abdominal y, en otro, con una recaída de una pielonefritis. Exponemos a continuación el diagnóstico, tratamiento, estudio del tracto urinario y evolución de los pacientes afectados de NA.
Caso 1
Niño de 20 días de vida ingresa por sospecha de pielonefritis en el seno de un síndrome febril sin foco. Se inicia tratamiento con cefotaxima y ampicilina. Se realiza ecografía renal, objetivando cercano al polo inferior una zona mal definida de 10 × 12 mm, hipoecogénica, que en el estudio Doppler muestra pobreza de vasos en relación al resto del parénquima, compatible con zona de nefronía focal. A las 48 h se confirma crecimiento de más de 100.000 colonias de Enterobacter cloacae. El paciente está afebril a las 24 h del ingreso. Se completan 14 días de tratamiento intravenoso y 7 días de tratamiento oral. La resolución de la imagen ecográfica fue completa. La cistoureterografía miccional seriada (CUMS) no demostró RVU. Los padres no han querido realizar la gammagrafía renal. El último control ecográfico a los 2 años detecta riñones de tamaño normal y sin cicatrices ecográficas.
Caso 2
Niña de 12 meses que ingresa por sospecha de pielonefritis en el estudio de un síndrome febril sin foco de 7 días de evolución. Se inicia tratamiento intravenoso con cefuroxima, sustituyéndolo posteriormente por cefazolina al conocer el resultado del urocultivo con más de 100.000 UFC/l de Klebsiella pneumoniae sensible a todo. Afebril a las 48 h del ingreso. En la ecografía renal se apreciaba en el riñón izquierdo (RI) una hidronefrosis grados I-II y un área focal corticomedular ecogénica en el polo superior, sugerente de nefritis focal. Se mantuvo 7 días de tratamiento parenteral y 14 más por vía oral. La CUMS reveló RVU bilateral, grado II al riñón derecho (RD) y grado III RI, y las ecografías posteriores muestran una imagen sugerente de cicatriz en el polo superior del RI, confirmando por gammagrafía-DMSA, cicatrices grado II de Goldraich en RI y grado I en RD 6.
Caso 3
Niña de 4 años y 11 meses que presenta fiebre alta de unas 14 h de evolución con polaquiuria, dolor lumbar y pérdida de apetito. Había sido dada de alta hacia 14 días por cuadro de PNA por E. coli con ecografía renal normal. Ingresa con cefotaxima intravenosa. Urocultivo con crecimiento de más de 100.000 colonias de E. coli con el mismo antibiograma. En control ecográfico se objetiva en el polo superior del RI una zona hipoecoica que podría corresponder con infección focal y un RD aumentado de tamaño. Persiste la fiebre al cuarto día, el urocultivo intratratamiento es estéril y se ha normalizado el hemograma pero la proteína C reactiva (PCR) está muy elevada. Ante la evolución y los hallazgos de la ecografía se realiza TC renal: se detectan en RD, que está aumentado de tamaño, múltiples focos de nefritis; sin embargo en el RI no se confirma la presencia de nefronía ni absceso. Mantiene fiebre durante 7 días. Recibe 14 días de antibiótico intravenoso más 7 por vía oral. La CUMS posterior descartó la existencia de RVU, pero la gammagrafía reveló nefropatía cicatricial en RI grado I de Goldraich.
Caso 4
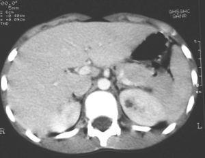
Paciente de 12 años que inicia con dolor cólico en región subcostal y flanco izquierdo; tras 24 h de evolución, presenta fiebre de 38 °C sin otra sintomatología. En la ecografía abdominal se objetiva una lesión hipoecogénica en tercio inferior de RI que correspondía a una NA (fig. 1). Se inicia tratamiento con cefotaxima. El paciente continúa febril, con persistencia del dolor y elevación de los reactantes de fase aguda, todos los urocultivos y hemocultivos son negativos. Se añade cloxacilina al cuarto día del ingreso, al objetivar una lesión cutánea en el maléolo interno izquierdo, con aspecto séptico, secundaria a una epidermólisis ampollosa de base. Se detecta al sexto día en la auscultación pulmonar crepitantes en la base izquierda. Pese a haberse realizado una radiografía que fue normal el día del ingreso, se realiza un control en el que se objetiva una condensación retrocardíaca izquierda. Se replantea el diagnóstico y se realiza una TC en el que se objetiva imagen compatible con nefronía de 2 cm en el polo inferior del RI y un absceso de 1 cm en el polo superior (fig. 2). Mantiene fiebre durante 7 días. Se sustituye la cefotaxima por ceftazidima con la que completa 10 días de tratamiento y se añade eritromicina durante 7 días y completa 21 días con cloxacilina oral. La ecografía se normaliza a los 26 días. La gammagrafía a los 6 meses de la infección descarta cicatrices renales.
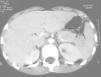
Figura 1. Ecografía renal por fiebre sin foco con dolor abdominal: imagen sugestiva de nefronía, consistente en área hipoecogénica en labio posterior.
Figura 2.TC abdominal con contraste intravenoso. Se observa un área hipocaptante de 1 cm de diámetro localizada en polo superior de riñón izquierdo, compatible con absceso.
Discusión
La NA es una entidad poco frecuente, tanto en pacientes pediátricos, como en adultos. Existen pocas publicaciones en la literatura especializada y el número de casos de las series es escaso 2,3,7-9.
La realización de ecografía renal precoz en la PNA, según las recomendaciones de la American Academy of Pediatrics (AAP) 10, permitió diagnosticar a dos de nuestros pacientes.
La mayor serie pediátrica recoge 30 pacientes diagnosticados de NA de un total de 564 niños hospitalizados diagnosticados de PNA. Estudia la efectividad de los hallazgos ecográficos en el diagnóstico de NA, utilizando la TC como prueba definitiva. Proponen realizar la TC cuando el paciente muestre: aumento del tamaño renal o una masa focal en la ecografía, o una pobre respuesta tras 72 h del tratamiento antibiótico. Nosotros, coincidiendo con el criterio de Klar y Uehlingy 3,4, realizamos una TC ante la evolución tórpida de dos de nuestros pacientes, confirmando el diagnóstico en los dos y detectando un pequeño absceso en uno de ellos.
La positividad de los cultivos de nuestra serie (3 de 4) es alta, al igual que la descrita en la serie de Klar, en 13 de 16, difiriendo, sin embargo, en el tipo de germen, a pesar del bajo número de casos, sería esperable una mayor presencia de E. coli. Vachvanichsurg et al 11 comunican tres casos todos con negatividad de los cultivo, uno de ellos era secundario a herida abierta, pudiéndose sospechar, al igual que nuestro paciente afectado de epidermólisis, una diseminación hematógena.
El tratamiento en nuestros pacientes, por vía parenteral, osciló entre 7 y 14 días, completando 21 días, con excepción del paciente con absceso renal que se trató 4 semanas. La respuesta al tratamiento antibiótico fue igual de favorable que la descrita en la literatura médica 3,11,12.
El RVU se diagnosticó en 1 de 3 pacientes, y cicatrices renales en 2 de 3 pacientes, coincidiendo estos hallazgos con las alteraciones asociadas a la NA que se describen en la literatura especializada 1,2,4,5.
La NA es una infección del parénquima renal, cuya clínica puede ser muy insidiosa y las pruebas de laboratorio muy dispares. Al ser el diagnóstico radiológico, la ecografía en fase aguda es imprescindible y puede ser necesaria la realización de una TC para que no pase desapercibido un absceso cortical. El seguimiento requiere controles ecográficos y en ocasiones tomográficos. El pronóstico morfológico y funcional es favorable, en general, si el tratamiento es el adecuado.
Correspondencia: Dra. M. Espino Hernández.
Área Pediatría y Neonatología. Fundación Hospital Alcorcón.
Budapest, 1. 28299 Alcorcón. Madrid. España.
Correo electrónico: mespino@fhalcorcon.es
Recibido en mayo de 2006.
Aceptado para su publicación en agosto de 2006.




