En el 1-10% de las tuberculosis se produce una diseminación hematógena al sistema nervioso central (SNC)1,2. El paso de micobacterias al espacio subaracnoideo causa una meningitis de elevada mortalidad (15-40%) cuyos principales factores pronósticos son el diagnóstico precoz y el inicio temprano del tratamiento2. En la meningitis tuberculosa con hidrocefalia asociada, el diagnóstico se puede alcanzar mediante el análisis del líquido cefalorraquídeo (LCR) obtenido por punción lumbar o por un drenaje ventricular. Sin embargo, diferencias en la composición del LCR ventricular y lumbar pueden dificultar el diagnóstico3-6.
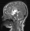
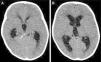
Se presenta el caso de un niño de 16 meses nacido en España, atendido en urgencias por somnolencia desde hace 8 h en el contexto de fiebre y tos de 5 días de evolución. El paciente había presentado 3 meses antes una adenitis cervical con mala respuesta a la antibioterapia, seguida de tos persistente en accesos, sin otros antecedentes de interés. En la exploración física destaca una disminución del nivel de consciencia (escala de coma de Glasgow, 12 puntos), alteración de la mirada conjugada y signos meníngeos positivos. La analítica de sangre presenta 11,4×103/μl leucocitos (39,1% linfocitos; 17,8% monocitos; 41,8% segmentados) y PCR 5,3mg/dl, con resto de bioquímica normal. La tomografía computarizada craneal muestra hidrocefalia tricameral no comunicante, con una imagen hiperdensa obstruyendo el acueducto de Silvio, compatible con gliosis reactiva secundaria a exudado inflamatorio (fig. 1). Ante el cuadro de hipertensión intracraneal con deterioro neurológico progresivo, se coloca de urgencia un drenaje ventricular externo. El LCR ventricular presenta una bioquímica normal (glucosa 83mg/dl, proteínas 20mg/dl), sin leucocitos ni gérmenes en la tinción de Gram. Pese a ello, dado el antecedente de adenoflemón de curso tórpido, la meningitis con hidrocefalia aguda y la linfomonocitosis se sospecha una meningitis tuberculosa y se inicia tratamiento empírico con vancomicina, cefotaxima y 4 tuberculostáticos (isoniazida, rifampicina, pirazinamida y etambutol), así como dexametasona. Tras la intervención se recoge muestra de secreciones respiratorias por tubo endotraqueal, con radiografía de tórax normal pero PCR positiva para micobacterias al 4.° día de ingreso. El diagnóstico de meningitis tuberculosa se confirma posteriormente mediante PCR de LCR a los 7 días, con Ziehl-Neelsen y cultivos para micobacterias negativos, tanto en secreciones respiratorias como en LCR. La resonancia magnética de control muestra una disminución del tamaño ventricular y la estenosis del extremo distal del acueducto de Silvio (fig. 2). Al tercer día se coloca una derivación ventrículo-peritoneal, completando 2 meses de tratamiento con 4 fármacos y 12 meses de isoniacida y rifampicina, con controles posteriores de RM con resolución de la hidrocefalia y válvula funcionante, persistiendo signos de flujo hiperdinámico a nivel del acueducto de Silvio. En la actualidad presenta un desarrollo psicomotor normal para la edad.
La meningitis tuberculosa puede manifestarse con hidrocefalia aguda que requiere la colocación urgente de un drenaje ventricular externo3,7. En estos casos, el estudio del LCR se realiza a partir del líquido obtenido de los ventrículos cerebrales. La hidrocefalia en la meningitis tuberculosa puede ser comunicante, en la mayoría de los pacientes, o no comunicante, siendo la principal causa la presencia de exudado inflamatorio ocupando el espacio subaracnoideo o el sistema ventricular, respectivamente7.
Existe una discrepancia en la composición del LCR lumbar y ventricular, tanto en condiciones fisiológicas como en el contexto de una infección del SNC. En condiciones normales, hay un gradiente craneocaudal ascendente de proteínas en el LCR debido a la sucesiva adición de proteínas desde los ventrículos hasta el espacio subaracnoideo. Una infección aumenta la permeabilidad de la barrera hematoencefálica y reduce el recambio de LCR incrementando este gradiente. La glucosa se distribuye homogéneamente en el LCR ventricular y lumbar, pero en una infección del SNC se produce un gradiente craneocaudal descendente debido al consumo de glucosa por bacterias y leucocitos en el espacio subaracnoideo6. En cuanto al recuento celular, existe una distribución inconstante en los diferentes compartimentos del LCR6, aunque en el contexto de infecciones se han descrito casos que sugieren un gradiente ascendente craneocaudal en el recuento de leucocitos3-5.
Las diferencias entre el LCR ventricular y lumbar pueden explicarse además por la compartimentalización de los espacios ventriculares y subaracnoideos secundaria a un bloqueo inflamatorio del flujo de LCR8. Aunque el diagnóstico de la meningitis bacteriana se basa en el estudio bioquímico y microbiológico del LCR, la presencia de LCR normal no excluye el diagnóstico de meningitis. Algunas series describen hasta un 10% de meningitis con LCR normal, dependiendo del tiempo de evolución y la precocidad de la punción lumbar9,10.
En resumen, está descrita una discrepancia bioquímica y citológica del LCR a nivel ventricular y lumbar, pudiendo ser el primero normal aun en presencia de meningitis. Dada su alta morbimortalidad, en caso de sospecha clínica de meningitis tuberculosa se debe iniciar el tratamiento empírico, comprobando el resultado si es preciso con una punción lumbar.




