La bronquiolitis obliterante (BO) posinfecciosa es una forma infrecuente de enfermedad pulmonar crónica obstructiva debida a una agresión severa de las vías aéreas inferiores, resultando una oclusión parcial o total del lumen de los bronquiolos terminales1. En la edad pediátrica ocurre más frecuentemente después de una infección respiratoria baja grave2. Para el diagnóstico deben ser descartadas otras condiciones crónicas, como fibrosis quística, asma grave, displasia broncopulmonar, inmunodeficiencias, discinesia ciliar primaria, deficiencia de alfa 1-antitripsina (D-A1AT) y cardiopatía congénita3.
La D-A1AT es una de las enfermedades hereditarias graves más comunes en todo el mundo, afectando a todos los grupos raciales4, y condiciona un riesgo elevado de hepatopatía en niños5. Los síntomas respiratorios se desarrollan normalmente en la edad adulta; sin embargo, se han comunicado algunos casos de niños con enfermedad pulmonar y de adolescentes asintomáticos con inflamación precoz y persistente de las vías aéreas inducida por infecciones6. En niños, la enfermedad pulmonar está comúnmente asociada a la enfermedad hepática. El alelo más común es el M7. En Portugal, el alelo S y el fenotipo MS son los más frecuentes en la D-A1AT4. La gran mayoría de los individuos con D-A1AT severa (< 50-80mg/dl) son homocigóticos para la variante Z (PiZZ), estando esta deficiencia asociada a enfisema panlobular8. Los heterocigóticos para el alelo Z (más frecuentemente PiMZ) producen niveles séricos inferiores que el PiM, no siendo un fenotipo de alto riesgo6.
El tratamiento de estas 2 entidades es de apoyo, con el objetivo de preservar la función pulmonar, e incluye evitar agentes irritantes respiratorios, vacunación contra influenza y contra neumococo, broncodilatadores y corticoides inhalados, fisioterapia respiratoria y tratamiento precoz de las infecciones respiratorias agudas1,7,9. Los macrólidos han sido utilizados como tratamiento de mantenimiento en la BO por sus propiedades antiinflamatorias reductoras de mediadores de la inflamación1. El trasplante pulmonar es una opción quirúrgica en la enfermedad pulmonar avanzada, con buenos resultados funcionales y sobrevida media en 5 años de aproximadamente el 50%10.
Caso 1 y 2: Hermanos gemelos varones que, sin antecedentes previos, son hospitalizados a los 11 meses por bronquiolitis aguda por adenovirus, con dificultad respiratoria moderada, sin necesidad de oxigenoterapia y evolución favorable. A lo largo del seguimiento clínico, presentan productiva, sibilancias y crepitantes persistentes, por lo que se realizó una tomografía computarizada de alta resolución (TCAR) pulmonar, que demostró la existencia de áreas con patrón en mosaico de ventilación/perfusión, sobretodo en los lóbulos inferiores, compatible con BO. En el caso 2 fueron también observadas bronquiectasias y bronquiolectasias en los segmentos apical, anterior y posterior del lóbulo superior derecho, y en el segmento inferior de la língula. En la evaluación diagnóstica, fue verificada la D-A1AT (71,4mg/dl y 68,8mg/dl, respectivamente) fenotipo PiMZ, sin afectación hepática. Se instituyeron medidas de apoyo, sin embargo, presentaron exacerbaciones respiratorias frecuentes con necesidad de antibioterapia, broncodilatadores, fisioterapia respiratoria y tratamiento antiinflamatorio de mantenimiento con corticoides inhalados, pero sin repercusión en la función pulmonar. Actualmente, con 6 años, presentan buena evolución estaturo-ponderal.
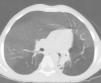
Caso 3: Varón sano hasta los 6 meses de edad, cuando fue hospitalizado por bronquiolitis aguda grave y gastroenteritis, sin identificación de agente etiológico. Nuevamente hospitalizado a los 7 meses por neumonía con atelectasia del ápex izquierdo. Constatada D-A1AT (91,9g/dl) fenotipo PiZZ, sin afectación hepática. Desde entonces, presenta infecciones respiratorias frecuentes con sibilancias. La TC pulmonar (fig. 1) realizada a los 10 años reveló una evidente reducción del volumen del hemitórax izquierdo, hiperinflación compensatoria del pulmón derecho con herniación, múltiples bronquiectasias y enfisema panlobular. A los 13 años fue hospitalizado por dificultad respiratoria grave e hemoptisis. Se realizó una TCAR pulmonar (fig. 2) que mantenía los hallazgos ya descritos y se observaban un patrón en mosaico y micronodularidades centrilobulares, alteraciones compatibles con BO. Presentó severo deterioro de la función pulmonar, con alteración ventilatoria obstructiva muy grave (volumen espiratorio máximo en el primer segundo: 31,6%). Fue controlado en consulta hasta los 18 años, con estabilización clínica, y en el examen físico presenta deformidad torácica y dedos en palillo de tambor. Actualmente, en espera de trasplante pulmonar. Realiza fisioterapia respiratoria, terapia inhaladora diaria con broncodilatador y corticoides, y tratamiento de mantenimiento con azitromicina.
Aunque no se puede establecer una relación causa-efecto entre la D-A1AT y la BO, ya que no existen relatos semejantes en la literatura, se presentan estos casos por la posibilidad de que la presentación concomitante pueda tener una relevancia clínica, bien en la determinación de aparición de la BO, aun sin el antecedente de una infección respiratoria grave, o bien en una presentación más precoz de lo habitual de una D-A1AT. Podría ser de interés realizar una revisión amplia que clarifique la relevancia clínica de esta asociación y la importancia del grado de D-A1AT en la misma.




