Los tumores pulmonares primarios son poco frecuentes en la infancia. Dentro de estos, los endobronquiales son todavía menos frecuentes y entre los benignos, los pseudotumores inflamatorios y los hamartomas son los de mayor incidencia.
Se presenta el caso de una niña de 2 años y medio de edad afecta de un hamartoma condromesenquimal endobronquial izquierdo con obstrucción del 90% de la luz bronquial. Se realizó resección completa de la masa endobronquial mediante broncoscopio rígido y aplicación de mitomicina C tópica. Desde la resección del tumor y tras un periodo de seguimiento de 12 meses, la paciente ha presentado una evolución favorable con desaparición inmediata de la clínica respiratoria y con fibrobroncoscopias sucesivas sin objetivar tumor residual.
Primary lung tumours are uncommon in childhood. Among these tumours, endobronchial masses are even less common and, among benign tumours, inflammatory pseudotumours and hamartomas have the highest incidence in children.
We present the case of a 2.5-year-old girl with a left endobronchial chondromesenchymal hamartoma with obstruction of 90% of the bronchial lumen. Complete resection of the endobronchial mass was performed by rigid bronchoscopy and application of topical mitomycin C. After tumour resection and a 12-month follow-up, the patient has shown a favourable outcome with immediate disappearance of respiratory symptoms. Successive fibreoptic bronchoscopies have shown no residual tumour.
Las lesiones obstructivas endobronquiales cursan con tos persistente, hemoptisis, sibilancias, atelectasias y/o neumonías recurrentes. El diagnóstico diferencial incluye la aspiración de cuerpo extraño, asma, tejido tiroideo ectópico, quistes mucosos, tumores pulmonares primarios y secundarios1.
Los tumores pulmonares primarios son poco frecuentes en la infancia y los malignos superan a los primarios en una proporción aproximada de 3:12. Dentro de los tumores pulmonares primarios, los endobronquiales son todavía menos frecuentes y entre los benignos, los pseudotumores inflamatorios y los hamartomas son los de mayor incidencia, seguidos de los hemangiomas, papilomas, leiomiomas y tumores glandulares mucosos3.
Se presenta el caso de una niña de 2 años y medio de edad afecta de un hamartoma condromesenquimal endobronquial izquierdo que obstruía el 90% de la luz bronquial.
Caso clínicoNiña de 2 años y medio de edad, remitida a consultas externas de Neumología Infantil por sibilancias y neumonías recurrentes desde los 18 meses de edad. Se trata de un caso de adopción transnacional (China) a los 15 meses, sin antecedentes perinatales conocidos. Ingresó a los 18 meses en su país de origen por un cuadro compatible con neumonía adquirida en la comunidad, de localización basal izquierda, tratada con cefotaxima intravenosa, con buena respuesta. Posteriormente, presentó episodios respiratorios recurrentes que cursaban con fiebre, tos seca accesual, sibilancias y atelectasias segmentarias en lóbulo inferior izquierdo, tratados con amoxicilina-clavulánico vía oral y en ocasiones salbutamol inhalado (administrado con cartucho presurizado y cámara espaciadora pediátrica) con buena respuesta en los primeros meses, requiriendo en los últimos tratamiento de mantenimiento con formoterol y budesonida inhalada, sin mejoría clínica aparente.
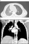
A la exploración física presentaba estertores crepitantes en base pulmonar izquierda sin otros hallazgos patológicos. Se realizaron hemograma, bioquímica, gasometría venosa e IgE, que fueron normales. PPD negativo. La función pulmonar estudiada mediante análisis de asa flujo-volumen a respiración corriente (porcentaje de tiempo espiratorio hasta el pico flujo [Tptef/Te=24,7%] y morfología) fue normal. Así mismo, la fracción exhalada de óxido nítrico (FENO), medida on-line a respiraciones múltiples, también fue normal (7,5ppb a flujo de 200ml/s; coeficiente de variabilidad 10%). La radiografía de tórax mostraba una atelectasia retrocardiaca e hiperinsuflación discreta del hemitórax izquierdo y en el TC pulmonar de alta resolución se objetivó una estenosis de bronquio principal izquierdo en toda su extensión con pulmón izquierdo hiperlucente (fig. 1). Se realizó fibrobroncoscopia flexible que confirmó la presencia de una neoformación con base posteriomedial pediculada, lisa y muy vascularizada en tercio proximal de bronquio principal izquierdo con oclusión del 90% de la luz bronquial. Posteriormente, se realizó resección completa de la masa endobronquial mediante broncoscopio rígido y aplicación de mitomicina C tópica (fig. 2). El estudio anatomopatológico de la masa confirmó el diagnóstico de hamartoma condromesenquimal endobronquial (fig. 3). Actualmente, tras un periodo de seguimiento de 12 meses desde la resección del tumor, la paciente ha presentado una evolución favorable con resolución de la clínica y fibrobroncoscopias sucesivas sin tumor residual.
Anatomía patológica. A) Imagen panorámica de la muestra histopatológica. B) Detalle de la tumoración endobronquial. Fragmentos de tejido fibrohialino azul alcian positivo (mucopolisacáridos) con áreas de diferenciación cartilaginosa y otras zonas de tejido conjuntivo laxo. Compatible con hamartoma condromesenquimal endobronquial.
Los tumores endobronquiales son extremadamente infrecuentes en la infancia y deben incluirse en el diagnóstico diferencial de niños y lactantes con sintomatología respiratoria, principalmente sibilancias recurrentes que no responden al tratamiento habitual. El 75% de los tumores de origen pulmonar son malignos y entre ellos el tumor carcinoide es el más frecuente (40%) seguido del carcinoma broncogénico (17%) y del blastoma pleuropulmonar (15%). Dentro de los tumores pulmonares primarios benignos el granuloma de células plasmáticas es el más frecuente (52%) seguido de los hamartomas (24%) que pueden ser parenquimatosos o endobronquiales4.
Histopatológicamente, el cartílago es una de las estructuras predominantes más frecuentes de los hamartomas aunque también se describen tejido graso, óseo, fibroso o muscular desorganizado. En general los hamartomas son masas lobuladas, encapsuladas, solitarias, de crecimiento lento y de localización parenquimatosa, con un pico de incidencia entre la cuarta y la sexta década de la vida. Clásicamente, las calcificaciones en forma de palomita de maíz en el TC torácico o en la radiografía de tórax sugerían el diagnóstico de los hamartomas parenquimatosos2. A pesar de que son en su mayoría lesiones solitarias, se ha descrito en la literatura la presencia de un hamartoma condroide endobronquial múltiple en una niña de 5 años5.
Desde la década de los 90 se han publicado en la literatura tres pacientes afectos de hamartoma endobronquial, una niña de 7 años6, de 10 años7 y una lactante de 8 meses de edad1. Dado el carácter extraordinario de este tipo de patología, nos parece relevante la aportación de esta paciente de 2 años y medio afecta de un hamartoma condromesenquimal endobronquial con clínica obstructiva recurrente por estenosis del 90% de la luz del bronquio principal izquierdo.
El diagnóstico de los tumores pulmonares primarios en la infancia es con frecuencia difícil dado que la clínica y la radiología son habitualmente poco específicas. Dado su lento crecimiento, los hamartomas pueden ser asintomáticos en adultos durante largos periodos de tiempo y su malignización se considera infrecuente. Por tanto, la resección quirúrgica suele indicarse únicamente si son sintomáticos o si se sospecha la malignización del mismo. En la infancia sin embargo, tanto los hamartomas periféricos como centrales son habitualmente sintomáticos y suelen requerir resección quirúrgica1.
Clásicamente, el tratamiento de los tumores endobronquiales ha sido la toracotomía con broncotomía, lobectomía o neumonectomía. Sin embargo, actualmente la resección quirúrgica conservadora y/o la ablación con láser mediante fibrobroncoscopio flexible y/o rígido son en general el tratamiento de elección de la mayoría de los tumores endobronquiales benignos8–10. El pronóstico de la mayoría de los tumores pulmonares primarios benignos es bueno con una tasa de mortalidad de 8,7% y de hasta el 30% en el caso de los tumores primarios malignos2. En nuestro caso, la evolución ha sido favorable con desaparición inmediata de la clínica respiratoria y ausencia de tumor residual tras resección completa de la masa endobronquial mediante fibrobroncoscopio rígido.
En resumen, debemos insistir en que a pesar de tratarse de lesiones infrecuentes en la infancia, los tumores endobronquiales también están incluidos en el diagnóstico diferencial de niños o lactantes con sintomatología respiratoria obstructiva recurrente que no responde al tratamiento habitual. El diagnóstico temprano permite evitar tratamientos innecesarios y la resección quirúrgica conservadora del tumor y/o la ablación con láser mediante fibrobroncoscopio. Es necesario un seguimiento evolutivo estrecho de los pacientes, aunque el pronóstico de los tumores pulmonares primarios endobronquiales es bueno.
Conflicto de interesesLos autores declaran no tener ningún conflicto de intereses.





