Sr. Editor:
La exostosis múltiple, también denominada osteocondromatosis hereditaria, es una enfermedad poco frecuente de herencia autosómica dominante. Se caracteriza por el crecimiento anómalo de osteocondromas benignos especialmente en las metáfisis de huesos largos, que pueden provocar acortamiento o deformidades. Suele diagnosticarse en la primera década de la vida. Es una enfermedad benigna que requiere controles clínicos y radiológicos periódicos debido a las posibles deformidades y compresiones y a su posible malignización en edad adulta.
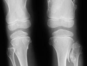
Se presenta el caso de un niño de 6 años que acude a la consulta por dolor en la rodilla izquierda de 2 semanas de evolución que se ha incrementado en los últimos días, y se acompaña en ocasiones de cojera debido al dolor; no ha presentado fiebre ni otros síntomas y está realizando una actividad normal. A la exploración destaca dolor a la palpación de toda la zona interna de rodilla izquierda, leve protrusión del cóndilo femoral interno y discreta limitación por dolor a la extensión completa de la rodilla. El resto de exploración por aparatos es normal. Se trata de un niño, por lo demás sano, que ha seguido los controles de salud e inmunizaciones habituales con antecedentes personales de adenoidectomía y drenajes transtimpánicos a los 2 años, varicela a los 3 años y 3 episodios de bronquitis obstructiva a los 5 años. Se realiza estudio radiológico de serie esquelética que pone de manifiesto múltiples exostosis en metáfisis de huesos largos (fig. 1). No se encuentran lesiones costales, en pelvis ni en cráneo. Antecedentes familiares: varios miembros de la familia afectados de la enfermedad, ninguno de ellos ha tenido que ser intervenido ni ha malignizado (fig. 2). Se remite al servicio de ortopedia infantil donde se diagnostica, dados los antecedentes y la radiología, de exostosis múltiple familiar, y se adopta una conducta expectante. Para disminuir el dolor se recomienda reposo relativo e ibuprofeno. El dolor desapareció completamente en unos 15 días y se atribuyó a una contusión sobre una exostosis de la rodilla.
Figura 1. Múltiples osteocondromas en ambas rodillas.
Figura 2. Exostosis múltiple: árbol de afectación familiar.
El osteocondroma es la tumoración ósea más frecuente en los niños. Son tumoraciones osteocartilaginosas que aparecen fundamentalmente en las metáfisis de los huesos largos 1. Aunque la mayoría de los pacientes tienen un solo osteocondroma, una parte de ellos están afectados de exostosis múltiple hereditaria, trastorno genético que produce numerosos osteocondromas y puede provocar deformidades esqueléticas. La prevalencia de la exostosis múltiple oscila entre 1/50.000-100.000 habitantes en la raza caucásica 1,3. Parece haber manifestaciones clínicas más graves en varones 1. Presenta una herencia autosómica dominante con penetrancia variable aunque se han descrito casos esporádicos 4. Existen distintos genes implicados en la enfermedad: el gen EXT1 (8q24.1), EXT2 (11p11-p13) y EXT3 (cromosoma 19) 4,5. Las manifestaciones clínicas de la enfermedad son muy variadas, desde casos asintomáticos hasta los que presentan un alto grado de discapacidad. Los osteocondromas presentan brotes de crecimiento y se detienen con el cierre de las metáfisis; puede regresar en edad adulta. Los osteocondromas se localizan fundamentalmente en la metáfisis distal y proximal de fémur, tibia y peroné y metáfisis proximal del húmero y distal de radio 1,2. Pueden provocar deformidades (valgus de rodilla y cadera, asimetría pectoral, curvatura radial), masas palpables y producir compresiones vasculares y nerviosas, pérdida de la movilidad o acortamiento de algún miembro 2,6,7. La compresión de la médula espinal es una complicación bien documentada pero poco frecuente 8. El diagnóstico de sospecha es clínico, y se confirma mediante radiología y biopsia. El diagnóstico diferencial debe hacerse con condrosarcoma, displasia epifisaria hemimélica, osteoma y condroma de periostio. Puede malignizar a condrosarcoma en un 3-7 % de los casos según diferentes autores 2,3. No existen, por el momento, marcadores genéticos para identificar subtipos de la enfermedad que pudieran suponer un mayor riesgo de malignización 1. Se sospecha malignización cuando existe crecimiento de un osteocondroma después del cierre metafisario. Se confirma mediante estudios radiológicos. El tratamiento es quirúrgico, en casos de deformidad o compresión de estructuras, y por lo general una vez acabado el crecimiento, para evitar recidivas.
Correspondencia: Dra. A. Raventós Canet.
CAP Sant Feliu-Rambla.
Rbla. Marquesa Castellbell, 98-100.
08980 Sant Feliu de Llobregat. Barcelona. España.
Correo electrónico: 23549arc@comb.es




