La estenosis congénita del orificio piriforme (ECOP) es una entidad poco frecuente que causa obstrucción de la vía respiratoria alta en neonatos y niños pequeños. Su diagnóstico se realiza mediante tomografía computarizada (TC) de las fosas nasales cuando el diámetro transverso máximo del orificio piriforme es menor de 11mm.
Se presenta el caso de una paciente con un cuadro de dificultad respiratoria episódica desde el nacimiento. Se le realizó TC de las fosas nasales y se le diagnosticó ECOP. También se analizaron las anormalidades típicamente asociadas.
Congenital nasal pyriform aperture stenosis (CNPAS) is an unusual cause of upper respiratory obstruction in neonates and infants. The diagnosis is made with Computed Tomography (CT) of nasal cavity when maximum transverse diameter of the pyriform aperture is less than 11mm.
We present a patient with breathing difficulty since birth. The diagnosis of CNPAS was made after a CT examination of the nasal cavity. We also discuss typically associated abnormalities.
El orificio piriforme es la parte ósea más anterior y estrecha de la vía aérea nasal. Está formado superiormente por los huesos nasales, y lateral e inferiormente por el hueso maxilar.
La estenosis congénita del orificio piriforme (ECOP) es una causa poco frecuente de obstrucción del flujo aéreo en la vía respiratoria alta de neonatos y niños pequeños. Ante una sospecha clínica de ECOP debe realizarse una tomografía computarizada (TC) de las fosas nasales para su confirmación.
El diagnóstico de la ECOP se suele pasar por alto, a pesar de ser una alteración descrita en la literatura médica, quizá debido a la falta de familiaridad con la morfología normal de las fosas nasales de los niños pequeños1.
Según la revisión que realizaron los autores del presente artículo, en la literatura médica se la describió como entidad independiente por primera vez en 1988, radiológicamente,2 y en 1989, clínicamente3.
CasoPaciente femenina de 15 días de vida que ingresó por dificultad respiratoria de horas de evolución.
Madre de origen pakistaní de 29 años de edad y dependiente de la insulina mal controlada. Era su primera gestación, con embarazo de 38 a 39 semanas y parto por cesárea debido a alteración de la monitorización. El peso al nacer de la paciente fue de 2.530g.
En las siguientes horas al nacimiento presentó un cuadro de obstrucción nasal grave con tiraje y trabajo respiratorio moderado así como bajadas importantes de la saturación de oxígeno. El resto de la exploración física y la analítica fueron normales. Se realizó una rinoscopia en la que se apreció únicamente leve hipertrofia de cornetes.
Permaneció bajo tratamiento con oxígeno en incubadora, dexametasona intravenosa, gotas locales nasales y corticoides tópicos. Se la dio de alta a la semana del nacimiento, pero acudió de nuevo al hospital por otro cuadro de similares características a la semana de esta alta.
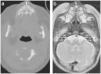
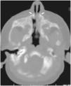
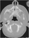
Durante el segundo ingreso se le realizó una TC de las fosas nasales en la que se observó la disminución de la distancia entre ambos procesos nasales del maxilar (fig. 1), incisivo central único congénito (fig. 2a y b) y paladar triangular (fig. 3) con cresta central (fig. 4), hallazgos compatibles con ECOP.
La ECOP es una alteración poco frecuente que cursa con clínica de obstrucción de la vía respiratoria alta al nacimiento o durante los primeros meses de vida.
El niño suele presentar dificultad respiratoria, apneas episódicas y cianosis, fundamentalmente durante las tomas1,4,5, por lo que ha de considerarse dentro del diagnóstico diferencial de obstrucción nasal en neonatos junto con la atresia de coanas, el encefalocele nasofaríngeo y los tumores nasales4.
El diagnóstico definitivo de la ECOP se realiza mediante TC de las fosas nasales. Los hallazgos radiológicos consisten en un crecimiento excesivo del proceso nasal del hueso maxilar, un paladar duro hipoplásico con morfología triangular (fig. 3) y un consecuente estrechamiento del orificio piriforme (fig. 1).
Se considera diagnóstico si el diámetro transverso máximo del orificio piriforme es menor de 11mm1,4,6. Belden et al concluyeron que la ECOP es el resultado de un estrechamiento de toda la cavidad nasal en su porción inferior, más marcada en su abertura anterior1.
La paciente que aquí se presenta cumplía con estos hallazgos descritos. Asimismo, presentaba una pequeña cresta ósea en la línea media por debajo del paladar duro en la reconstrucción coronal (fig. 4) y un gran diente incisivo único central (fig. 2). Éstas son alteraciones típicamente asociadas a la ECOP; es particularmente destacable la alteración de la dentición, ya que el megaincisivo central único puede ser una manifestación de la holoprosencefalia, por lo que se indica un estudio de imagen cerebral, preferiblemente una resonancia magnética (RM)1,4,6. En el presente caso se realizó ecografía y RM cerebral, que no mostraron alteraciones.
Se han descrito casos de ECOP con otras malformaciones y alteraciones asociadas, como encefalocele, malformación de Dandy-Walker y alteraciones hipofisarias, cardíacas o de los genitales externos1,5. En el presente caso se descartaron estas patologías mediante los estudios mencionados previamente, una ecocardiografía y la exploración física de los genitales.
El pronóstico de los pacientes con ECOP es muy bueno. La mayoría de los niños necesitan únicamente tratamiento conservador hasta que crece la cavidad nasal y desaparecen los síntomas; requieren técnicas especiales de alimentación, tratamiento tópico nasal y, a veces, ventilación o intubación. La cirugía está reservada para los casos graves o rebeldes al tratamiento conservador1,4.
En resumen, la ECOP es una rara entidad que debe considerarse ante un cuadro obstructivo nasal y que se diagnostica de manera sencilla mediante una TC de cavidad nasal, siempre teniendo en cuenta las posibles alteraciones asociadas.






