El enfisema retrofaríngeo espontáneo (ERE) se caracteriza por la presencia de aire ectópico a nivel retrofaríngeo sin una etiología subyacente clara. Se considera un diagnóstico de exclusión, y se califica como altamente infrecuente, con reportes aislados en la literatura científica. Hasta la fecha, los reportes pediátricos son excepcionales1-5.
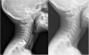
Presentamos el caso de un varón de 8años sin antecedentes médicos, valorado en urgencias por un cuadro súbito de dolor torácico con irradiación cervical, que apareció mientras jugaba al fútbol. El paciente refería empeoramiento con el decúbito y con la ingesta. No refería antecedentes traumáticos recientes ni ingesta de cuerpos extraños. A la exploración física se constató buen estado general, con estabilidad hemodinámica y respiratoria. El paciente no presentó fiebre en ningún momento. No se objetivaron alteraciones óseas, pero sí crepitación subcutánea cervical. No se observó abombamiento de pilares faringoamigdalinos, y la úvula se encontraba centrada. La analítica de sangre mostró leucocitosis y neutrofilia sin elevación de reactantes de fase aguda. Se realizó una radiografía cervical lateral que mostró aire en el espacio retrofaríngeo, sin aumento del espacio retrofaríngeo (fig. 1, izquierda). La nasolaringoscopia no mostró alteraciones. No se realizó tránsito esofagogastroduodenal. El paciente permaneció ingresado 24horas con analgesia y sueroterapia intravenosas y sin oxigenoterapia, con resolución de la sintomatología. Una radiografía ambulatoria a los 15días constató la resolución prácticamente completa del cuadro (fig. 1, derecha).
La tabla 1 muestra los casos de ERE pediátricos publicados hasta la fecha. Se observa que la mayoría fueron mujeres adolescentes, y que en muchos de los casos hubo un desencadenante identificable (tos o actividad deportiva). Dos de los pacientes presentaron cambios en las características de la voz. La mayoría de casos debutaron como un dolor torácico o cervical súbito. La presencia de febrícula o fiebre se documentó en dos de los casos, y la presencia de leucocitosis y neutrofilia, en un caso. La nasolaringoscopia solo mostró una discreta protrusión de la pared posterior faríngea en uno de los pacientes, siendo en el resto normal. En tres de los pacientes se realizó una TC. Todos los casos fueron manejados de forma conservadora y tuvieron una evolución favorable.
Casos reportados de enfisema retrofaríngeo espontáneo en población pediátrica y sus características clínicas
| Autor(es) | Antecedentes médicos | Sociodemografía | Evento inicial | Presentaciónclínica | Alteraciones clínicas o analíticas | NLC | TC | Tratamiento | Evolución |
|---|---|---|---|---|---|---|---|---|---|
| Marín Garrido et al. (2003)4 | No | Varón. 13 años | Actividad deportiva | Dolor torácico y cervical súbitos. Alteración de la voz | Febrícula (37,5°C).AS no reportada | Discreta protrusión de la pared posterior faríngea | Sí | Reposo. Antibioterapia intravenosa | Favorable (resolución radiológica en 48horas) |
| Lee et al. (2005)5 | Asma | Mujer. 12 años | No | Dificultad respiratoria. Dolor torácico. Alteración de la voz | Desaturación, taquipnea, fiebre (38,2°C) | Normal | No | Reposo. Oxígeno. Antibióticos. Broncodilatadores | Favorable (resolución clínica en 7 días) |
| Haro et al. (2014)2 | No | Mujer. 14 años | Tos | Dolor cervical súbito | Fiebre (39°C). AS sin alteraciones | Normal | No | Reposo. Analgesia. Oxígeno suplementario | Favorable |
| Cho et al. (2016)3 | No | Mujer. 14 años | Tos | Odinofagia | Afebril. AS no reportada | Normal | Sí | Reposo. Dieta absoluta. Oxígeno suplementario. Antibioterapia intravenosa | Favorable (3 días de ingreso) |
| Chi et al. (2018)1 | No | Mujer. 13 años | No | Dolor cervical | Afebril. Leucocitosis. Neutrofilia | Normal | Si | Analgesia. Monitorización. Dieta absoluta | Favorable (resolución de síntomas en 7 días) |
| Arredondo Montero et al. (2022) | No | Varón. 8 años | Actividad deportiva | Dolor cervical súbito | Afebril. Leucocitosis. Neutrofilia | Normal | No | Analgesia. Monitorización. Dieta absoluta | Favorable (24 horas de ingreso, resolución radiológica en 15 días) |
AS: analítica de sangre; NLC: nasolaringoscopia; TC: tomografía computarizada.
En relación con el caso reportado por Lee et al.5, la paciente, asmática, tuvo una presentación atípica consistente en trabajo respiratorio, desaturación y neumomediastino asociado. Creemos que esta paciente probablemente presentó un neumomediastino secundario al asma con extensión cervical ulterior, y no creemos por tanto que sea un ERE puro.
La literatura en relación con la etiopatogenia y la fisiopatología del ERE es escasa. Macklin et al.6 publicaron un trabajo en el que postulaban que el origen podía radicar en un enfisema intersticial pulmonar secundario a una sobredistensión de los alveolos marginales y a una disminución del calibre de los vasos perialveolares, generándose un gradiente de presión entre ambas estructuras que condicionaría la rotura alveolar a nivel basal y la salida de aire al espacio intersticial. Este aire se diseminaría siguiendo el camino de menor resistencia a través de las vainas perivasculares, fundamentalmente al mediastino (como en los casos de Cho et al.3 y de Lee et al.5), aunque con posibilidad de extensión a la región cervical.
En relación con la sobredistensión de alveolos marginales, la tos y el esfuerzo deportivo reportados en los casos de la serie pueden haber sido los factores que condicionasen el desarrollo de este mecanismo fisiopatológico. Igualmente, este mecanismo podría estar en relación con el neumomediastino asociado a asma reportado por Lee et al.5.
En conclusión, el ERE parece ser una entidad nosológica propia e infrecuente que predomina en mujeres adolescentes. Su tratamiento incluye la dieta absoluta, la hidratación intravenosa, la analgesia y el reposo, pudiéndose recurrir a la oxigenoterapia suplementaria como un recurso terapéutico adicional. Aunque se trate de una entidad benigna, es imperativo recordar que se trata de un diagnóstico de exclusión y que deben descartarse todas las potenciales causas de aire ectópico en el espacio retrofaríngeo, en especial aquellas que precisan tratamiento urgente, como la perforación esofágica. Ante la aparición de complicaciones como la mediastinitis o la obstrucción de vías respiratorias, el tratamiento quirúrgico debe ser considerado.



