Caso clínico
Niño de 12 meses de edad que presenta, desde hace 15 días, episodios de llanto intermitente coincidiendo con el cambio de ropa, de pañales y al sostenerle erguido en brazos. Los últimos 10 días se niega a gatear, a mantenerse sentado y muestra una inestabilidad progresiva al caminar con caídas frecuentes. El desarrollo psicomotor es adecuado para su edad y había iniciado la marcha con apoyo un mes previo al inicio de los síntomas. Los últimos días presenta febrícula sin asociar síntomas gastrointestinales ni catarrales. No existe antecedente de traumatismo.
Es llevado a urgencias del servicio de pediatría donde se realizan ecografía y radiografía de caderas, sin que se observe ninguna alteración, por lo que se diagnostica de sinovitis transitoria de cadera y se pauta tratamiento antiinflamatorio con ibuprofeno y reposo absoluto, sin mejoría, por lo que es remitido a traumatología para valoración.
En la exploración no se observan adenopatías inguinales ni signos externos de traumatismo o inflamación articular. La palpación abdominal es normal y la movilización, activa y pasiva, de ambas caderas, rodillas y tobillos es completa aunque se observa una discreta hipotonía de los músculos abductores de la cadera izquierda en relación a la derecha. En la exploración neurológica destaca una disminución ipsolateral de los reflejos patelar y rotuliano. El llanto intenso al flexionar la espalda y la rectificación de la lordosis lumbar hicieron sospechar patología a dicho nivel.
El hemograma, los tiempos de coagulación y la proteína C reactiva fueron normales. La velocidad de sedimentación globular (VSG) de 42 mm/h, indicaba un probable proceso inflamatorio. En la radiografía de columna vertebral se observó una mala definición de los platillos vertebrales inferior de L5 y superior de S1, con aparente esclerosis (fig. 1). La gammagrafía con 99mTc mostró un aumento de captación leve, de morfología lineal, en área teórica de las carillas articulares de cuerpos vertebrales L5-S1 (fig. 2).
Figura 1. Radiografía de columna vertebral, se observa esclerosis de platillos vertebrales inferior L5 y superior S1 y disminución del espacio discal.
Figura 2. Gammagrafía con 99mTc, aumento de captación de morfología lineal en área teórica de las carillas articulares de cuerpos vertebrales L5-S1.
Preguntas
1.¿ Cuál es su diagnóstico diferencial?
2.¿ Qué otras pruebas diagnósticas se deberían realizar para llegar al diagnóstico?
3.¿ Cuál es su diagnóstico?
4.¿ Cuál es el tratamiento de elección?
Discitis o espondilodiscitis
Las condiciones que deben ser investigadas en el caso de un lactante que presenta súbitamente dificultades para caminar incluyen alteraciones articulares (artritis séptica, sinovitis transitoria), óseas (osteomielitis, tumores), neurológicas (síndrome de Guillain-Barré, tumor de la médula espinal) y otras (leucemia linfoblástica aguda, linfoma de Hodgkin, neuroblastoma)1. El dolor abdominal, debido a la irritación retroperitoneal resultante de abscesos del psoas, puede enmascarar una espondilodiscitis.
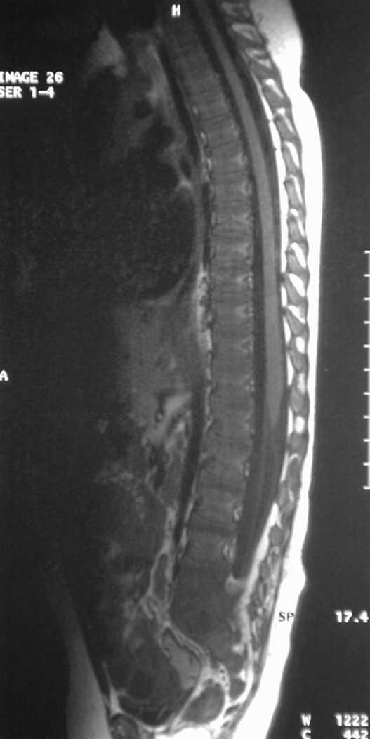
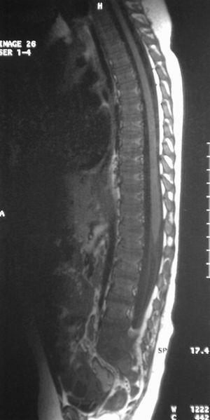
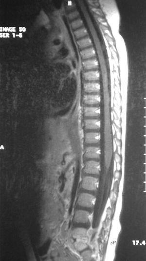
La resonancia magnética (RM) ayuda a diferenciar entre alteraciones óseas vertebrales y patología de la cadera o de la médula espinal. En nuestro caso las imágenes en T1 (fig. 3) con contraste con gadolinio demostraron un realce anormal del disco y de las partes adyacentes de los cuerpos vertebrales y las imágenes en T2 (fig. 4) mostraron una señal anormal y disminución de la altura del disco y unos platillos irregulares, cambios compatibles con espondilodiscitis L5-S1.
Figura 3.RM con gadolinio, se observa realce del disco y cuerpos vertebrales adyacentes entre L5-S1.
Figura 4. Imagen en T2, disminución de altura del disco y platillos irregulares.
Ante la sintomatología y las pruebas realizadas se instauró tratamiento antibiótico intravenoso empírico con cloxacilina y cefuroxima a dosis habituales, antiinflamatorios y reposo durante 11 días, continuando durante 3 semanas más con tratamiento antibiótico oral con cloxacilina y cefuroxima-axetilo.
La discitis o espondilodiscitis es un cuadro poco común en la infancia consistente en la inflamación o infección del espacio intervertebral. Clásicamente se distinguen tres grupos de edad afectados: neonatos, lactantes y jóvenes adolescentes. El curso clínico de la discitis es habitualmente insidioso con un inicio gradual. Algunos factores de riesgo conocidos son infecciones recientes del tracto urinario, traumatismos, punciones lumbares, cirugía abdominal o inmunodeficiencias2.
La fisopatología de la discitis continúa sin ser aclarada. Varios estudios han demostrado que el disco y el cuerpo vertebral comparten la misma estructura vascular al nacimiento que gradualmente regresa durante la infancia hasta que el niño se vuelve adulto3. El copioso aporte sanguíneo podría predisponer al asentamiento de un agente infeccioso en el disco y podría también explicar la recuperación normalmente buena y la falta de secuelas a largo plazo en los niños4.
La mayoría de los autores proponen una causa infecciosa a pesar de que, en las series estudiadas, el porcentaje de cultivos estériles es elevado y que existan pacientes que se recuperan sin tratamiento antibiótico. La duración de los síntomas podría afectar el resultado de los cultivos, especialmente los cultivos de tejido de biopsia del espacio discal. Otros autores proponen una causa viral o traumática, con dislocación parcial de la epífisis secundaria a la flexión5.
Entre los microorganismos causales Staphylococcus aureus y Kingella kingae son los más frecuentemente aislados, tanto en los hemocultivos como en los cultivos de tejido del disco. Otros organismos causales considerados como parte de la flora habitual de la piel incluyen el Streptococcus pyogenes, Diphteroides species, Staphylococcus epidermidis, Streptococcus agalactie y Propionibacterium acnes2.
El paciente tiene dolor dorsal o lumbar, se niega a sentarse o a ponerse de pie o camina "renqueando". El dolor, vago, dependiendo del nivel de la lesión, puede irradiarse a las nalgas, los muslos, las rodillas o el abdomen6.
El dolor de espalda en los niños es poco frecuente y suele obedecer a causas orgánicas: traumatismos con fractura, alteraciones del desarrollo (cifosis, escoliosis), infecciones o tumores. Los signos de alarma son el dolor persistente o creciente, la presencia de síntomas generales o signos neurológicos y los trastornos del recto y la vejiga.
Los hallazgos de laboratorio incluyen un aumento moderado de los marcadores de respuesta inflamatoria como el recuento de glóbulos blancos, la velocidad de sedimentación globular (VSG) y la reacción en cadena de la polimerasa (PCR). Los hemocultivos resultan positivos en aproximadamente la mitad de los casos.
La radiografía simple puede mostrar alteraciones en los cuerpos vertebrales o en el disco, que se encuentra más adelgazado a partir de la segunda semana. La gammagrafía ósea, que pone de manifiesto un aumento de la captación del trazador en el área afectada, ha demostrado ser un método seguro de diagnóstico de infección del espacio discal pero no permite diferenciar entre discitis y otras causas de dolor de espalda. La tomografía computarizada (TC), que revela áreas de hipodensidad y destrucción trabecular, cortical y de los platillos, no añade valor en el manejo de la discitis ya que meramente provee una información extra de una lesión que ya ha sido revelada por las radiografías. Desde que la RM está disponible, la TC no es requerida. La RM permite el diagnóstico temprano cuando los signos clínicos son difíciles de interpretar y la visualización de posibles complicaciones locales que podrían requerir una intervención quirúrgica, como protrusión severa del disco vertebral con atrapamiento de la raíz del nervio espinal o un absceso grande paraespinal7. Los beneficios de la RM compensan los bajos riesgos de la sedación en este grupo de edad.
La punción-aspiración se realiza sólo si se sospecha infección por la presencia de una masa de partes blandas paravertebral y por la erosión y la destrucción de las vértebras.
Cuando se establece la afección del disco es importante distinguir entre discitis u osteomielitis vertebral adyacente para poder instaurar un tratamiento adecuado4. Son entidades con características epidemiológicas, clínicas y radiográficas distintas. La discitis suele afectar a niños menores de 5 años de edad que se presentan afebriles o con febrícula. Afecta casi exclusivamente a la región lumbar causando rechazo a caminar o claudicación progresiva de la marcha. Después de 2-3 semanas las radiografías muestran una disminución del espacio intervertebral. La osteomielitis típicamente afecta a niños mayores que presentan fiebre alta, aspecto séptico y refieren dolor intenso en las regiones lumbar, torácica o cervical. Las radiografías primero demuestran una rarefacción localizada en un cuerpo vertebral y después, la destrucción del hueso, usualmente la porción anterior, y la formación de osteofitos. Al inicio del curso de estas enfermedades el diagnóstico diferencial es habitualmente difícil.
Los signos de motoneurona inferior en nuestro paciente como debilidad y disminución del tono muscular y desaparición de los reflejos se deben al tejido inflamatorio paravertebral que rodea la raíz espinal. La afectación neurológica en los niños con discitis no es tan rara como se piensa. Su resolución tras el inicio del tratamiento apunta a su patogénesis inflamatoria. El dolor y la alteración del tono y los reflejos normales también pueden explicarse por la protrusión del disco y su contenido en el canal medular. La irritación meníngea se manifiesta por la presencia de los signos de Kernig o Brudzinski, hiperreflexia o clonus. Así, los hallazgos neurológicos no sólo no excluyen el diagnóstico de discitis como se sugería en el pasado sino que pueden ser una manifestación clínica de la enfermedad y pueden servir como un indicador para el seguimiento y evaluación de la progresión de la enfermedad8.
El inicio precoz del tratamiento es fundamental para el pronóstico. Implica la administración de antibióticos y antiinflamatorios, la inmovilización inmediata y el inicio precoz de la deambulación. Algunos autores recomiendan tratamiento antibiótico sólo si el paciente tiene fiebre persistente o bacteriología positiva9. Ring et al demostraron en un estudio multicéntrico retrospectivo que el tratamiento antibiótico intravenoso inicial acelera significativamente el tiempo de recuperación de los síntomas.
La evolución del cuadro clínico a largo plazo es habitualmente favorable. La historia natural de la enfermedad es hacia la fibrosis o desaparición del disco y la consecuente fusión vertebral.
Correspondencia: Dra. P. Flores Pérez.
Hospital Universitario de Getafe.
José Bergamín, 50, 7.º C. 28030 Madrid. España.
Correo electrónico: patriziaflores5@hotmail.com
Recibido en abril de 2006.
Aceptado para su publicación en julio de 2006.






