Sr. Editor:
La esofagitis eosinofílica (EE) es un proceso inflamatorio crónico caracterizado por una intensa infiltración de eosinófilos que afecta exclusivamente al esófago. Aunque la etiopatogenia no está clara, parece existir una base alérgica a alimentos y/o aeroalérgenos, participando tanto mecanismos de hipersensibilidad inmediata como tardía1.
El diagnóstico se establece con la presencia de > 15 eosinófilos por campo de gran aumento en epitelio esofágico asociado a una pH-metría normal o falta de respuesta a tratamiento antiácido2.
Entre las opciones terapéuticas que existen actualmente se encuentra la terapia nutricional, que ha demostrado la remisión clínica e histológica de la enfermedad de una manera prolongada. En aquellos casos refractarios al tratamiento dietético o con estudio alérgico negativo, está indicado el uso de propionato de fluticasona deglutida, reservando el empleo de corticoides sistémicos para disfagias graves o estrechamientos esofágicos2, 3, 4. No obstante, a pesar de las alternativas terapéuticas anteriormente citadas, nos encontramos numerosos pacientes resistentes al tratamiento habitual o con dificultad para realizar la técnica de deglución de fluticasona.
Presentamos el caso de un varón de 11 años de edad con EE de 7 años de evolución. El estudio consistió en la realización de pH-metría, con resultado normal, endoscopia digestiva alta con toma de biopsias que confirmó el diagnóstico (Figura 1) y un estudio alergológico completo para alimentos y aeroalérgenos. Desde el inicio del cuadro, nuestro paciente no experimentó mejoría clínica ni endoscópica a pesar de recibir varios tratamientos: dieta de exclusión de alimentos sospechosos, inhibidores de la bomba de protones, montelukast, terapia nutricional con dieta elemental y corticoides tópicos (propionato de fluticasona deglutida). Se intentó terapia con corticoides sistémicos, suspendiéndose por aparición de efectos adversos. Sólo se consiguió mejoría clínica tras iniciar terapia con dieta elemental exclusiva durante 8 semanas, pero al introducir de nuevo la alimentación reaparecieron la sintomatología y la alteración endoscópica.
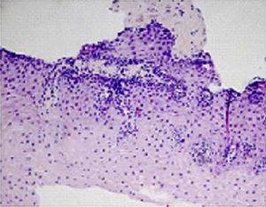
Figura 1. Anatomía patológica de mucosa esofágica: aumento de papilas e hiperplasia de células basales. Infiltrado de eosinófilos > 50-60/campo.
El paciente, tras varios intentos terapéuticos, se encontraba con una amplia dieta de exclusión e importante sintomatología (pirosis, disfagia, impactación de alimentos), aunque su desarrollo ponderoestatural era correcto. En ese momento se inicia tratamiento con budesonida viscosa por vía oral a dosis de 1g de budesonida/día durante 4 meses. Tras este periodo, el niño experimenta una mejoría importante de su sintomatología, con normalización macroscópica esofágica e infiltrados inflamatorios aislados en la histología (Figura 2).
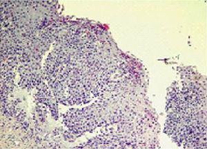
Figura 2. Mucosa esofágica tras tratamiento con budesonida viscosa por vía oral. Aparece un mínimo infiltrado eosinófilo (< 5 eosinófilos/campo).
Sin duda alguna, el mayor reto de la EE es el abordaje terapéutico, ya que en muchos casos parece complicada la curación definitiva, tanto clínica como histológica. Por otro lado, el desconocimiento de la historia natural de la enfermedad nos hace plantearnos si sólo deberíamos tratar la sintomatología o si perseguir la curación de la mucosa, aunque eso implique numerosos intentos terapéuticos, evitaría complicaciones posteriores tales como la estenosis5.
Se ha visto que en pacientes con EE refractaria al tratamiento nutricional o con estudio alérgico negativo está indicado el tratamiento corticoideo tópico con propionato de fluticasona (a través de inhalador tipo MDI) y es efectivo en la inducción de la remisión clínica e histológica2, 3. La técnica de administración consiste en tragar el polvo del inhalador depositado previamente en la faringe. Este procedimiento entraña dificultad en pacientes de corta edad lo que puede condicionar el fracaso terapéutico.
Una alternativa al tratamiento con fluticasona deglutida es el empleo de budesonida viscosa por vía oral. Consiste en mezclar el corticoide con sucralosa, un azúcar viscoso, con el objetivo de aumentar el tiempo de contacto del corticoide con las paredes esofágicas, ejerciendo así un efecto más eficaz6.
A pesar de que existen pocos trabajos publicados sobre el empleo de esta terapia, un estudio realizado por Aceves et al7 demuestra la eficacia de la budesonida viscosa en un grupo de pacientes entre 2 y 17 años con EE refractaria al tratamiento dietético o con propionato de fluticasona. En este trabajo se consigue una remisión clínica e histológica cercana al 80% de los pacientes menores de 5 años y del 100% en niños más mayores; en el resto se consigue una mejoría clínica y endoscópica.
En el caso que nos ocupa, estamos ante un paciente con importante sintomatología y afectación esofágica a pesar de haber recibido múltiples tratamientos. Posiblemente el hecho de ser un niño de corta edad dificulta la técnica de deglución de fluticasona, restando efectividad al fármaco. En este caso, el empleo de budesonida viscosa por vía oral, que permite un buen cumplimiento terapéutico, ha sido una alternativa eficaz para mejorar tanto la sintomatología como la afectación esofágica.
Por tanto, deberemos tener en cuenta esta alternativa para casos de esofagitis eosinofílica en niños pequeños o resistentes a otras terapias.
Autor para correspondencia. enclarna@hotmail.com




