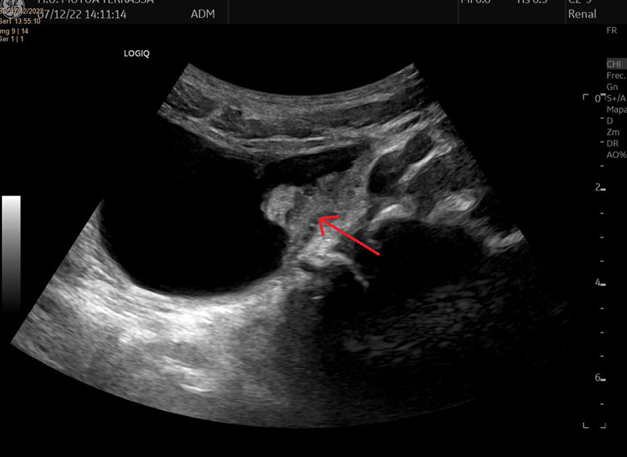
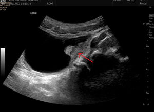
Presentamos el caso de un paciente de 6 años con el hallazgo incidental de un tumor intravesical en una ecografía de control realizada 5 años después de una cirugía de reimplante por reflujo vesicoureteral. La figura 1 muestra la imagen ecográfica, lesión parietal de 10×5mm, de mayor ecogenicidad, márgenes bien definidos y con vascularización en el estudio doppler color. Se evidenció una segunda lesión de similares características. En la cistoscopia se encontraron y resecaron mediante diatermia 4 lesiones, las 2 mencionadas en la ecografía en la cara izquierda y la cara posterior vesical y otras 2 de menor tamaño en la cúpula. La figura 2 muestra la mayor de ellas en la cara lateral izquierda. El diagnóstico histopatológico final fue adenoma nefrogénico de vejiga. La figura 3 muestra las imágenes con tinción de hematoxilina-eosina y el estudio inmunohistoquímico. El paciente se encuentra asintomático y sin recidiva un año después de la intervención. En ocasiones, en el seguimiento rutinario del paciente urológico pediátrico nos encontramos con hallazgos inesperados y es importante conocer entidades poco frecuentes que deben tenerse en cuenta en el diagnóstico diferencial. El adenoma nefrogénico es una metaplasia del urotelio que puede afectar al tracto urinario a cualquier nivel1. Es de naturaleza benigna y se cree que está relacionado con procesos inflamatorios locales o traumatismos repetitivos2. Puede ser asintomático o manifestarse como disuria, hematuria o infecciones del tracto urinario de repetición. El tratamiento de elección es la resección endoscópica completa y es preciso mantener un seguimiento para detectar recidivas3.
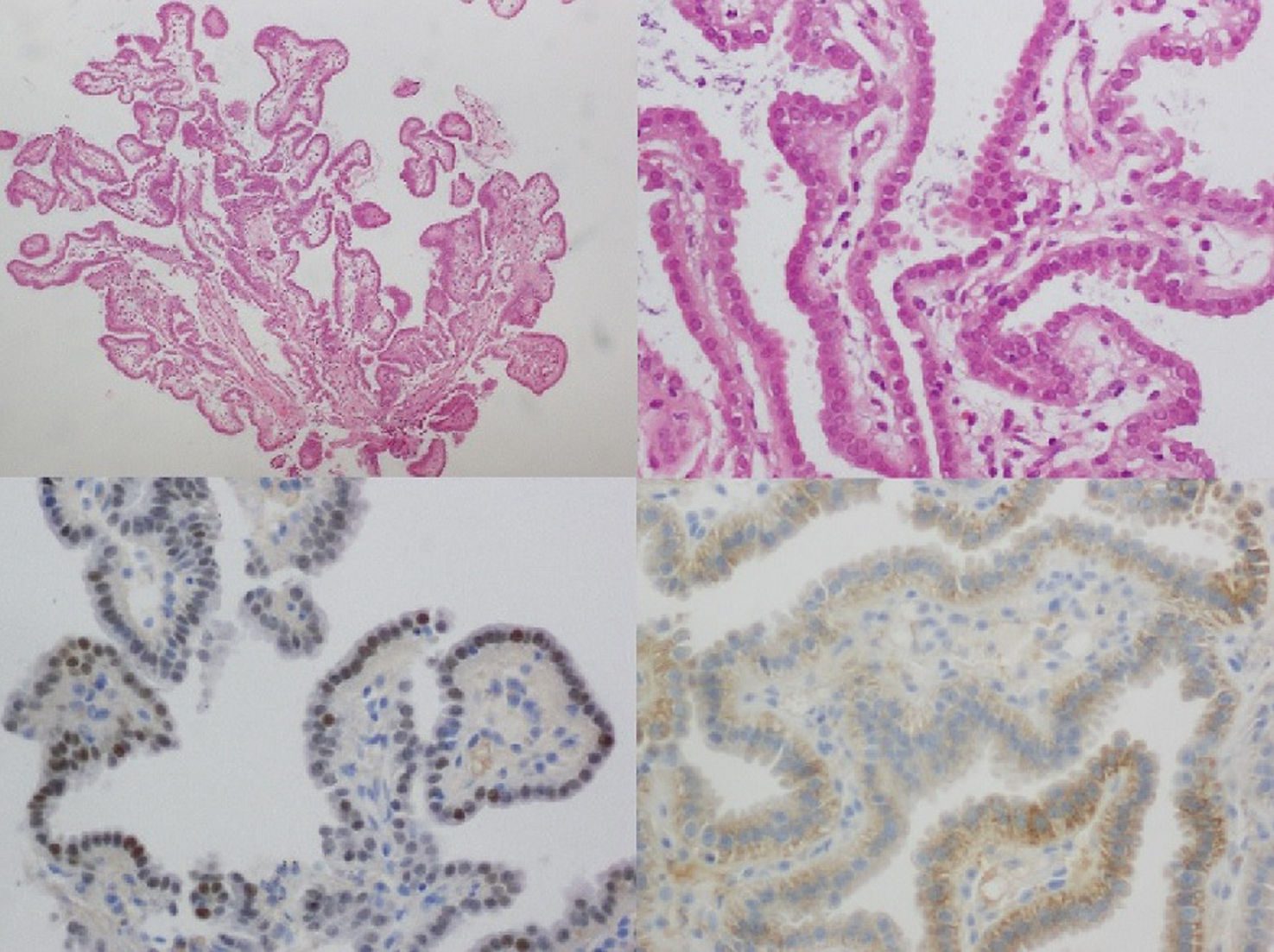
Estudio anatomopatológico. Lesión papilar revestida por células cúbicas con citoplasma eosinofílico y núcleos de cromatina fina (tinción con hematoxilina eosina ×20 arriba a la izquierda y ×40 arriba a la derecha). Se aprecia positividad para racemasa (abajo a la izquierda) y PAX8 (abajo a la derecha).





