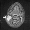
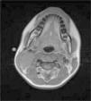
Niña de 13 años con tumoración cervical derecha detectada por la paciente desde hace unos 3 meses. A la palpación, bultoma de 3×4cm, de consistencia dura, adherido a planos profundos, sin inflamación ni dolor. No hay antecedente de proceso infeccioso, fiebre o síntomas constitucionales. La analítica sanguínea y la radiografía de tórax fueron normales. En la ecografía cervical se evidenció una masa en el espacio carotídeo derecho, de 4×2×4cm, de forma ovoidea, bien delimitada, isoecoica al músculo y con abundante vascularización en su interior. Estos hallazgos hicieron sospechar una tumoración de origen neural. Se completó el estudio con una resonancia magnética cervical. Las imágenes obtenidas (figs. 1 y 2) confirmaron como primera opción la sospecha de un schwannoma del vago, dada la morfología fusiforme de la lesión, con eje mayor longitudinal siguiendo el trayecto del nervio (fig. 3). Se realizó resección completa de la tumoración dependiente de la rama nerviosa cervical. El estudio histológico confirmó el diagnóstico de schwannoma del nervio vago. La paciente presentó síndrome de Horner derecho posquirúrgico sin otras complicaciones. Tras 6 meses no existe evidencia de recidiva tumoral.
Los schwannomas del cuello se presentan como masas de crecimiento lento, benignas, inicialmente sin clínica neurológica. Resulta característica su movilidad en sentido lateral, pero no en la dirección del eje nervioso1. Son más frecuentes entre la tercera y sexta década de la vida, habiendo casos descritos en niños2. El diagnóstico se basa en la sospecha clínica y pruebas de imagen; la PAAF presenta escasa rentabilidad. La resección quirúrgica aporta unos excelentes resultados3, sin apreciarse recidiva tumoral.





