El tumor inflamatorio de Pott es una complicación infrecuente de la sinusitis frontal caracterizada por tumefacción y edema en la frente por absceso subperióstico secundario a osteomielitis del hueso frontal. Complicaciones añadidas son: celulitis por extensión a la órbita e infección intracraneal por extensión posterior asociando alto riesgo de meningitis, absceso intracraneal y trombosis del seno venoso. Un diagnóstico temprano y un tratamiento intensivo médico y quirúrgico son esenciales para una óptima recuperación de los pacientes afectados. En la era antibiótica es extremadamente infrecuente, habiéndose descritos muy pocos casos en la bibliografía reciente.
Presentamos un caso de tumor inflamatorio de Pott en un varón de 7 años que, como complicación de una pansinusitis aguda, presenta tumefacción frontal con celulitis preseptal y afectación intracraneal con trombosis de venas oftálmica y orbitaria superior y absceso epidural frontal con extensión hasta espacio subaracnoideo.
Pott's puffy tumor is a rare complication of frontal sinusitis characterized by swelling and edema in the brow due to a subperiosteal abscess associated with frontal osteomyelitis. Added complications are cellulitis by extension to the orbit and intracranial infection by posterior extension, with high risk of meningitis, intracranial abscess, and venous sinus thrombosis. Early diagnosis and aggressive medical or surgical treatment are essential for optimal recovery of affected patients. In the antibiotic age it is extremely rare, with very few cases described in the recent literature.
A case is presented of a Pott inflammatory tumor in a 7 year-old boy, as a complication of acute pansinusitis who presented with front preseptal swelling and intracranial involvement with thrombosis of ophthalmic and superior orbital veins and frontal epidural abscess extending to the subarachnoid space.
Aunque prácticamente erradicado en la era antibiótica, en la última década se han descrito cerca de una decena de casos de tumor inflamatorio de Pott.
Conocido desde finales del siglo xviii, Sir Percivall Pott define esta entidad como tumefacción y edema en la frente por inflamación subyacente a nivel de la duramadre que provoca acúmulo de sustancia entre esta y el cuero cabelludo. Inicialmente, atribuible a contusiones frontales, a final del siglo xix Lannelongue demostró que también puede resultar de la evolución de una sinusitis frontal no tratada o incompletamente tratada, en asociación con osteomielitis del hueso frontal1,2.
Presentación del casoVarón de 7 años de edad, correctamente vacunado (incluida antineumocócica) y sin antecedentes de interés, que consulta por fiebre (hasta 40°C) de 72 h de evolución, edema palpebral y afectación del estado general. Cefalea intensa continua, decaimiento y tendencia a la somnolencia. Tres días antes inicia edema palpebral inferior izquierdo con lagrimeo, progresivamente en aumento, extendiéndose al párpado superior y en horas previas a la consulta, al párpado inferior derecho con secreción amarillenta bilateral. Refiere dolor en ambos miembros inferiores que le imposibilita la bipedestación. Caída accidental 4 días antes, sin signos de alarma ni contusión craneal. Cuadro catarral con abundante mucosidad de 2-3 semanas de evolución.
En la exploración física, regular-mal aspecto general, postura en flexión de ambos miembros inferiores. Hemodinámicamente estable, con tendencia a la taquicardia, adecuada perfusión periférica y signos clínicos de deshidratación leve. Lesiones de candidiasis en ambas mucosas yugales. Exantema tenue micromacular en las palmas, que desaparece con la digitopresión sin elementos petequiales. Hepatomegalia de 1-2cm bajo reborde costal, no dolorosa. Cardiopulmonar sin alteraciones. Destaca tumefacción frontal y edema del párpado superior e inferior izquierdo, que imposibilita la apertura ocular espontánea con placa eritematosa que se extiende hasta mejilla ipsilateral, secreción ocular amarillenta e intensa hiperemia conjuntival bilateral (fig. 1). Pupilas isocóricas y normorreactivas, movimientos oculares conservados y no dolorosos. No fotofobia. Dolor intenso a la presión sobre el seno frontal izquierdo y menos sobre el maxilar izquierdo. Limitación para la extensión completa de los miembros inferiores con signo de trípode positivo, rechazo a la bipedestación y disminución de los reflejos osteotendinosos. En el fondo de ojo no se evidencia edema papilar.
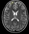
En los estudios de laboratorio destacan proteína C reactiva 331mg/L, procalcitonina 105,5 ng/mL, gammaglutamil transpeptidasa 159 UI/L, sodio 127 mEq/L y cloro 96 mEq/L, con aumento de fibrinógeno (665mg/dL). En el hemograma: leucocitosis (21,6×10e9/L), con desviación izquierda (neutrofilia 90%). Se realiza una TC craneal con contraste, evidenciando colección subperióstica en el margen nasal de la órbita izquierda y en el tejido celular subcutáneo de 17×8mm con realce periférico. Trombosis de la vena angular izquierda, con extensión a la vena orbitaria superior que no alcanza el seno cavernoso, con ingurgitación de los vasos conjuntivales relacionada con la trombosis. Ocupación de senos frontales, maxilares y esfenoidal derecho y parcial de celdillas etmoidales y mastoideas (figs. 2 y 3).
Los estudios microbiológicos en orina, líquido cefalorraquídeo y aspirado nasal, así como serología infecciosa resultaron negativos.
Resultó positiva la detección rápida de Streptococcus pyogenes en exudado faríngeo, confirmándose posteriormente su crecimiento en cultivos de exudado faríngeo, conjuntival y sangre, siendo sensible a los antibióticos testados.
Dada la complicación intracraneal, se inicia tratamiento antibiótico por vía intravenosa con cefotaxima y clindamicina, asociado a corticoterapia.
A las 48 h, se realiza una RMN cerebral y medular, donde a los hallazgos de la TC se añade absceso epidural derecho, con colección frontal izquierda purulenta en el espacio subaracnoideo (fig. 4). Ante la ausencia de neurocirugía en nuestro centro, se remite al hospital de referencia, donde se decide actitud conservadora, añadiendo al tratamiento heparina subcutánea. Evolución favorable, con mejoría de las lesiones en la RMN de control, siendo dado de alta a los 15 días, completando tratamiento antibiótico por vía oral hasta 9 semanas con ciprofloxacino dada la buena penetración de este fármaco.
Se realizó un estudio de inmunidad y de mutaciones para el factor v Leyden (mutación G1691A) y para protrombina (mutación G20210A), que resultó negativo. No había recibido tratamiento antibiótico previo.
No secuelas neurológicas durante su seguimiento posterior.
DiscusiónEn 1760, Sir Percival Pott describió por primera vez el tumor inflamatorio de Pott como «tumoración circunscrita e indolente del cuero cabelludo y una separación espontánea del pericráneo del cráneo en virtud de dicho tumor». Se trata de una osteomielitis frontal con absceso subperióstico del hueso frontal. La infección afecta a la tabla anterior del hueso frontal, produciéndose un absceso entre el hueso y el periostio, dándole su aspecto circunscrito1. Es más común debido a sinusitis frontal y puede expandirse debido a traumatismo del seno frontal, diseminación hematógena de la sinusitis o tromboflebitis retrógrada a través de las venas diploicas de Galeno. También se ha descrito secundario a mastoiditis, picaduras de insectos, tumores malignos y acupuntura. Recientemente, se ha descrito algún caso aislado relacionado con el consumo intranasal de cocaína2 y de metanfetaminas3, por el efecto vasoconstrictor de las mismas.
El conocimiento de la anatomía y la embriología del seno frontal es fundamental para entender la patogénesis del tumor inflamatorio de Pott. Los senos frontales se desarrollan a partir de las células etmoidales y alcanzan el total desarrollo entre los 12-13 años. La adolescencia es el momento en que la vascularización de las venas diploicas alcanza su pico. Por lo tanto, la participación intracraneal es posible sin la extensión directa del hueso frontal desde las venas diploicas, responsables del drenaje venoso del seno frontal. Así, es lógico que el tumor inflamatorio de Pott sea una complicación de la sinusitis frontal en niños mayores, con una predilección por los preadolescentes y adolescentes1.
Lo más común es que una sinusitis frontal sin tratar ocasione osteomielitis de la pared anterior del seno frontal, con la formación de absceso subperióstico. La tabla anterior del seno frontal es más delgada que la pared posterior y es más susceptible a la formación de abscesos. En nuestro caso, se sugiere participación de la tabla posterior del seno, asociada a mayor riesgo de compromiso intracraneal (absceso epidural, empiema subdural, meningitis, trombosis del seno cavernoso, trombosis venosa cortical o trombosis del seno sagital). Por otra parte, la afectación inferior puede ocasionar manifestaciones orbitales como la celulitis asociada en nuestro caso. Los síntomas de presentación que sugieren la participación intracraneal incluyen fiebre, convulsiones, dolor de cabeza, letargo, vómitos y déficits neurológicos focales. Se han referido signos asociados con la presión intracraneal elevada: náuseas, vómitos, letargo y signos neurológicos focales4–6.
Aunque poco frecuente, debemos sospechar un tumor inflamatorio de Pott en pacientes que presenten lesión inflamatoria frontal fluctuante, más aún si asocian dolor de cabeza, vómitos, fiebre, convulsiones, edema periorbital o cuero cabelludo, secreción nasal o auditiva o déficits focales.
Las bacterias que causan tumor inflamatorio de Pott suelen ser las responsables de sinusitis adquirida en la comunidad, se incluyen, estreptococos alfa y betahemolíticos (como en nuestro caso), Streptococcus pneumoniae, Staphylococcus, Haemophilus influenzae, Proteus y menos comúnmente, Fusobacterium, Bacteroides y Pseudomonas4,7,8.
La TC craneal es la prueba de imagen de elección; identifica las complicaciones intracraneales y extracraneales asociadas con sinusitis frontal, como en el paciente presentado. La RMN, como en este caso, puede ayudar a esclarecer aún más la extensión de la enfermedad intracraneal9,10.
Desde la introducción de los antibióticos, ha disminuido la incidencia de complicaciones de la sinusitis frontal. Por tanto, el tumor inflamatorio de Pott se ha convertido en una rareza, pero no hay que olvidar que puede ser una urgencia quirúrgica en el caso de empiema. El drenaje quirúrgico temprano sigue siendo el pilar de la terapia pero es necesaria también la terapia prolongada con antibióticos11. Sin embargo, se han publicado casos exitosos sin necesidad de cirugía en ciertas circunstancias, en pacientes clínicamente estables con un nivel normal de consciencia y sin déficits neurológicos, incluyendo una extensión de la lesión intracraneal limitada (menos 15mm de diámetro) y sin desplazamiento de la línea media6,7,12. En nuestro caso, el rápido diagnóstico y el inicio precoz de la antibioterapia propició una evolución favorable no siendo necesario el drenaje de la lesión.
Podemos concluir que el diagnóstico precoz de esta entidad y el tratamiento antibiótico agresivo son esenciales para mejorar el resultado en estos pacientes disminuyendo el riesgo de progresión hacia complicaciones neurológicas graves como empiemas epidurales, subdurales y trombosis sépticas secundarias de los senos venosos cerebrales, subsidiarias de tratamiento quirúrgico.
Conflicto de interesesLos autores declaran no tener ningún conflicto de intereses.
										
				





