Sr. Editor:
La tetralogía de Fallot con ausencia de la rama pulmonar izquierda1,2 es una anomalía poco frecuente. El primer caso se publicó en 1941. La ausencia puede ser de la zona proximal con la zona distal hipoplásica unida a un conducto arterioso o ausencia total con colaterales aortopulmonares que nacen del arco aórtico o de la aorta descendente y suplen a la arteria pulmonar3. Su corrección se verifica por primera vez en 1955.
Paciente remitido a los 3 meses de edad por cianosis generalizada (saturación del 78 %), soplo sistólico eyectivo en segundo espacio intercostal izquierdo e hipertrofia ventricular derecha eléctrica. Radiografía de tórax: corazón en zueco, arco aórtico izquierdo e hipovascularización pulmonar. Ecocardiografía Doppler: acabalgamiento aórtico al 50 %, comunicación interventricular subaórtica, estenosis infundibular; válvula pulmonar estenótica con tronco hipoplásico. Gradiente ventrículo derecho-arteria pulmonar 85 mmHg. Resonancia magnética: tronco pulmonar, 4-5 mm; aorta ascendente, 12 mm; rama pulmonar derecha 3 mm; no se visualizó la rama pulmonar izquierda. Se realizó una fístula central aorta-pulmonar a los 4 meses con buena evolución. A los 11 meses cateterismo: presión ventrículo derecho 96/0-7 mmHg; ventrículo izquierdo 86/0-5 mmHg; arteria aorta, 78/33-55 mmHg. No se consiguió pasar al tronco pulmonar. Saturación de la aurícula derecha, 79 %; ventrículo derecho, 78 %; ventrículo izquierdo, 98 %; arteria aorta, 90 %. Ventriculografía derecha: ventrículo derecho hipertrófico con estenosis infundibular y anillo pulmonar estenótico. Rama derecha visible 5 mmHg, rama izquierda ausente (fig. 1). Ventriculografía izquierda: defecto subaórtico, acabalgamiento de la aorta y arco aórtico izquierdo. Aortografía: la arteria circunfleja nace de la corona derecha (fig. 2). Desde el arco aórtico nace una colateral que riega el pulmón izquierdo. Fístula central permeable. Cirugía a los 16 meses: incisión longitudinal de la arteria pulmonar y el anillo, resección parietal del infundíbulo, ampliando con parche transvalvular de pericardio bovino y cierre de la comunicación con parche de Dacron con sutura 6/0. Se anastomizó el tronco pulmonar con la colateral por medio de un tubo de Goretex. Ligadura de la fístula central. Tiempo de isquemia 55 min. Ultrafiltración 500 ml. Durante el postoperatorio el paciente presentó una taquicardia ectópica de la unión con buena respuesta a la aminodarona e hipotermia. Al alta en el estudio ecocardiográfico se observó el defecto interventricular cerrado el tracto de salida derecha con buen calibre y una disminución del gradiente entre ventrículo derecho y la arteria pulmonar (25 mmHg) con flujo en la arteria pulmonar izquierda. A los 10 meses el paciente se encontraba asintomático, gammagrafía pulmonar de perfusión pulmón derecho, 90 %; pulmón izquierdo hipoperfundido, 10 % (normal, 38-45).
Figura 1. Ventriculografía derecha. Relleno simultáneo de la arteria pulmonar y arteria aorta. Tracto de salida derecho estenótico (infundíbulo, válvula pulmonar y tronco pulmonar), ausencia de la rama pulmonar izquierda. RPD: rama pulmonar derecha (flecha).
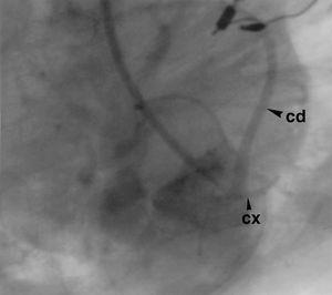
Figura 2. Aortografía. La coronaria derecha nace del seno postero derecho y de ella nace la arteria circunfleja. Cx: coronaria circunfleja (cabeza de flecha pequeña); cd: coronaria derecha (cabeza de flecha grande).
De todos los pacientes intervenidos hasta este momento referidos en la literatura médica, sólo tres tenían una edad inferior a 16 meses. Inicialmente la corrección se realizaba mediante el cierre del defecto interventricular y el ensanchamiento del tracto de salida derecho con un parche transvalvular con monovalva4-7, uniendo la porción distal o las colaterales aortopulmonares por un tubo de Goretex al tronco pulmonar4,8. Zang et al9 en la serie más amplia (50 % de todos los casos) publicó 20 pacientes utilizando en nueve un conducto valvulado para corregir la obstrucción del tracto de salida derecho y desde 1984 usó homoinjerto en lugar del conducto. Sólo en uno la descendente anterior nacía de la coronaria derecha. En un seguimiento de 7 años fallecieron 3 pacientes. Ningún paciente presentaba una arteria circunfleja que nacía de la coronaria derecha. El tamaño reducido de las colaterales aortopulmonares no permite una perfusión normalizada del pulmón izquierdo.




