El síndrome del pinzamiento posterior del tobillo (PAIS) es un conjunto de trastornos clínicos caracterizados por dolor en la parte posterior del tobillo durante la flexión plantar, infrecuente en pediatría1.
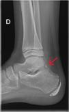
Varón de 11 años, valorado por dolor en el tobillo derecho de 3 días de evolución, sin traumatismo desencadenante. Practicaba fútbol ocasionalmente. Refería dolor en la inserción del tendón de Aquiles, con pinchazos reproducibles con la marcha. No dolor ni inflamación a otros niveles. Exploración física anodina. En la radiografía del tobillo (fig. 1) se objetivó un hueso adicional, el trígono, conocido como «os trigonum» (OT).
El trígono es un hueso accesorio, congénito, presente en el 14-25% de los astrágalos, uni- o bilateralmente, detrás del astrágalo, conectado al mismo, mediante una cinta fibrosa.
Nuestro paciente siguió un tratamiento conservador, con reposo físico y descarga plantar. La evolución posterior fue favorable.
El diagnóstico del PAIS es principalmente clínico, caracterizado por dolor posterolateral del tobillo, durante la flexión plantar, exacerbándose con el ejercicio o traumatismos. La maniobra de hiperflexión plantar forzada es diagnóstica. Habitual en bailarinas y futbolistas. La radiografía lateral permite objetivar el OT. En caso de no observarse, podría realizarse una resonancia magnética. El tratamiento es conservador, pero algunos pacientes pueden requerir intervención quirúrgica1,2.
										
				


