Se presenta el caso de una lactante de 4 meses de edad, sin antecedentes, que acudió por lesiones vesículo-pustulosas y pruriginosas de inicio en cuero cabelludo, con extensión a cara y extremidades (fig. 1). En la analítica no se objetivó eosinofilia. En la biopsia cutánea se observaba una pústula subcórnea con eosinófilos y neutrófilos polimorfonucleares, y un infiltrado inflamatorio en dermis de distribución perivascular e intersticial compuesto por eosinófilos y linfocitos (fig. 2). Se llegó al diagnóstico de pustulosis eosinofílica infantil (PEI), y la paciente fue tratada con antihistamínico oral y corticoide tópico. Las lesiones desaparecieron en 3 semanas dejando hiperpigmentación, pero a las 4 semanas presentó un nuevo brote (fig. 3).
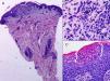
A) Infiltrado inflamatorio dérmico de localización preferente en dermis papilar, de localización perivascular e intersticial (H&E, ×4). B) Detalle del infiltrado inflamatorio en la dermis, constituido por linfocitos y eosinófilos (H&E, ×40). C) Pústula subcórnea constituida por leucocitos neutrófilos polimorfonucleares y eosinófilos, así como exocitosis de eosinófilos en epidermis (H&E, ×40).
La PEI se caracteriza por brotes de 2-3 semanas de duración de pápulas, vesículas y pústulas que evolucionan a costras y se resuelven espontáneamente1,2. Se localizan fundamentalmente en cuero cabelludo y, ocasionalmente, en cara, tronco y extremidades1. En la mayoría de pacientes se inicia antes de los 14 meses y se resuelve en la infancia precoz3. Se observa eosinofilia periférica hasta en el 70%1, pero se detecta en fase de brote3.
La biopsia cutánea muestra un infiltrado predominantemente eosinofílico en dermis, con ocasionales abscesos foliculares y pústulas intraepidérmicas con eosinófilos1,2. El infiltrado puede invadir o respetar el folículo pilosebáceo3.
Es una entidad autolimitada, con buen pronóstico, y no es necesario tratamiento intensivo3. Se recomiendan corticoides tópicos y antihistamínicos orales1,3. La PEI es una enfermedad probablemente infradiagnosticada1, que debe ser reconocida por el pediatra y el dermatólogo para evitar tratamientos innecesarios.





