El pulmón del cuidador de palomas es una neumonitis por hipersensibilidad poco frecuente en pediatría, que se desarrolla por inhalación de proteínas derivadas de las palomas.
Presentamos un caso de pulmón de cuidador de palomas en un niño de 12 años. Refería tos seca de 15 días de evolución, disnea y pérdida de peso. A la exploración física, destacaba cianosis, tiraje intercostal y supraclavicular, taquipnea, subcrepitantes a la auscultación respiratoria y saturación de oxígeno del 91% a FiO2 ambiente. En la analítica de sangre destacaba hipergammaglobulinemia y aumento de lactato deshidrogenasa. Las pruebas funcionales respiratorias mostraron un patrón mixto con disminución de la difusión de monóxido de carbono (DLCO). Los hallazgos radiológicos fueron compatibles con el diagnóstico de neumonitis por hipersensibilidad y los anticuerpos de inmunoglobulina G a palomas (método ELISA) y los tests cutáneos con suero de paloma fueron positivos. El niño presentó una buena respuesta al tratamiento corticoideo y a la evitación del antígeno.
Bird fancier's or breeder's lung is an unusual hypersensitivity pneumonitis found in pediatric patients, due to avian antigen inhalation.
A case of pigeon breeder's lung in a 12 years old child is presented. Clinical symptoms were dry cough for 15 days, dyspnea and weight loss. Physical examination of the patient showed cyanosis, chest tightness, tachypnea, inspiratory crackles and oxygen saturation of 91% in room air. Laboratory data revealed hypergammaglobulinemia and elevated LDH. Pulmonary function testing showed a mixed ventilatory pattern and a decreased carbon monoxide diffusion (DLCO) capacity. Radiological findings were compatible with hypersensitivity pneumonitis, and pigeon IgG antibodies (ELISA) and skin tests with pigeon serum were positive. The child improved with corticoid therapy and antigen avoidance.
La neumonitis por hipersensibilidad o alveolitis alérgica extrínseca comprende un amplio grupo de enfermedades pulmonares intersticiales y alveolares que se desarrollan después de una exposición repetida a partículas orgánicas en suspensión o a antígenos ocupacionales.
Stiehm et al1 desarrollaron en 1967 el primer estudio en niños sobre neumonitis por hipersensibilidad secundaria a antígenos aviarios; posteriormente se han descrito casos aislados y alguna serie pequeña2,3.
En la inmunopatogenia de la neumonitis por hipersensibilidad intervienen reacciones de hipersensibilidad tipo III (complejo antígeno-anticuerpo), tipo IV (respuesta retardada mediada por células)4 y tipo I5. Inicialmente hay sensibilización en un paciente determinado, a un antígeno inhalado, en la vía aérea distal. Con el paso del tiempo y la inhalación repetida del antígeno, se desarrolla una alveolitis aguda, con reclutamiento de polimorfonucleares hacia el espacio alveolar, seguido de reclutamiento de linfocitos T CD8+6–8.
El pulmón del cuidador de palomas es una neumonitis por hipersensibilidad que se desarrolla por inhalación de proteínas del suero de palomas que se encuentran en su epitelio (plumas), en sangre y en sus secreciones (incluyendo excrementos).
En adultos es relativamente frecuente encontrar casos entre los cuidadores de palomas. Sin embargo, no es una enfermedad de fácil diagnóstico en pediatría.
Observación clínicaPaciente de 12 años que presentaba desde hacía 15 días tos seca en accesos, cianosis y disnea ante esfuerzos previamente bien tolerados, sin fiebre. Refería pérdida de peso de 5–7kg durante ese periodo. Los padres (fumadores y en contacto ocasional con gallinas) y el hermano de 4 años referían tos seca.
Al ingreso presentaba las siguientes constantes vitales: temperatura axilar, 36,3°C; frecuencia cardíaca, 81lat/min; frecuencia respiratoria (FR), 38respiraciones/min; SatHb, 91% con FiO2 ambiente; presión arterial, 100/72mmHg. La exploración física del paciente reflejaba un peso de 52,5kg y una talla de 159,5cm. El estado general era aceptable; destacaba palidez cutánea, ojeras, cianosis central, taquipnea y tiraje intercostal y supraclavicular moderado. La auscultación cardíaca era normal y en la auscultación respiratoria se objetivaba crepitantes teleinspiratorios de predominio en bases pulmonares. No presentaba hepatoesplenomegalia ni adenopatías. El resto de la exploración física era normal.
Se realizó radiografía de tórax que mostraba un infiltrado intersticial de aspecto reticular en ambas bases pulmonares. En la analítica de sangre al ingreso destacaba un aumento de lactato deshidrogenasa (LDH) (920U/l) y de inmunoglobulinas (Ig) (IgA, 522mg/dl; IgG, 1.614mg/dl; IgM, 123mg/dl; IgE, 8U/ml). El hemograma y la fórmula eran normales, así como la proteína C reactiva (5,6mg/l) y la ferritina (51ng/ml).
La gasometría arterial mostraba los siguientes valores: pH, 7,39; pCO2, 40mmHg; pO2, 62mmHg; HCO3, 23,9mmHg; EB, −0,4.
Las serologías para el virus de la inmunodeficiencia humana, Legionella pneumophila, Mycoplasma pneumoniae, Chlamydia pneumoniae, Chlamydia psittaci y Chlamydia trachomatis fueron negativas, así como la reacción en cadena de la polimerasa para Bordetella pertussis.
La prueba de tuberculina fue negativa (0mm) y el test del sudor también (conductancia de 65mEq/l de NaCl).
El electrocardiograma y la ecocardiografía resultaron normales.
En las pruebas funcionales respiratorias al ingreso (tabla 1) destacaba un patrón mixto con fuerte componente obstructivo y disminución de la DLCO.
Evolución funcional y clínica del paciente
| Ingreso | A las 3 semanas | A los 3 meses | |
| FVC | 1,03l (27%) | 2,13l (56%) | 2,31l (61%) | 
| FEV1 | 1,03l (33%) | 1,78l (57%) | 2,03l (65%) | 
| FEV1/FVC | 100% | 84% | 88% | 
| TLC | 2,74l (59%) | 3,67l (80%) | 3,57l (77%) | 
| VR | 1,65l (174%) | 1,59l (168%) | 1,28l (135%) | 
| Raw | 0,19kPa/l/s | 0,10kPa/l/s | 0,13kPa/l/s | 
| DLCO | 2,98mmol/min/kPa (42%) | 6,40mmol/min/kPa (91%) | 6,27mmol/min/kPa (89%) | 
| SatO2 | 91% | 96% | 96% | 
| FR | 36 | 26 | 18 | 
| AR | Crepitantes teleinspiratorios | Subcrepitantes aislados | Normal | 
Ingresó con la sospecha diagnóstica de neumonía atípica (antes de obtener los resultados negativos de las serologías) y se trató con azitromicina 500mg al día. Durante los primeros 4 días de ingreso precisó oxigenoterapia con gafas nasales (1–2l/min) para mantener saturaciones de oxígeno correctas. Posteriormente presentó mejoría clínica, y se le dio de alta con buen estado general, persistencia de crepitantes teleinspiratorios y saturación de oxígeno del 94–95%.
A los 11 días del alta reingresó por reaparición de la sintomatología. En la anamnesis del segundo ingreso la madre admitió que hasta hacía 24h habían tenido en su domicilio (en una jaula en la cocina) 2 palomas durante el último año, con las que el paciente jugaba cada día. A la exploración física destacaba pérdida de 1kg de peso en los últimos 15 días (peso actual, 51,5kg) taquipnea (FR, 36 respiraciones/min); SatO2, 88–89% y subcrepitantes teleinspiratorios generalizados.
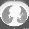
Se realizó tomografía computarizada de alta resolución (TCAR) (figs. 1 y 2) en la que se objetivaba a nivel del parénquima pulmonar imágenes nodulillares centrolobulillares, distribuidas de forma difusa en ambos campos pulmonares y opacidades en vidrio esmerilado. Se observaba alguna zona de atrapamiento aéreo a la espiración forzada.
En la gasometría arterial basal se objetivó hipoxemia (pO2, 59mmHg que alcanzaba 103mmHg con oxígeno en cánulas nasales a 2l/min) con normocapnia (pCO2, 36,3mmHg). Se repitió la analítica de sangre en la que persistía la hipergammaglobulinemia (IgA, 462mg/dl; IgG, 1.373mg/dl; IgM, 100mg/dl) y la elevación de la LDH (834U/l). El factor reumatoide fue negativo (8U/ml) y la velocidad de sedimentación globular de 36mm. El resultado de los anticuerpos IgG por técnica ELISA a suero de palomas y de canario fue positivo: IgG a suero de paloma, 1,523 (valor de referencia hasta 0,284); IgG a suero de canario, 0,479 (valor de referencia hasta 0,336). Se realizó tests cutáneos con suero de paloma (12×12mm) y de canario (12×12mm) que fueron positivos.
Con la sospecha diagnóstica de pulmón del cuidador de palomas, se inició corticoterapia oral (metilprednisolona 60mg/día) e inhalada (budesonida 1.000μg/día) y oxigenoterapia. Presentó una buena respuesta al tratamiento y a la evitación del antígeno, con lo que se pudo disminuir progresivamente los requerimientos de oxígeno. Se le dio de alta a los 7 días. Se mantuvo la corticoterapia durante 1 mes (1mg/kg) con descenso progresivo durante las siguientes 3 semanas.
En el seguimiento clínico, funcional y radiológico del paciente se observó una mejora de todos los parámetros (tabla 1 y fig. 3).
DiscusiónEl pulmón del cuidador de palomas es una neumonitis por hipersensibilidad de baja prevalencia en la edad pediátrica. Para su diagnóstico es necesario tener un alto grado de sospecha y reunir una serie de criterios diagnósticos que algunos autores han agrupado en mayores y menores. Schuyler et al9 establecieron el diagnóstico de neumonitis por hipersensibilidad cuando el paciente reunía cuatro criterios mayores de los seis que describen (síntomas compatibles; evidencia de exposición a antígeno por la historia clínica o por la detección de anticuerpos en suero o en el lavado broncoalveolar [LBA]; hallazgos compatibles en la radiología; linfocitosis en el LBA; histología compatible en la biopsia pulmonar; test de broncoprovocación positivo) y al menos dos criterios menores de los tres propuestos (crepitantes bibasales; DLCO disminuida; hipoxemia arterial en reposo o con el ejercicio). Más recientemente, un panel de expertos propuso seis variables predictoras de neumonitis por hipersensibilidad, con un área bajo la curva ROC de 0,93 (intervalo de confianza del 95%, 0,9–0,95)10. Estos criterios son principalmente clínicos: exposición a un antígeno conocido, precipitinas positivas, síntomas recurrentes, crepitantes inspiratorios, síntomas de aparición entre 4 y 8h tras la exposición y pérdida de peso. Morell et al11 han propuesto un algoritmo diagnóstico que parte de la evidencia de una exposición antigénica junto a hallazgos clínicos y en la radiología simple compatibles, y que precisa positividad de los anticuerpos IgG (precipitinas o ELISA) y/o del test cutáneo (hipersensibilidad inmediata). Si estas 2 pruebas son positivas y las pruebas funcionales respiratorias del paciente mejoran después de evitar el antígeno, se establece el diagnóstico.
En cuanto a los hallazgos de laboratorio, hay algunos característicos en la neumonitis por hipersensibilidad, como elevación de la LDH, hipergammaglobulinemia, hipercalciuria y aumento de la velocidad de sedimentación globular.
Nuestro paciente reunía los criterios diagnósticos de neumonitis por hipersensibilidad: síntomas y signos compatibles (astenia, pérdida de peso, crepitantes inspiratorios a la auscultación pulmonar, recurrencia de los síntomas con la reexposición), evidencia de exposición antigénica, hallazgos compatibles tanto en la radiología simple pulmonar —patrón intersticial— como en la TCAR, y positividad de los anticuerpos IgG (método ELISA) a suero de paloma y del test cutáneo a paloma. Los hallazgos de la TCAR —nodulillos centrolobulillares, opacidades en vidrio deslustrado e imágenes de atrapamiento aéreo— son característicos de la forma subaguda11,12.
En cuanto al estudio de la función pulmonar, los datos obtenidos en la espirometría (FVC=FEV1) y el notable atrapamiento aéreo que muestra la pletismografía (VR muy aumentado, con TLC menos disminuido de lo esperado con los datos espirométricos), indican un patrón mixto con fuerte componente obstructivo y que el atrapamiento aéreo se debe a afección de las pequeñas vías.
Algunos autores indican que puede darse una reacción cruzada frente a los antígenos de diferentes especies de aves11,13, lo que explicaría la positividad frente a antígeno de canario en nuestro caso.
Con el diagnóstico establecido, se insistió en evitar el antígeno y se inició corticoterapia oral e inhalada, con lo que se obtuvo una mejoría clínica, radiológica y funcional. No se realizó estudio al resto de la familia, por encontrarse asintomática, aunque algunos autores han indicado recientemente que sí debería realizarse mediante tomografía computarizada torácica14.
La neumonitis por hipersensibilidad, y en concreto, el pulmón del cuidador de palomas, es una entidad infrecuente en pediatría y que requiere de un alto grado de sospecha ante el contacto con estas aves, además de reunir unos criterios diagnósticos que se encuentran bien tipificados. Cuando se ha establecido el diagnóstico, es fundamental evitar tanto la exposición directa al antígeno como a edredones y ropa de invierno que contengan plumas de ave.
										
				





