Sr. Editor:
El empiema en el niño aparece en el 0,16 % de las neumonías bacterianas 1, aunque representa hasta el 28 % de las ingresadas 2. La etiología más común es S. pneumoniae (50 % de los aislamientos). Hasta la década de los años sesenta complicaba el 86 % de las neumonías neumocócicas, disminuyendo su incidencia a menos del 2 % hacia 1980, la mayoría por Staphylococcus sp. 3. La etiología de la neumonía necrosante con empiema (NNE) suele ser desconocida (62 %), seguido de S. pneumoniae (14,3 %), S. aureus (9,5 %), H. influenzae tipo b (9,5 %) y S. viridans (4,7 %) 1.
Se presenta el caso de un niño afectado de NNE de evolución tórpida que se resolvió de forma conservadora sin secuelas, a pesar de múltiples complicaciones.
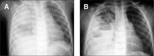
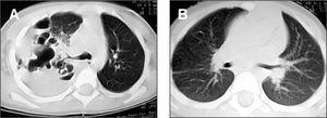
Varón de 2 años, que ingresó por fiebre de 41 °C, tos, diarrea y rechazo alimentario. Presentaba un regular estado general, 36 resp./ min, 120 lat./min, temperatura 39,8 °C, palidez y sudoración. A la auscultación existía soplo tubárico en hemitórax derecho y semiología de derrame pleural en el tercio inferior y zona paraescapular, siendo el resto normal. La analítica reveló 17.300 leucocitos/μl con desviación a la izquierda; sodio, 132 mmol/l; proteína C reactiva, 15,7 mg/dl, y dímero D > 7 μg/ml. La gasometría arterial fracción inspiratoria de oxígeno (FiO2) al 21 % mostró pH, 7,37; PO2, 31,2 torr; PCO2, 39,3 torr; HCO3, 22 mmol/l y saturación del 58 %. En la radiografía de tórax se observó una opacidad en hemitórax derecho, broncograma aéreo en lóbulo medio y lóbulo inferior derecho y condensación alveolar en lóbulo superior derecho con derrame organizado (fig. 1A). Se inició oxigenoterapia, antitérmicos, cefotaxima 200 mg/kg/24 h i.v. y vancomicina 15 mg/kg/6 h i.v. La radiografía del tercer día mostró desplazamiento mediastínico contralateral a expensas de derrame pleural e imágenes areoladas en lóbulo superior derecho, con loculación y organización, y se consultó a la UCI para inserción de tubo de drenaje. El líquido pleural presentaba aspecto purulento; pH, 7,26; 660 leucocitos/μl (95 % polimorfonucleares), glucosa, 2 mg/dl; proteínas, 3,8 g/dl, y LDH 7.090 U/l. Los cultivos, el Ziehl y Löwenstein fueron negativos, así como los hemocultivos, y la prueba de tuberculina. Tras la inserción del tubo torácico, en la radiografía se apreció derrame loculado e imagen cavitada de paredes gruesas, instilándose durante 2 días consecutivos 100.000 U de urocinasa intrapleural. A las 48 h, y habiendo drenado mínimamente, en una ecografía se apreció ausencia del tubo en la cavidad pleural, extrayéndose el mismo. Durante los 6 días siguientes continuó séptico y la radiografía mostró múltiples niveles hidroaéreos por loculaciones pleurales y cavitaciones en lóbulo superior derecho (fig. 1B). En la TC torácica (fig. 2A) se confirmó amplia destrucción con necrosis parenquimatosa en lóbulo superior derecho y colapso del lóbulo inferior derecho con sinequia pleural anterior en el seno del empiema, por lo que se colocó nuevo tubo torácico. El drenaje fue prácticamente nulo en los días siguientes. Una segunda TC torácica reveló que el tubo estaba nuevamente fuera de la cavidad pleural. En este momento (día 13 de ingreso), se consultó con neumología, y se decidió insertar un tercer tubo de drenaje, con control exhaustivo, obteniendo 475 ml de líquido purulento acompañado de burbujeo persistente con la aspiración, traduciendo la presencia de fístula broncopleural. El paciente presentó una mejoría clínica y radiológica espectacular, con reexpansión pulmonar y resolución de las lesiones cavitarias de lóbulo superior derecho. Al mes y medio del alta, la TC mostró desaparición de las cavidades, con tractos fibrosos y refuerzo pleural, y a los 8 meses ausencia de lesiones (fig. 2B).
Figura 1. A) Radiografía posteroanterior de tórax al ingreso que muestra veladura prácticamente completa del hemitórax derecho con borramiento de hemidiafragma homolateral, broncograma aéreo en lóbulo medio y lóbulo inferior derecho y zona de mayor densidad homogénea que delimita imagen redondeada en lóbulo superior derecho, lo cual sugiere la presencia de condensación alveolar con derrame pleural acompañante, parcialmente organizado.B)Múltiples puntos hidroaéreos a expensas de loculaciones pleurales, y lesiones cavitadas visibles en lóbulo superior derecho (décimo día de ingreso).
Figura 2. A)TC torácica que muestra amplia destrucción con necrosis parenquimatosa en lóbulo superior derecho y colapso del lóbulo inferior derecho con sinequia pleural anterior en el seno del empiema y fístula broncopleural.B)TC torácica 8 meses después del inicio del cuadro, en la que se aprecia ausencia completa de lesiones.
El tratamiento del empiema en el niño no difiere del aplicado en el adulto: drenaje torácico asociado o no a fibrinólisis 4, videotoracoscopia 5,6 o descorticación 7. Su elección dependerá de la fase del empiema (exudativa, fibrinopurulenta y organizada), la experiencia del equipo médico y la accesibilidad de la intervención quirúrgica. En la literatura médica no queda claramente establecido, puesto que la mayoría son series quirúrgicas, con ausencia de trabajos comparativos, retrospectivas y con sesgos de población 1. En una reciente serie de 110 niños con neumonía en los que el 30 % se complicaron con empiema 8, al analizar retrospectivamente a los pacientes con tratamiento conservador frente a cirugía, no existieron diferencias respecto a duración de la fiebre y estancia hospitalaria. En otra serie 1, el 52 % de los niños con NNE evolucionaron con éxito mediante drenaje torácico, mientras que al 48 % se les practicó una intervención quirúrgica, siendo predictores de mal pronóstico con tratamiento conservador el neumotórax persistente, la organización y el atrapamiento pulmonar. Cuando se practicó videotoracoscopia, la estancia fue mayor, aunque más efectiva desde el punto de vista clínico. Como en nuestro caso, se ha señalado que la fístula broncopleural aparece en el 55 %, requiriendo tratamiento quirúrgico en dos tercios de los mismos 9. Nosotros optamos por el tratamiento conservador, para permitir recuperar el parénquima pulmonar, puesto que la manipulación de los tubos torácicos previos había sido poco cuidadosa. Cabe reseñar la importancia de la TC en la NNE 10, fundamentalmente ante radiografías poco concluyentes. Se debe señalar que el pulmón del niño presenta un máximo desarrollo a los 2 años y persiste hasta los ocho, de modo que los mecanismos de reparación son más acelerados, y permiten la restitutio ad integrum. En cualquier caso, el tratamiento ha de ser exquisito y la evolución en el tiempo, una de nuestras principales armas.




