Caso clínico
Motivo de consulta. Varón de 11 años de edad con una tumoración dolorosa en el hueco poplíteo derecho que impedía la completa extensión de la rodilla desde hace una semana.
Antecedentes personales. El paciente había sido diagnosticado hacía un año de osteocondroma del fémur distal derecho tras presentar molestias inespecíficas en la rodilla.
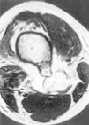
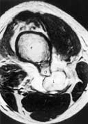
Pruebas complementarias. Se realizó una radiografía lateral del fémur derecho (fig. 1) que mostró la exostosis asociada a un aumento del espesor de las partes blandas no visualizado en las placas de meses anteriores. Se practica un estudio ecográfico (fig. 2) de la zona que demuestra una lesión hipoecoica redondeada, de 5 cm de diámetro aproximado, en relación con la arteria poplítea con flujo arterial turbulento en su interior, confirmada con Doppler color y pulsado. Ante la sospecha diagnóstica se solicitó una RM (fig. 3) que demostró la lesión quística, con zonas de vacío de señal por flujo en su interior, relacionadas con el extremo distal del osteocondroma.
Figura 1. Radiografía lateral del fémur derecho. Osteocondroma a expensas de la cortical posterior con afectación de partes blandas (flechas).
Figura 2. Ecografía Doppler color sobre la región poplítea derecha. Dependiente de la arteria femoral (F) existe una lesión de apariencia quística, con flujo en su interior.
Figura 3.RM de la rodilla derecha. Secuencia axial potenciada en T2*. Lesión redondeada (L), hiperintensa en íntima relación con el margen posterior del osteocondroma (O) femoral (F). Edema de la grasa de alrededor.
Pregunta
¿Cuál es su diagnóstico?
Seudoaneurisma poplíteo por osteocondroma
Los osteocondromas son los tumores óseos más frecuentes que afectan a adolescentes y adultos jóvenes, la mayoría asintomáticos. Representan entre el 10 y el 15 % de todos los tumores y el 20-50 % de los benignos 1-3. Los osteocondromas pueden ser solitarios o múltiples, siendo estos últimos constituyentes de la exostosis hereditaria múltiple 2. Se pueden localizar en todos los huesos, aunque predominantemente se afectan las regiones metafisarias del fémur y el húmero 3,4.
El osteocondroma se conforma tras la separación de un fragmento desde el cartílago epifisario que se hernia a través del periostio que envuelve el platillo de crecimiento. El desarrollo posterior de este fragmento cartilaginoso y su osificación endocondral dará lugar a la exostosis recubierta de cartílago que se proyecta hacia la superficie ósea 2.
Las deformidades esqueléticas y estéticas causadas por los osteocondromas subyacentes son la forma característica de presentación. Igualmente pueden producir compresión extrínseca sobre las estructuras óseas, articulares, musculares y ligamentosas vecinas e incluso sobre las vísceras como ocurre en los derrames pleurales causados por los osteocondromas costales. En las zonas de fricción ósea se suelen desarrollar bolsas sinoviales. Las fracturas son infrecuentes y se producen en la región de la rodilla, habitualmente en zona del cuello del osteocondroma 2.
La complicación intrínseca más importante de los osteocondromas es su posible transformación maligna (condrosarcoma) que ocurre en el 1 % de los tumores solitarios y en el 1-5 % de los múltiples y que se debe sospechar cuando continúa creciendo tras el período de crecimiento óseo o produce dolor 2,5.
La resección quirúrgica de los osteocondromas, hoy en día, se indica (profilácticamente) si se encuentran en vecindad de un vaso, si impide el movimiento articular normal, en los casos de fracturas o si existe sospecha fundada de transformación maligna 3,5,6.
Normalmente los grandes osteocondromas suelen producir desplazamiento de los vasos vecinos, aunque de forma asintomática 2. Las complicaciones vasculares de los osteocondromas incluyen los seudoaneurismas, las oclusiones arteriales y venosas y las fístulas arteriovenosas 1,2. El 90 % de las complicaciones vasculares afectan directamente a las arterias y representan los seudoaneurismas la modalidad patológica más frecuente (63,9 %) 3,4. Los seudoaneurismas asociados a los osteocondromas se publican desde 1953 y se han recogido desde entonces unos 40 casos 1,2, 23 de ellos asociados a osteocondromatosis 5.
Aunque se describe la afectación de las arterias femoral superficial, humeral y tibial posterior, la poplítea es la que se encuentra afectada con mayor frecuencia 1,2. Esto se debe a la mayor frecuencia de las exostosis en su vecindad y al escaso margen de movilidad de este vaso debido a su posición fija por el canal de los aductores y su trifurcación posterior 2-5,7.
Los seudoaneurismas se producen en pacientes jóvenes, predominantemente varones (77-83 %), cerca de la etapa final del crecimiento, cuando se produce la osificación del cartílago que recubre el extremo del osteocondroma, de esta forma la superficie del tumor es más rugosa, con la consiguiente erosión crónica y repetitiva de la pared de la arteria 1,2,4-7.
La mayoría de los pacientes presentan un abultamiento sobre la zona del osteocondroma 1. El examen de la zona demuestra una masa de partes blandas con un soplo posible a la auscultación 1. Algunos adolescentes refieren un antecedente de traumatismo o ejercicio vigoroso previos 3,7. En algunos casos se describen procesos de isquemia distal secundarios a embolias desde el seudoaneurisma 3,4.
En los pacientes con osteocondromas que presentan dolor y masa palpable se debe de realizar el diagnóstico diferencial con su posible degeneración sarcomatosa (de hecho, a muchos seudoaneurismas se les diagnostica inicialmente como probables sarcomas), hematomas postraumáticos, infecciones, quistes o bolsas sinoviales secundarias 5.
Radiológicamente en algunos casos se describe la existencia de pequeñas erosiones en el margen externo del osteocondroma que podrían estar causados por la presión ejercida por el seudoaneurisma 7. Actualmente la ecografía es el método más accesible en nuestro medio que, en los seudoaneurismas, muestra con facilidad la existencia de una masa compleja, con flujo en su interior y dependiente de una arteria. Otros métodos de imagen son la TC que por un lado define las estructuras óseas anómalas y su relación con sus complicaciones vasculares mediante la administración de contraste intravenoso. La angiorresonancia estudia adecuadamente los vasos afectados de forma multiplanar y, la mayoría de las veces, sin necesidad de utilizar contraste 2,4,6,7.
El tratamiento de elección, como se hizo en nuestro paciente, consiste en la reparación quirúrgica del seudoaneurisma y la excisión del osteocondroma adyacente.
										
				




