Sr. Editor:
El trastorno mieloproliferativo transitorio o leucemia transitoria es una enfermedad debida a una mielopoyesis anormal, que se observa en el 10 % de los recién nacidos con síndrome de Down1 y en neonatos fenotípicamente normales con mosaicismo tipo trisomía 21 en las células blásticas2–4. Las manifestaciones cutáneas en el trastorno mieloproliferativo transitorio asociado a síndrome de Down (TMT-SD) son extremadamente raras. Se describe un paciente, afectado de esta patología, en el que las lesiones cutáneas contribuyeron a establecer el diagnóstico.
Se trataba de un varón de 16 días de vida, con fenotipo Down. Desde el nacimiento se le había detectado una importante leucocitosis (92.000 leucocitos/μl) con el 67 % de células blásticas de la extirpe mieloide y trombocitopenia (35.000 plaquetas/μl). A las 48h de nacer comenzaron a aparecerle en la región facial numerosas vesículas y pústulas rodeadas de un halo eritematoso. En la exploración se apreciaban múltiples lesiones eritematosas de pequeño tamaño; las más recientes se encontraban en fase de vesícula o pústula, mientras que otras muchas estaban cubiertas de costras serohemáticas (fig. 1). La erupción predominaba en las mejillas, pero también afectaba al cuero cabelludo y la parte alta del tronco.
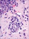
La histopatología reveló una pústula intraepidérmica de localización subcórnea con neutrófilos, hematíes, detritos celulares y aislados blastos en su interior. En la dermis existía un infiltrado perivascular compuesto por células mononucleares atípicas y blastos (fig. 2). El estudio inmunohistoquímico demostró aislada positividad para el CD34 y negatividad para la mieloperoxidasa.
Los cultivos de frotis cutáneos para bacterias, virus y hongos resultaron negativos. También se descartó la presencia de virus herpes mediante técnicas de reacción en cadena de la polimerasa y análisis inmunoenzimático (PCR-ELISA).
El estudio inmunocitológico en sangre periférica reveló que el 75 % del total eran células leucémicas que expresaban antígenos de la línea mieloide con mínima diferenciación megacariocítica. El perfil antigénico fue positivo para CD34 (50 %), CD16 (débil), CD36, CD45, DR, CD7, CD117, CD38, CD4 (débil), CD13 (parcial), CD33, CD71, CD61 (8 %), glicoforina (30 %), CD41 (11 %) y CD42 (débil). Las tinciones frente a mieloperoxidasa, CD19, CD11b, CD15, CD14 y CD2 fueron negativas. Mediante técnicas de biología molecular se detectó una mutación en el GATA-1 y el estudio del cariotipo confirmó la trisomía 21 (47, XY + 21).
Con estos hallazgos se estableció el diagnóstico de TMT-SD. Las lesiones cutáneas fueron tratadas con clorhexidina y mupirocina tópicas y su evolución fue paralela a la de los hallazgos hematológicos, mejorando progresivamente y sin tratamiento específico hasta su resolución completa en 4 meses.
El TMT-SD se trata de una proliferación clonal de células blásticas mieloides4. Clínicamente se caracteriza por leucocitosis elevada, presencia de precursores mieloides y elementos blásticos en sangre periférica y médula ósea, grados variables de anemia y trombocitopenia y hepatosplenomegalia3.
La patogenia de este proceso guarda relación con mutaciones somáticas adquiridas del gen GATA-1 del cromosoma X, el cual codifica un factor de transcripción integral necesario para el normal desarrollo de las series eritroide y megacariocítica1,5,6.
A pesar de los intentos de algunos autores, como Hayashi et al7, de establecer unos rasgos diferenciales del TMT-SD, el diagnóstico diferencial con la leucemia congénita se realiza únicamente en función de la evolución clínica, pues la leucemia congénita tiene carácter persistente además de una elevada morbimortalidad1–3.
El TMT-SD suele resolverse de manera espontánea y definitiva en unos meses. Sin embargo, la tercera parte de los pacientes desarrollan leucemia megacarioblástica aguda o M7 en los cuatro primeros años de vida1,2.
Las manifestaciones cutáneas en el TMT-SD son excepcionales pero bastante características. Salvo un paciente descrito por Bastida et al2 como blueberry mufin baby, en los casos publicados describen erupciones vesiculopustulosas en las mejillas4,5 muy similares a la que aquí se presenta.
Histológicamente, estas lesiones se corresponden con pústulas subcórneas llenas de neutrófilos, eosinófilos, linfocitos y células blásticas, junto con un infiltrado inflamatorio dérmico formado por células mononucleares atípicas y blastos3,4,8–10.
Los diagnósticos diferenciales clínicos incluyen procesos infecciosos (impétigo ampolloso, herpes simple, etc.), eritema tóxico del recién nacido, miliaria, pustulosis cefálica neonatal, acropustulosis del lactante, melanosis pustulosa neonatal transitoria, incontinencia pigmentaria e histiocitosis de células de Langerhans10.
En conclusión, ante erupciones cutáneas de estas características, debería realizarse siempre un estudio genético para descartar posibles mosaicismos tipo trisomía 21 en neonatos fenotípicamente normales. Por otro lado, las lesiones cutáneas en el TMT-SD pueden ser el signo guía que permita establecer el diagnóstico diferencial con la leucemia congénita, evitando así tratamientos quimioterápicos innecesarios y asegurando el correcto seguimiento del paciente por el elevado riesgo de desarrollar posteriormente una leucemia aguda.




