La hidrocefalia es una acumulación de líquido cefalorraquídeo (LCR) en ventrículos y/o espacios pericerebrales por alteraciones en la circulación del mismo, hidrocefalia obstructiva o no comunicante, o por una disminución en la reabsorción, hidrocefalia obstructiva o no comunicante1.
La hidrocefalia no obstructiva se produce generalmente tras sangrado subaracnoideo secundario a una hemorragia intraventricular o una extensión de hemorragia parenquimatosa por hemorragia del recién nacido pretérmino, sangrado de malformaciones arterio-venosas o sangrados tras traumatismos. La sangre en los espacios subaracnoideos puede causar obliteración de las cisternas o las vellosidades aracnoideas y una obstrucción al flujo del LCR, con dilatación de todo el sistema ventricular. Las meningitis neumocócica y tuberculosa, las infecciones congénitas y los infiltrados leucémicos también pueden provocar esta reacción2.
La hidrocefalia obstructiva en el niño se produce sobre todo por anomalías del acueducto de Silvio o lesiones del cuarto ventrículo. Destacan la estenosis congénita del acueducto, la gliosis ependimaria del mismo, secundaria a infecciones o sangrados, y las lesiones o malformaciones de la fosa posterior por compresión del sistema ventricular, con dilatación del sistema ventricular proximal al punto de obstrucción3.
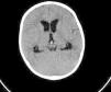
Se presenta el caso de un lactante de 8 meses con traumatismo craneoencefálico tras caída de los brazos de su madre. A las 6 h del traumatismo presenta disminución progresiva del nivel de consciencia (Glasgow 10), hipertonía e hiperextensión de extremidades y ojos en sol poniente, con desviación conjugada de la mirada hacia la izquierda, acudiendo a hospital comarcal. A las 2 h llega a nuestra unidad de cuidados intensivos pediátricos (UCIP), constatándose frecuencia cardiaca de 100 latidos/min y presión arterial normal. Se administró terapia hiperosmolar con suero salino hipertónico, sin apreciarse respuesta. Se realizó una TC craneal, objetivándose sangre a nivel de acueducto de Silvio y el cuarto ventrículo junto a discreta-moderada dilatación triventricular. No se observaron lesiones no traumáticas, ni otras lesiones secundarias al traumatismo (fig. 1). En algo más de media hora desde el ingreso en la UCIP, se colocó derivación externa de LCR y a la vuelta de quirófano había desparecido la clínica de hipertensión intracraneal. La RM y angio-RM cerebrales realizadas a los 9 días evidenciaron la resolución completa de la hidrocefalia y del sangrado, no encontrándose anomalías acompañantes, por lo que se retiró la derivación externa con evolución favorable. El paciente permanece asintomático transcurridos 3 meses del accidente.
Una causa importante de hidrocefalia adquirida es la hidrocefalia posthemorrágica. Habitualmente, la sangre, al alcanzar el espacio subaracnoideo, induce una respuesta inflamatoria seguida de fibrosis, produciendo una disminución en la reabsorción de LCR, con la consiguiente hidrocefalia no obstructiva o comunicante. Mucho menos frecuente es que la hidrocefalia posthemorrágica se produzca por un mecanismo obstructivo, es decir, que se cree una obstrucción al flujo de LCR en algún punto del sistema ventricular. En el caso descrito, un sangrado a nivel del acueducto de Silvio provocó una dilatación proximal del sistema ventricular, observándose una hidrocefalia triventricular, que fue además transitoria puesto que se resolvió espontánea y completamente una vez reabsorbido el sangrado. El deterioro progresivo durante 2 h del estado de consciencia junto a bradicardia moderada y la evidencia de hidrocefalia aguda, en ausencia de midriasis, junto con la resolución del cuadro tras la derivación de LCR, son compatibles con hipertensión intracraneal, siendo muy poco probable un estatus convulsivo.
En la revisión bibliográfica con los criterios «post-traumatic acute obstructive hydrocephalus» y «obstructive hydrocephalus and post-traumatic intraventricular hemorrhage», solo encontramos un caso similar4 en edad pediátrica, que no precisó derivación de LCR, y 2 en adultos que sí precisaron derivación5. En la misma revisión, se encontró una baja frecuencia de sangrado intraventricular aislado tras traumatismo craneal, que se confirmó al realizar una búsqueda mediante el criterio «traumatic isolated intraventricular hemorrhage» y encontrarse en muchas series de pacientes con traumatismo craneal una baja incidencia de sangrado intraventricular no asociado a otras lesiones intracraneales6,7.
La hemorragia intraventricular aislada y la hidrocefalia obstructiva transitoria secundarias a trauma craneal son entidades poco frecuentes pero con buen pronóstico si no se asocian a lesiones mayores traumáticas.
El pronóstico del sangrado intraventricular asociado a otras lesiones traumáticas es malo, pero parece estar más relacionado con dichas lesiones que con el propio sangrado intraventricular, dado que el pronóstico del sangrado intraventricular aislado es mucho mejor8,9, encontrándose únicamente casos aislados de mal pronóstico.
Cabe destacar la importancia de la ampliación del estudio de neuroimagen mediante angio-RM ya que, dada la baja frecuencia de los sangrados intraventriculares sin sangrado subaracnoideo acompañante, debe descartarse una lesión subyacente que facilite el sangrado en dicha localización8,10.
										
				


