El hemangiopericitoma es un raro tumor vascular, con una incidencia aproximada del 0,4% de todos los tumores del SNC1,2. En la infancia se da sólo un 10% de todos los casos de hemangiopericitoma, lo que constituye un 6,6% de todos los tumores hemisféricos y sólo un 2% de los tumores cerebelosos3.
Se trata de un tumor mesenquimal hipervascular que presenta un comportamiento agresivo, con marcada tendencia a presentar recurrencias localmente a lo largo del neuroeje, y a metatstatizar en localizaciones extraneurales4.
Presentamos el caso de una niña de 12 años, diagnosticada desde los 7 años de trastorno de déficit de atención. En un estudio electroencefalográfico habitual se observa un trazado anómalo y se la diagnostica de epilepsia a los 10 años de edad.
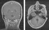
En febrero de 2007 se solicita una RM de control, donde se observa una pequeña lesión nodular en el receso lateral del IV ventrículo izquierdo, que se decide seguir radiológicamente. El tamaño de la lesión se mantiene estable hasta noviembre de 2008, cuando se constata un aumento del tamaño (fig. 1) y se opta entonces por tratarla quirúrgicamente.
En enero de 2009 se realiza una exéresis parcial de un tumor de estructura gomosa, muy vascularizado y bien delimitado, excepto en su unión con el IV ventrículo y el bulbo, por lo que no se reseca su base de implantación. Durante el postoperatorio, la paciente evoluciona favorablemente.
El examen microscópico revela un tumor con alta densidad celular compuesto por células ovales de núcleos fusiformes y escaso citoplasma. Existen numerosos espacios vasculares de pared fina. No se observan calcificaciones ni inclusiones nucleares. Los hallazgos inmunohistoquímicos muestran positividad para vimentina y CD34, y negatividad para antígeno epitelial de membrana (EMA).
El estudio de extensión resulta negativo y, dada la elevada probabilidad de recidivas locales y a distancia del tumor, se le aplica tratamiento radioterapéutico complementario. La RM al mes de la cirugía muestra un resto tumoral a la altura del margen ventricular del pedúnculo cerebeloso izquierdo (fig. 2). La paciente se encuentra actualmente asintomática y con buen estado general.
El hemangiopericitoma es un tumor que puede presentarse en cualquier lugar de la anatomía donde existan capilares. Inicialmente se clasificó como una variante de meningioma con marcadas características angioblásticas. En 1993, la Organización Mundial de la Salud lo clasifica definitivamente como una entidad histopatológica independiente de los meningiomas5,6. Se origina de las células fusiformes pericapilares denominadas pericitos de Zimmerman5,6.
Radiológicamente es difícil distinguir entre meningioma y hemangiopericitoma porque presentan características similares7. Aparecen como lesiones hiperdensas en la TC e isointensas en la RM, con realce intenso y heterogéneo de contraste6. Suelen ser lobulados, con invasión parenquimatosa y osteólisis del hueso circundante7.
Sólo obtenemos el diagnóstico de certeza a través del examen histológico del tumor5,8. Se trata de lesiones hipercelulares constituidas por células con escaso citoplasma y núcleos ovoides con moderada densidad de cromatina y nucléolos poco llamativos. A diferencia de los meningiomas, el estudio inmunohistoquímico únicamente muestra positividad para marcadores mesenquimales y no para epiteliales (vimentina positivo, EMA negativo)1,6. No existe clara distinción histológica entre forma benigna o maligna de hemangiopericitoma, y con frecuencia el diagnóstico sólo se basa en la evolución clínica8.
Son tumores muy agresivos, con una tasa de recurrencia local y de metástasis a distancia de hasta el 60% después de 15 años del diagnóstico inicial1,2. A pesar de ello, en el caso de nuestra paciente, el tumor se mantuvo estable durante más de 15 meses.
El tratamiento de elección debe ser siempre la resección lo más radical posible4, seguida de radioterapia adyuvante, aun cuando se haya realizado resección completa macroscópicamente y siempre que ésta haya sido incompleta o irresecable6. Un estrecho seguimiento a largo plazo es esencial para detectar precozmente recurrencias o metástasis a distancia. Los principales factores que parecen influir en el pronóstico son la resección quirúrgica completa9,10 y la administración de radioterapia adyuvante postoperatoria4.
El tratamiento de elección para las recurrencias no está claro, pero parece que deben tratarse como el tumor primario5. Queda aún por confirmar qué rol desempeña la radiocirugía estereotáxica en el tratamiento de las recurrencias locales intracraneales y la quimioterapia en el tratamiento de las metástasis a distancia4.
En resumen, el hemangiopericitoma es un tumor muy similar al meningioma, aunque con un comportamiento biológico totalmente distinto. Su tratamiento de elección es la resección quirúrgica completa seguida de radioterapia. Un seguimiento estrecho permite una detección precoz de recurrencias o metástasis sistémicas.
Al Servicio de Neurocirugía del Hospital San Juan de Dios.




