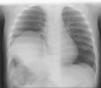
Lactante de 8meses que consulta por asimetría torácica y leve dificultad respiratoria desde hace 2meses. Sin antecedentes perinatales de interés. A la exploración presenta únicamente asimetría torácica con hundimiento de últimas costillas derechas (fig. 1). Se realiza radiografía de tórax, que muestra elevación franca del hemidiafragma derecho (fig. 2) y ecografía torácica que confirma dicha elevación, con diafragma aparentemente íntegro. Finalmente se solicita resonancia magnética torácica secuencia eco de gradiente bajo sedación leve, evidenciándose elevación y adelgazamiento muscular del hemidiafragma derecho, sin solución de continuidad y con movimiento paradójico ipsilateral, compatible con eventración diafragmática congénita (fig. 3). Dado que persiste e incluso aumenta la dificultad respiratoria, se decide intervención quirúrgica mediante plicatura diafragmática, con evolución favorable, permaneciendo el paciente asintomático hasta la actualidad.
La eventración diafragmática es la elevación patológica del diafragma, sin solución de continuidad del mismo. Puede ser congénita, por aplasia de las fibras musculares diafragmáticas, o adquirida, por lesión del nervio frénico y el plexo braquial1. Por incorrecto desarrollo o inervación, parte del diafragma es afuncional, presentando un movimiento paradójico consistente en elevación durante la inspiración y descenso durante la espiración, pudiendo desarrollar posteriormente patología respiratoria debido a la compresión pulmonar e hipoplasia secundarias a dicha elevación2. El tratamiento quirúrgico está claramente indicado en pacientes sintomáticos. Cuando el paciente está asintomático, la cirugía es controvertida3. En general, se recomienda cuando el diagnóstico se hace en la infancia, especialmente si la base diafragmática está muy elevada, para evitar hipoplasia del pulmón ipsilateral y asegurar su correcto desarrollo3.





