Presentamos el caso de un varón de 5 años remitido a consulta de urología pediátrica por presentar doble meato uretral, asintomático: no presentaba micción ni goteo por el meato dorsal. En la exploración física se aprecian 2 meatos uretrales: uno normoposicionado y otro dorsal (fig. 1). Se solicita cistouretrografía miccional que confirma duplicidad uretral completa con uretra normal y uretra accesoria con origen en la uretra principal prostática, a nivel del veru montanum (fig. 2); se corresponde con duplicación uretral tipo 2 coronal completa según la clasificación de Lima et al.1. Se interviene quirúrgicamente realizando circuncisión, disección y sección de la uretra doble dorsal de 5cm de longitud con ligadura de la base (fig. 3). Se deja sonda vesical de 8Fr. El paciente evoluciona favorablemente en el postoperatorio inmediato, retirándose la sonda vesical y siendo dado de alta a las 24h de la intervención. Permanece asintomático en los seguimientos clínicos posteriores.
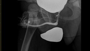
Cistouretrografía miccional: duplicación uretral tipo 2 coronal completa según la clasificación de Lima et al.1.
La duplicidad uretral constituye una anomalía congénita infrecuente, de incidencia desconocida. Hay diferentes clasificaciones. Las primeras fueron descritas por Williams y Kenawi2 en 1975, por Effman et al.3 en 1976 y, recientemente, en 2016, Lima et al.1 proponen una clasificación anatomicofuncional. Se manifiesta como un espectro clínico que comprende desde la ausencia de síntomas hasta la presencia de infección, incontinencia urinaria e incurvación peneana.
Para su sospecha es fundamental la exploración física de genitales y periné, identificando la presencia de un segundo meato, su localización y teórico trayecto.
Las pruebas de imagen con contraste y la uretrocistoscopia esclarecen la anatomía, permitiendo distinguir la uretra principal de la accesoria y evaluar su correcta integridad, de cara al planteamiento quirúrgico posterior.
 
										
				







