Caso clínico
Paciente de 8 años llevada al servicio de urgencias tras presentar cuadro de crisis parcial en forma de movimientos tónico-clónicos en brazo y pierna izquierdos, con versión óculo-cefálica ipsolateral a los paroxismos motores y generalización secundaria con pérdida de conciencia y postración poscrítica. A su recuperación refiere cefalea temporal derecha.
Sin antecedentes personales patológicos de interés. Procede de Bolivia, de donde llegó hace 9 meses.
A la exploración física presenta afectación del estado general, estando afebril, normohidratada y normocoloreada. Glasgow 14. Pupilas isocóricas y normorreactivas. Sin signos de focalidad neurológica. Tono muscular normal. Resto de la exploración física normal.
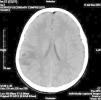
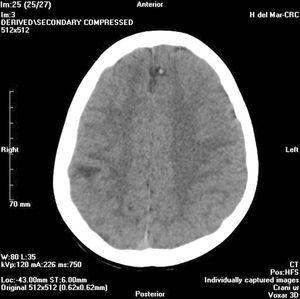
En urgencias se realiza analítica sanguínea (hemograma, bioquímica, ionograma, equilibrio ácido-base y coagulación) que resulta normal; y una TC craneal sin contraste en la que se observa una lesión nodular hipodensa de aspecto quístico con un elemento nodulillar mural sólido, de localización parietotemporal derecha con edema vasogénico asociado (fig. 1). Además se evidencian dos lesiones nodulares hipodensas, probablemente quísticas, con calcio puntiforme mural, localizadas a nivel frontal parasagital izquierdo y parietal derecho, sin edema asociado (fig. 2).
Figura 1.TC craneal. Lesión nodular hipodensa parietotemporal derecha.
Figura 2.TC craneal. Lesiones nodulares quísticas con calcio mural.
Pregunta
¿Cuál es su diagnóstico?
Comentarios
Ante una convulsión focal y una imagen de múltiples lesiones quísticas ocupantes de espacio en la TC se plantean varias hipótesis diagnósticas, unas de causa tumoral y otras de causa infecciosa. Entre las de causa tumoral: metástasis cerebrales, glioblastoma multiforme y linfoma cerebral primario1. Los primeros 2 diagnósticos son poco frecuentes en niños y el tercero se descartó debido a que sólo aparece en estados de inmunosupresión. Entre las de causa infecciosa se plantean una tuberculosis cerebral con tuberculomas calcificados, toxoplasmosis y neurocisticercosis.
El hecho de que en áreas endémicas, como el país de procedencia de la niña, entre el 20 y el 50 % de los casos de epilepsia se deban a neurocisticercosis2, fue lo que hizo pensar en esta enfermedad como primera hipótesis diagnóstica. Además, aunque las imágenes de la TC rara vez son patognomónicas3, la aparición de un quiste parenquimatoso solitario, con o sin captación de contraste, y la presencia de calcificaciones múltiples son las alteraciones más frecuentes en los niños con esta enfermedad4.
Reinterrogando a la madre de la niña, existía el antecedente familiar de una prima hermana diagnosticada de neurocisticercosis hace 10 años.
Se inicia tratamiento con dexametasona para disminuir el edema perilesional y anticonvulsivantes para evitar la aparición de nuevas crisis y posteriormente tratamiento con praziquantel (50 mg/kg/día) durante 15 días a pesar de que éste está en discusión en la neurocisticercosis.5 Se deben descartar las manifestaciones encefalíticas, el aumento de presión intracraneal, la presencia de cisticercos subaracnoideos o a nivel ocular, ya que son contraindicaciones del tratamiento antiparasitario. El tratamiento médico puede convertir las lesiones parenquimatosas quiescentes en activas, empeorando la clínica ventricular, ocular o espinal.4 Si bien los anticonvulsivantes y la dexametasona pueden reducir la biodisponibilidad del antiparasitario, se mantienen por necesidades terapéuticas. La cirugía estaría indicada en caso de que los quistes se localizaran en el sistema ventricular o produjeran hidrocefalia.
La niña presenta una buena evolución clínica, no evidenciándose nuevas crisis convulsivas, aunque sí que refiere cefalea esporádica. Durante el ingreso se llevan a cabo estudios serológicos (anticuerpos anti Taenia solium que resultan positivos) y de extensión para descartar otras localizaciones: ecografías abdominal y muscular (normales), radiografías de extremidades y fondo de ojo (normales). El estudio de parásitos en heces fue negativo.
Se realiza una RM cerebral T1, T2 y FLAIR (fluid attenuated inversion recovery) con y sin gadolinio, que confirma los hallazgos patológicos de la TC.
Neurocisticercosis
La neurocisticercosis es una de las causas más frecuentes de afectación parasitaria del sistema nervioso central en áreas endémicas, principalmente áreas rurales de Sudamérica, gran parte de Asia y África Subsahariana. Está causada por los cisticercos de la Taenia solium, un parásito intestinal que tiene como huésped intermediario al cerdo y como huésped definitivo al hombre3. Los huevos atraviesan la pared intestinal y a través de la corriente sanguínea se depositan en forma de cisticercos en sistema nervioso central, tejido subcutáneo, músculo cardíaco y ojos (fig. 3).
Figura 3.Ciclo de vida de la Taenia solium.
La mayoría de las veces es asintomática. Cuando hay clínica, en más del 70 % de los casos aparecen convulsiones, aunque también puede haber otras alteraciones cognitivas o neurológicas, desde la psicosis al accidente cerebrovascular2.
En el momento actual en el que existe un elevado número de inmigrantes procedentes de países donde existen patologías tropicales, hay que incluir en nuestros diagnósticos diferenciales estas enfermedades: por ejemplo, ante una convulsión focal afebril en un niño mayor procedente de una zona endémica, la neurocisticercosis es un diagnóstico probable3.
Correspondencia: Dr. R. Berrueco Moreno.
Servicio de Pediatría. Hospital del Mar.
P.º Marítim, 25-29. 08003 Barcelona. España.
Correo electrónico: rubenberrueco@yahoo.es
Recibido en febrero de 2006.
Aceptado para su publicación en julio de 2006.





