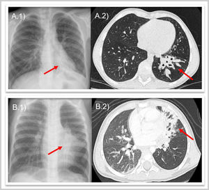
Caso 1. Varón de 8 años, sin antecedentes de interés, que presenta tos productiva de un año de evolución con atelectasia crónica del lóbulo inferior izquierdo (LII) en radiografías (RX) de tórax y bronquiectasias con engrosamiento mural y contenido mucoso en tomografía computarizada (TC) pulmonar (fig. 1). Se realiza broncoscopia flexible visualizando cuerpo extraño (CE) intrabronquial en LII que se extrae en el mismo procedimiento (fig. 2, vídeo), resultando ser una cáscara de pipa.
A.1) Caso 1. Radiografía de tórax con atelectasia de lóbulo inferior izquierdo (flecha roja). A.2) Caso 1. Tomografía computarizada con bronquiectasias en lóbulo inferior izquierdo (flecha roja). B.1) Caso 2. Radiografía de tórax con infiltrado paracardíaco izquierdo (flecha roja). B.2) Caso 2. Tomografía computarizada con atelectasia de língula y bronquiectasias (flecha roja).
Caso 2. Varón de 2 años, previamente sano, con súbita hemoptisis mientras saltaba en una cama elástica. En RX de tórax presenta infiltrado paracardíaco izquierdo y en TC pulmonar lesión «mal definida» en bronquio principal izquierdo con atelectasia de língula y bronquiectasias (fig. 1). En broncoscopia flexible se visualiza CE con importante edema e inflamación de mucosa adyacente, imposibilitando su extracción (fig. 2). Tras corticoterapia y antibioterapia intravenosa, se extrae mediante broncoscopia rígida, hallando una rama vegetal.
En ninguno se sospechó aspiración de CE por ausencia de episodio asfíctico, produciendo el retraso diagnóstico y la aparición de bronquiectasias, aún presentes 5 años después (fig. 3).
Los CE orgánicos presentes en la vía aérea durante largo tiempo asocian mayor reacción inflamatoria, obstrucción bronquial y complicaciones posteriores como neumonías o bronquiectasias1–3.





