El flujo vaginal es uno de los motivos de consulta ginecológica más frecuentes en niñas prepuberales, y a menudo se debe a la presencia de vulvovaginitis1,2. La mayoría de los casos son de etiología inespecífica y se resuelven con medidas higiénicas1,2. No obstante, cuando los síntomas persisten o recurren han de considerarse otras posibles causas, tales como procesos infecciosos, anomalías congénitas, trauma, reacciones alérgicas, entidades dermatológicas o la presencia de cuerpos extraños1,2.
Presentamos el caso de una niña de 5 años sana, que acudió al servicio de urgencias por flujo vaginal purulento recurrente y sangrado intermitente de 8 meses de evolución.
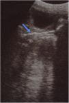
No había antecedentes de traumatismo, abuso sexual, dolor o problemas urinarios o rectales. Los síntomas no respondieron a las medidas de higiene ni a tratamiento antibiótico. En la exploración física no se apreciaba dolor abdominal y los genitales eran normales, sin lesiones ni secreción activa de flujo. No obstante, se observó secreción maloliente y sanguinolenta en la compresa de la paciente. La ecografía (fig. 1) y la radiografía (fig. 2) pélvicas revelaron la presencia de un cuerpo extraño de 40×10mm. La paciente fue sometida a vaginoscopia bajo anestesia con objeto de extraer una horquilla.
Los cuerpos extraños en la vagina son una causa infrecuente de vulvovaginitis de repetición o refractaria, correspondiendo a tan solo el 4% de los casos en niñas prepuberales3. Su presencia suele manifestarse con un flujo vaginal purulento y maloliente y/o sangrado intermitente1,2. Las posibles complicaciones incluyen la ulceración de la pared vaginal con formación de fístulas y la infección3. Los casos reportados se han dado casi exclusivamente en la edad pediátrica, lo que plantea un reto diagnóstico y pone de relieve la importancia de las pruebas complementarias de imagen en la aproximación diagnóstica3.
Presentación previa como póster en el 17 Congreso Nacional de Pediatría; 2-4 de noviembre, 2016; Oporto, Portugal.




