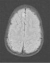
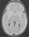
Niño de 2 años ingresado de urgencia con fiebre, adenopatía cervical y crisis generalizadas tónico-clónicas. Examen neurológico y analítica anodinos. Se dio de alta al paciente con diagnóstico de crisis febril simple secundaria a infección respiratoria viral. Al día siguiente, el paciente reingresó con estado epiléptico febril. Los hallazgos de la TC cerebral fueron normales y el análisis del líquido cefalorraquídeo (LCR) mostró pleocitosis (74 células/mm3) y niveles normales de proteínas y glucosa. El paciente presentaba adenopatía cervical y hepatoesplenomegalia. Se hizo un diagnóstico presuntivo de encefalitis, iniciándose antibioterapia empírica con ceftriaxona y aciclovir. En la resonancia magnética (RM) cerebral se observó hiperseñal a nivel de los núcleos lenticulares y caudados y el tálamo, y pequeñas lesiones en la materia blanca frontal y corticosubcortical en secuencias T2 y FLAIR (figs. 1 y 2). El electroencefalograma reveló ondas lentas con actividad epileptiforme ocasional en el área frontal. El paciente se encontraba asintomático al quinto día de seguimiento. Los resultados del análisis del LCR para el virus de Epstein-Barr (VEB) fueron negativos. La serología para el VEB fue positiva para la IgM y negativa para la IgG, con resultados positivos de la PCR para la detección del VEB en muestra de sangre (23.000 copias/ml). Estos resultados, junto con las manifestaciones de mononucleosis y los hallazgos de neuroimagen, permitieron el diagnóstico de encefalitis por VEB. La serología a un mes de seguimiento demostró seroconversión. Seis meses después, el paciente seguía asintomático, con electroencefalograma y RM normales.
El diagnóstico de esta entidad poco común en niños inmunocompetentes plantea un reto diagnóstico debido a la superposición de su presentación con otras entidades y a la heterogeneidad de los hallazgos radiológicos1. La encefalomielitis aguda diseminada e incluso la encefalitis autoinmune se consideraron improbables debido a la coincidencia del inicio de los síntomas infecciosos y neurológicos. A pesar de los hallazgos iniciales de neuroimagen, el paciente tuvo una evolución favorable. Las lesiones simétricas bilaterales con afectación de los ganglios basales podrían ser un patrón neuroanatómico importante en la encefalitis por el VEB2,3.




