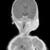
Neonato de 24 días de vida que presenta un aumento de volumen en la hemicara izquierda, de consistencia firme, sin alteraciones inflamatorias ni cambios de coloración de piel suprayacente; no presentaba dolor a la palpación. Ante el buen estado general del paciente, analítica con amilasemia normal y ausencia de reactantes de fase aguda se inició tratamiento antibiótico a la espera de hemocultivo, serología vírica y controles ecográficos (fig. 1). No se solicitó ecografía inicial por borrar ángulo mandibular y pensar en parotiditis infecciosa como primer diagnóstico diferencial. Una semana después, con hemocultivo y serología negativos se realizó ecografía Doppler, que mostró cambios inflamatorios con importante vascularización en parótida izquierda, de tamaño elevado (4cm). Se sospechó entonces de hemangioma infantil como causa más probable, realizándose resonancia magnética (RM) craneal y de cuello, donde se objetivó hiperseñal en secuencias T2, hiposeñal en T1 y significativa captación temprana tras contraste, en región parotídea izquierda incluyendo zona submandibular hasta línea media (figs. 2 y 3). Con diagnóstico de hemangioma infantil parotídeo (focal vs. integrante de hemangioma en región V3), y descartándose síndrome PHACE y extensión a vía aérea se inició tratamiento oral con propranolol al mes y medio de vida, con aumento progresivo hasta 3mg/kg/día, con buena tolerancia. En controles posteriores en consultas (a los 2 meses y medio), la masa era ya imperceptible.
El hemangioma, es el tumor parotídeo más común en los lactantes. La edad media de presentación es de unos 2-3 meses. Demuestran un rápido crecimiento en los primeros meses de vida, pero generalmente muestran regresión después de 18 meses1-3.





