Se trata de un recién nacido a término, que tras un periodo perinatal sin incidencias, presentó a las 24 h de vida hipotonía, letargia y convulsiones refractarias al tratamiento.
Se inició el estudio de encefalopatía epiléptica, investigándose causas infecciosas y metabólicas, incluido test de sulfitos en orina, con resultados inicialmente negativos.
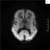
La resonancia magnética mostró restricción de la difusión cortical difusa y en núcleos grises de la base (fig. 1) con disminución de los niveles de N-acetilaspartato y doble pico invertido de lactato en el estudio de espectroscopia (fig. 2).
Ante el comienzo clínico y los hallazgos en neuroimagen se sospechó un déficit de sulfito oxidasa, por lo que se amplió el estudio obteniendo niveles bajos en plasma de ácido úrico y cisteína, y se repitió el test de sulfitos en orina que fue positivo en esta ocasión. El estudio genético (doble mutación en el gen SUOX exón 4 y 6) confirmó el diagnóstico. El paciente falleció a los 8 días de vida.
El déficit de sulfito oxidasa es una enfermedad autosómica recesiva rara que suele comenzar con hipotonía grave y convulsiones intratables en el período neonatal1, con neuroimagen sugestiva de encefalopatía hipóxico-isquémica2, pero sin antecedentes perinatales compatibles, en nuestro caso se añadía un refuerzo de la señal cortical muy sugestivo de esta enfermedad.
La detección de sulfitos en orina mediante tira reactiva es una forma rápida y sencilla, pero los sulfitos urinarios son muy inestables, por lo que pueden dar falsos negativos3. El diagnóstico de confirmación se obtiene con el estudio enzimático y genético.
Conflicto de interesesLos autores declaran no tener ningún conflicto de intereses.




