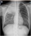
Presentamos a una paciente de 11 años, previamente sana, que presenta masa interescapular, omalgia derecha y síndrome constitucional de 6 meses de evolución1. Se realiza estudio analítico donde destaca leucocitosis con desviación izquierda, elevación de VSG y LDH. El estudio radiológico confirma lesión pulmonar seudotumoral y extensión extrapulmonar con condensación neumónica (figura 1, imagen Rx) (figura 2, imagen TC).
TC torácica. Condensación alveolar pulmonar en segmentos apical y posterior del lóbulo superior derecho, con broncograma central y hepatización periférica. Moderado aumento de tamaño de ganglios en localización paratraqueal derecha, en hilio pulmonar derecho y área subcarinal. Aumento difuso de componente de partes blandas, sin límites precisos, afectando a la pared apical y posterior de hemitórax derecho, interdigitándose a través de espacios intercostales y afectando musculatura paraespinal derecha.
Se amplía estudio con fibrobroncosopia y lavado broncoalveolar que descarta lesiones endobronquiales. Mantoux y serologías, negativas. Se realiza biopsia de la lesión extrapulmonar donde destaca una proliferación de estirpe fibrohistiocitaria, sin atipias, probablemente compatible con un proceso inflamatorio, granulomatoso o seudotumoral.
Tras tratamiento antibiótico empírico (cefotaxima y cloxacilina)2 durante 28 días se produce resolución del tumor. En control radiológico posterior a los 8 meses (figura 3, imagen RM) se visualiza franca mejoría radiológica con tejido seudotumoral residual versus fibrocicatricial en la pleura apical derecha y musculatura retrosomática torácica superior derecha. Presentándose la paciente asintomática y con pruebas de función pulmonar normales.
El tratamiento de esta entidad es la resección quirúrgica3, aunque en ocasiones la lesión permanece estable o incluso involuciona como en nuestro caso. En otros pacientes la tumoración se vuelve localmente invasiva y necesita otros tratamientos como corticoterapia, radioterapia o quimioterapia.
Conflicto de interesesDeclaramos ausencia de conflicto de intereses.
FinanciaciónEste manuscrito no ha recibido ningún tipo de financiación.





