Sr. Editor:
Un varón ecuatoriano de 11 años (residente en España desde 7 meses antes) acudió a urgencias por presentar durante un mes dolor en la pierna derecha, atribuido a una caída accidental desde un monopatín.
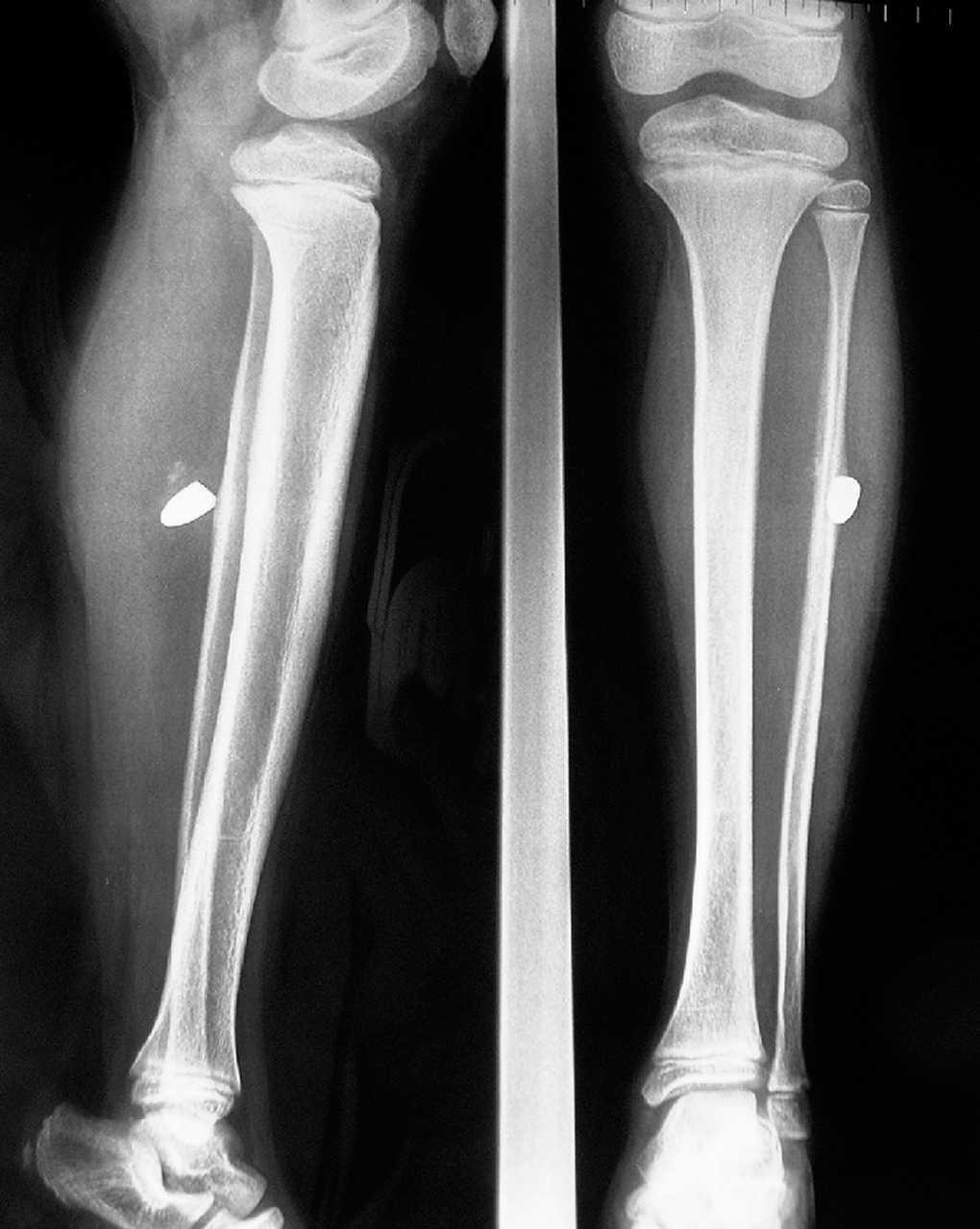
A la exploración se observó a nivel de la cara lateral externa de la pierna derecha, una induración delimitada, muy dolorosa a la palpación, sin presencia de síndrome compartimental y con movilidad y pulsos conservados. Cicatriz antigua (desde hace 2-3 años) en la cara interna del tercio superior de la pierna derecha, de origen desconocido. Se realizó una radiografía simple en la que se observó la presencia de un cuerpo extraño metálico, que se extrajo quirúrgicamente de forma programada, y que confirmó ser una bala (fig. 1). No se realizó determinación de la plumbemia. Un año después se encontraba asintomático. La familia no explicaba el hallazgo e insistía en la ausencia del niño en reyertas con armas de fuego en su país y afirmaban que no requirió ni recibió tratamiento médico alguno.
Figura 1. Radiología simple: cuerpo extraño metálico.
Las heridas por armas de fuego son responsables de una auténtica epidemia mundial y los niños no se ven libres de sus efectos. En Estados Unidos entre los años 1993 a 2000 se estima que 22.661 niños de 14 años o menos sufrieron heridas no mortales por arma de fuego. De ellas, el 66,8 % correspondieron a niños de 12 a 14 años y el 86,3 % a niños de 10 a 14 años. Durante el mismo período se produjeron 5.542 muertes por estas mismas armas, el 63,7 % en niños de 12 a 14 años y el 87,7 % en niños de 10 a 14 años. En total, la incidencia de heridas no mortales fue de 4,9/100.000 individuos y el de muertes de 1,2/100.000. En conjunto, 1 de cada 5 niños heridos en este grupo de edad murió por las heridas infligidas1,2. Cada año 500.000 personas mueren en el mundo por armas cortas de fuego3.
En España, las lesiones por arma de fuego en la infancia son infrecuentes. Aun así, el 1 % de los accidentes infantiles del año 1973 estuvieron causados por armas de fuego4, y en 1993 en la ciudad de Valencia (Hospital La Fe) los accidentes por arma de fuego tuvieron una incidencia anual de 5,5/100.000 niños de 0-14 años4.
Comunicamos este hallazgo dada su poca frecuencia en nuestro medio y como ejemplo de los variados problemas que pueden surgir en la atención a los pacientes originarios de países distintos del nuestro, con unas condiciones sociales, culturales y sanitarias muy diferentes.



